购物车
  • TargetMol
    您的购物车当前为空

Anti-Phospho-RPS6KA1 (Thr573) Polyclonal Antibody 2

Synonyms: S6K-alpha-1, S6K alpha 1, RSK1p90, RSK1, RSK 1 p90, RSK 1, RSK, RPS6KA1 (p-Thr573), RPS6KA1 (p-T573), rps6ka, RPS6K1 alpha, Ribosomal S6 kinase 1, Ribosomal protein S6 kinase polypeptide 1, Ribosomal protein S6 kinase alpha 1, Ribosomal protein S6 kinase 90kD polypeptide 1, ribosomal protein S6 kinase, p-RPS6KA1 (Thr573), p-RPS6KA1 (T573), pp90RSK1, polypeptide 1, Phospho-RPS6KA1 (T573), p90S6K, p90RSK1, p90 RSK1, OTTHUMP00000004113, Mitogen-activated protein kinase-activated protein kinase 1A, MGC79981, MAPKAPK-1a, MAPKAPK1A, MAPKAP kinase 1a, MAP kinase activated protein kinase 1a, KS6A1_HUMAN, HU1, HU 1, EC 2.7.11.1, dJ590P13.1, 90kD, 90 kDa ribosomal protein S6 kinase 1
货号 TMAC-03039 一键复制产品信息
Rating icon 还可以

Anti-Phospho-RPS6KA1 (Thr573) Polyclonal Antibody 是一种 Rabbit 抗体,靶向 Phospho-RPS6KA1 (Thr573)。Anti-Phospho-RPS6KA1 (Thr573) Polyclonal Antibody 可用于 IHC,WB。

Anti-Phospho-RPS6KA1 (Thr573) Polyclonal Antibody 2

一键复制产品信息
Rating icon 还可以
货号 TMAC-03039

别名 S6K-alpha-1, S6K alpha 1, RSK1p90, RSK1, RSK 1 p90, RSK 1, RSK, RPS6KA1 (p-Thr573), RPS6KA1 (p-T573), rps6ka, RPS6K1 alpha, Ribosomal S6 kinase 1, Ribosomal protein S6 kinase polypeptide 1, Ribosomal protein S6 kinase alpha 1, Ribosomal protein S6 kinase 90kD polypeptide 1, ribosomal protein S6 kinase, p-RPS6KA1 (Thr573), p-RPS6KA1 (T573), pp90RSK1, polypeptide 1, Phospho-RPS6KA1 (T573), p90S6K, p90RSK1, p90 RSK1, OTTHUMP00000004113, Mitogen-activated protein kinase-activated protein kinase 1A, MGC79981, MAPKAPK-1a, MAPKAPK1A, MAPKAP kinase 1a, MAP kinase activated protein kinase 1a, KS6A1_HUMAN, HU1, HU 1, EC 2.7.11.1, dJ590P13.1, 90kD, 90 kDa ribosomal protein S6 kinase 1

Anti-Phospho-RPS6KA1 (Thr573) Polyclonal Antibody 是一种 Rabbit 抗体,靶向 Phospho-RPS6KA1 (Thr573)。Anti-Phospho-RPS6KA1 (Thr573) Polyclonal Antibody 可用于 IHC,WB。

Anti-Phospho-RPS6KA1 (Thr573) Polyclonal Antibody 2
规格价格库存数量
50 μL
¥ 1,485
5日内发货
100 μL
¥ 2,240
5日内发货
库存状态实时更新,以官网显示为准,现货产品可直接加购物车下单
大包装 & 定制
加入购物车

TargetMol的所有产品仅用作科学研究或药证申报,不能被用于人体,我们不向个人提供产品和服务。请您遵守承诺用途,不得违反法律法规规定用于任何其他用途。

实验操作小课堂
常见问题解答
查看更多

资源下载:产品操作手册

产品介绍


生物活性
产品描述
Anti-Phospho-RPS6KA1 (Thr573) Polyclonal Antibody is a Rabbit antibody targeting Phospho-RPS6KA1 (Thr573). Anti-Phospho-RPS6KA1 (Thr573) Polyclonal Antibody can be used in IHC,WB.
别名
S6K-alpha-1, S6K alpha 1, RSK1p90, RSK1, RSK 1 p90, RSK 1, RSK, RPS6KA1 (p-Thr573), RPS6KA1 (p-T573), rps6ka, RPS6K1 alpha, Ribosomal S6 kinase 1, Ribosomal protein S6 kinase polypeptide 1, Ribosomal protein S6 kinase alpha 1, Ribosomal protein S6 kinase 90kD polypeptide 1, ribosomal protein S6 kinase, p-RPS6KA1 (Thr573), p-RPS6KA1 (T573), pp90RSK1, polypeptide 1, Phospho-RPS6KA1 (T573), p90S6K, p90RSK1, p90 RSK1, OTTHUMP00000004113, Mitogen-activated protein kinase-activated protein kinase 1A, MGC79981, MAPKAPK-1a, MAPKAPK1A, MAPKAP kinase 1a, MAP kinase activated protein kinase 1a, KS6A1_HUMAN, HU1, HU 1, EC 2.7.11.1, dJ590P13.1, 90kD, 90 kDa ribosomal protein S6 kinase 1
Ig Type
IgG
反应种属
Human
验证活性
1. Western blot analysis of extracts from 293 cells treated with UV using p90 RSK (Phospho-Thr573) Antibody TMAC-03039. The lane on the right is treated with the antigen-specific peptide.
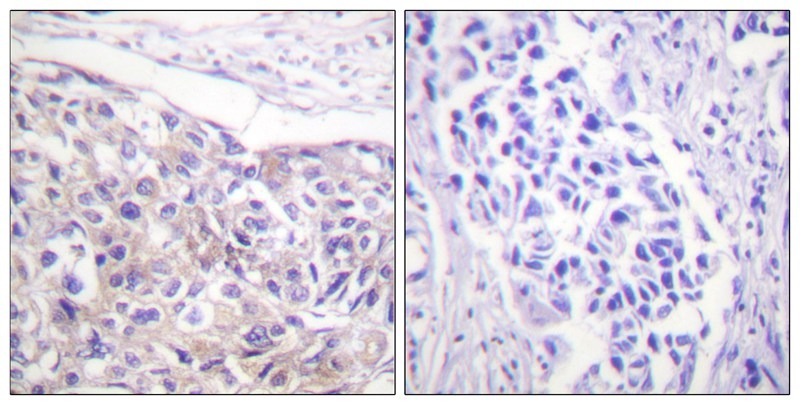
2. Immunohistochemical analysis of paraffin-embedded human breast carcinoma tissue using p90 RSK (Phospho-Thr573) antibody TMAC-03039 (left) or the same antibody preincubated with blocking peptide (right).
verifiedActivityverifiedActivity
应用IHCWB
推荐剂量
WB: 1:500-1000; IHC: 1:50-100
抗体种类
Polyclonal
宿主来源Rabbit
构建方式Polyclonal Antibody
纯化方式Antibodies were produced by immunizing rabbits with synthetic phosphopeptide and KLH conjugates. Antibodies were purified by affinity-chromatography using epitope-specific phosphopeptide. Non-phospho specific antibodies were removed by chromatogramphy using non-phosphopeptide.
性状Liquid
缓冲液Rabbit IgG in phosphate buffered saline (without Mg2+ and Ca2+), pH 7.4, 150mM NaCl, 0.02% sodium azide and 50% glycerol.
研究背景Serine/threonine-protein kinase that acts downstream of ERK (MAPK1/ERK2 and MAPK3/ERK1) signaling and mediates mitogenic and stress-induced activation of the transcription factors CREB1, ETV1/ER81 and NR4A1/NUR77, regulates translation through RPS6 and EIF4B phosphorylation, and mediates cellular proliferation, survival, and differentiation by modulating mTOR signaling and repressing pro-apoptotic function of BAD and DAPK1. In fibroblast, is required for EGF-stimulated phosphorylation of CREB1, which results in the subsequent transcriptional activation of several immediate-early genes.
偶联与修饰
偶联
Unconjugated
其他可选修饰符
Phospho
抗原信息
免疫原
Peptide sequence around phosphorylation site of threonine 573(L-M-T(p)-P-C) derived from Human p90 RSK
抗原种属
human
Uniprot ID
化学信息
分子量Actual: 95 kDa.
储存&溶解度
储存方式Store at -20°C or -80°C for 12 months. Avoid repeated freeze-thaw cycles.
运输方式Shipping with blue ice.

计算器

  • 稀释 计算器
  • 配液 计算器
Related Tags: buy Anti-Phospho-RPS6KA1 (Thr573) Polyclonal Antibody 2 | purchase Anti-Phospho-RPS6KA1 (Thr573) Polyclonal Antibody 2 | Anti-Phospho-RPS6KA1 (Thr573) Polyclonal Antibody 2 cost | order Anti-Phospho-RPS6KA1 (Thr573) Polyclonal Antibody 2 | Anti-Phospho-RPS6KA1 (Thr573) Polyclonal Antibody 2 molecular weight