购物车
  • TargetMol
    您的购物车当前为空

Anti-Phospho-NF-kB p65 (Thr435) Polyclonal Antibody 2

Synonyms: v-rel avian reticuloendotheliosis viral oncogene homolog A, p-NF-kB p65 (Thr435), p-NF-kB p65 (T435), p65, NFKB3, NF-kB p65 (p-Thr435), NF-kB p65 (p-T435)
货号 TMAC-02816 一键复制产品信息
Rating icon 还可以

Anti-Phospho-NF-kB p65 (Thr435) Polyclonal Antibody 是一种 Rabbit 抗体,靶向 Phospho-NF-kB p65 (Thr435)。Anti-Phospho-NF-kB p65 (Thr435) Polyclonal Antibody 可用于 IF,IHC,WB。

Anti-Phospho-NF-kB p65 (Thr435) Polyclonal Antibody 2

一键复制产品信息
Rating icon 还可以
货号 TMAC-02816

别名 v-rel avian reticuloendotheliosis viral oncogene homolog A, p-NF-kB p65 (Thr435), p-NF-kB p65 (T435), p65, NFKB3, NF-kB p65 (p-Thr435), NF-kB p65 (p-T435)

Anti-Phospho-NF-kB p65 (Thr435) Polyclonal Antibody 是一种 Rabbit 抗体,靶向 Phospho-NF-kB p65 (Thr435)。Anti-Phospho-NF-kB p65 (Thr435) Polyclonal Antibody 可用于 IF,IHC,WB。

Anti-Phospho-NF-kB p65 (Thr435) Polyclonal Antibody 2
规格价格库存数量
50 μL
¥ 1,495
5日内发货
100 μL
¥ 2,245
5日内发货
库存状态实时更新,以官网显示为准,现货产品可直接加购物车下单
大包装 & 定制
加入购物车

TargetMol的所有产品仅用作科学研究或药证申报,不能被用于人体,我们不向个人提供产品和服务。请您遵守承诺用途,不得违反法律法规规定用于任何其他用途。

实验操作小课堂
常见问题解答
查看更多

资源下载:产品操作手册

产品介绍


生物活性
产品描述
Anti-Phospho-NF-kB p65 (Thr435) Polyclonal Antibody is a Rabbit antibody targeting Phospho-NF-kB p65 (Thr435). Anti-Phospho-NF-kB p65 (Thr435) Polyclonal Antibody can be used in IF,IHC,WB.
别名
v-rel avian reticuloendotheliosis viral oncogene homolog A, p-NF-kB p65 (Thr435), p-NF-kB p65 (T435), p65, NFKB3, NF-kB p65 (p-Thr435), NF-kB p65 (p-T435)
Ig Type
IgG
反应种属
Human,Mouse,Rat
验证活性
1. Western blot analysis of extracts from Hela cells untreated or treated with TNFa+CA using NFkB-p65 (Phospho-Thr435) Antibody TMAC-02816.
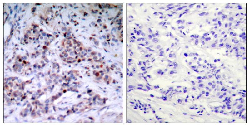
2. Immunohistochemical analysis of paraffin-embedded human breast carcinoma tissue using NF-kB p65 (phospho-Thr435) antibody (TMAC-02816).
3. Immunofluorescence staining of methanol-fixed HeLa cells using NF-kB p65 (phospho-Thr435) antibody (TMAC-02816, Red).
verifiedActivityverifiedActivityverifiedActivity
应用IFIHCWB
抗体种类
Polyclonal
宿主来源Rabbit
构建方式Polyclonal Antibody
纯化方式Antibodies were produced by immunizing rabbits with synthetic phosphopeptide and KLH conjugates. Antibodies were purified by affinity-chromatography using epitope-specific phosphopeptide. Non-phospho specific antibodies were removed by chromatogramphy using non-phosphopeptide.
性状Liquid
缓冲液Supplied at 1.0mg/mL in phosphate buffered saline (without Mg2+ and Ca2+), pH 7.4, 150mM NaCl, 0.02% sodium azide and 50% glycerol.
研究背景NF-kappa-B is a pleiotropic transcription factor which is present in almost all cell types and is involved in many biological processed such as inflammation, immunity, differentiation, cell growth, tumorigenesis and apoptosis. NF-kappa-B is a homo- or heterodimeric complex formed by the Rel-like domain-containing proteins RELA/p65, RELB, NFKB1/p105, NFKB1/p50, REL and NFKB2/p52 and the heterodimeric p65-p50 complex appears to be most abundant one. The dimers bind at kappa-B sites in the DNA of their target genes and the individual dimers have distinct preferences for different kappa-B sites that they can bind with distinguishable affinity and specificity. Different dimer combinations act as transcriptional activators or repressors, respectively. NF-kappa-B is controlled by various mechanisms of post-translational modification and subcellular compartmentalization as well as by interactions with other cofactors or corepressors. NF-kappa-B complexes are held in the cytoplasm in an inactive state complexed with members of the NF-kappa-B inhibitor (I-kappa-B) family. In a conventional activation pathway, I-kappa-B is phosphorylated by I-kappa-B kinases (IKKs) in response to different activators, subsequently degraded thus liberating the active NF-kappa-B complex which translocates to the nucleus. NF-kappa-B heterodimeric p65-p50 and p65-c-Rel complexes are transcriptional activators. The NF-kappa-B p65-p65 complex appears to be involved in invasin-mediated activation of IL-8 expression. The inhibitory effect of I-kappa-B upon NF-kappa-B the cytoplasm is exerted primarily through the interaction with p65. p65 shows a weak DNA-binding site which could contribute directly to DNA binding in the NF-kappa-B complex
偶联与修饰
偶联
Unconjugated
其他可选修饰符
Phospho
抗原信息
免疫原
Peptide sequence around phosphorylation site of threonine 435(E-G-T(p)-L-S) derived from Human NFkB-p65
抗原种属
human
Uniprot ID
储存&溶解度
储存方式Store at 2°C-8°C for 1 month. Store at -20°C or -80°C for 12 months. Avoid repeated freeze-thaw cycles.
运输方式Shipping with blue ice.

计算器

  • 稀释 计算器
  • 配液 计算器
Related Tags: buy Anti-Phospho-NF-kB p65 (Thr435) Polyclonal Antibody 2 | purchase Anti-Phospho-NF-kB p65 (Thr435) Polyclonal Antibody 2 | Anti-Phospho-NF-kB p65 (Thr435) Polyclonal Antibody 2 cost | order Anti-Phospho-NF-kB p65 (Thr435) Polyclonal Antibody 2