购物车
  • 全部删除
  • TargetMol
    您的购物车当前为空

Anti-Phospho-PTEN (Ser380, Thr382, 383) Polyclonal Antibody

一键复制产品信息
Rating icon 还可以
产品编号 TMAC-03463
别名 TEP1, PTEN1, PTEN (p-Ser380, Thr382, 383), PTEN (p-S380, T382, 383), p-PTEN (Ser380, Thr382, 383), p-PTEN (S380, T382, 383), Phospho-PTEN (S380, T382, 383), Phosphatidylinositol 3,4,5-trisphosphate 3-phosphatase and dual-specificity protein phosphatase PTEN, Phosphatase and tensin like protein, Phosphatase and tensin homolog, Mutated in multiple advanced cancers 1, MMAC1 phosphatase and tensin homolog deleted on chromosome 10, MMAC1, MHAM, MGC11227, GLM2, DEC, BZS, 10q23del

Anti-Phospho-PTEN (Ser380, Thr382, 383) Polyclonal Antibody 是一种 Rabbit 抗体,靶向 Phospho-PTEN (Ser380, Thr382, 383)。Anti-Phospho-PTEN (Ser380, Thr382, 383) Polyclonal Antibody 可用于 WB,IHC,IF。

Anti-Phospho-PTEN (Ser380, Thr382, 383) Polyclonal Antibody

Anti-Phospho-PTEN (Ser380, Thr382, 383) Polyclonal Antibody

一键复制产品信息
Rating icon 还可以
产品编号 TMAC-03463 别名 TEP1, PTEN1, PTEN (p-Ser380, Thr382, 383), PTEN (p-S380, T382, 383), p-PTEN (Ser380, Thr382, 383), p-PTEN (S380, T382, 383), Phospho-PTEN (S380, T382, 383), Phosphatidylinositol 3,4,5-trisphosphate 3-phosphatase and dual-specificity protein phosphatase PTEN, Phosphatase and tensin like protein, Phosphatase and tensin homolog, Mutated in multiple advanced cancers 1, MMAC1 phosphatase and tensin homolog deleted on chromosome 10, MMAC1, MHAM, MGC11227, GLM2, DEC, BZS, 10q23del

Anti-Phospho-PTEN (Ser380, Thr382, 383) Polyclonal Antibody 是一种 Rabbit 抗体,靶向 Phospho-PTEN (Ser380, Thr382, 383)。Anti-Phospho-PTEN (Ser380, Thr382, 383) Polyclonal Antibody 可用于 WB,IHC,IF。

规格价格库存数量
50 μL
¥ 1,480
5日内发货
100 μL
¥ 2,235
5日内发货
大包装 & 定制
加入购物车
TargetMol 的所有产品仅用作科学研究或药证申报,不能被用于人体,我们不向个人提供产品和服务。请您遵守承诺用途,不得违反法律法规规定用于任何其他用途。
实验操作小课堂
常见问题解答
查看更多
联系我们获取更多批次信息
资源下载

产品介绍

生物活性
产品描述
Anti-Phospho-PTEN (Ser380, Thr382, 383) Polyclonal Antibody is a Rabbit antibody targeting Phospho-PTEN (Ser380, Thr382, 383). Anti-Phospho-PTEN (Ser380, Thr382, 383) Polyclonal Antibody can be used in IF,IHC,WB.
别名TEP1, PTEN1, PTEN (p-Ser380, Thr382, 383), PTEN (p-S380, T382, 383), p-PTEN (Ser380, Thr382, 383), p-PTEN (S380, T382, 383), Phospho-PTEN (S380, T382, 383), Phosphatidylinositol 3,4,5-trisphosphate 3-phosphatase and dual-specificity protein phosphatase PTEN, Phosphatase and tensin like protein, Phosphatase and tensin homolog, Mutated in multiple advanced cancers 1, MMAC1 phosphatase and tensin homolog deleted on chromosome 10, MMAC1, MHAM, MGC11227, GLM2, DEC, BZS, 10q23del
Ig Type
IgG
交叉反应
Human,Mouse,Rat
验证活性
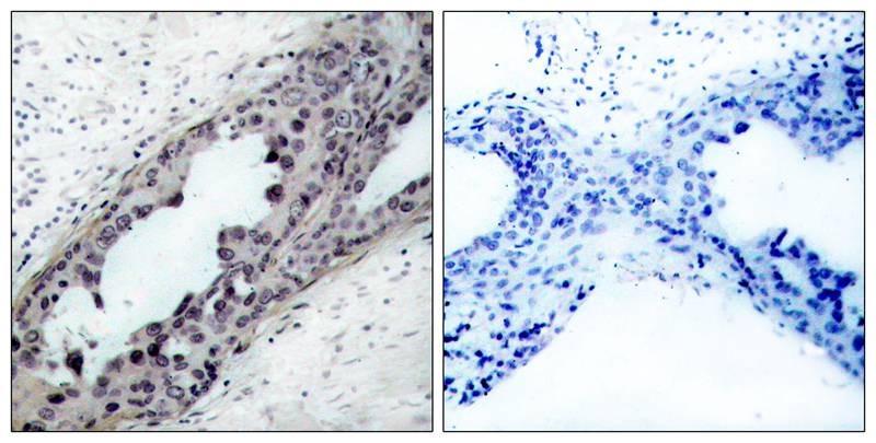
1. Immunohistochemical analysis of paraffin-embedded human breast carcinoma tissue, using PTEN (Phospho-Ser380/Thr382/Thr383) Antibody TMAC-03463 (left) or the same antibody preincubated with blocking peptide (right).
2. Immunofluorescence staining of methanol-fixed Hela cells using PTEN (Phospho-Ser380/Thr382/Thr383) Antibody TMAC-03463.
3. Western blot analysis of extracts from Hela cells, treated with IFNa or calf intestinal phosphatase (CIP), using PTEN (Phospho-Ser380/Thr382/Thr383) Antibody TMAC-03463.
4. Western blot analysis of extracts from Hela and C6 cells,treated with EGF or PMA, using PTEN (Phospho-Ser380/Thr382/Thr383) Antibody TMAC-03463.
5. Immunofluorescence staining of methanol-fixed MEFcells using PTEN (Phospho-Ser380/Thr382/Thr383)Antibody TMAC-03463.
verifiedActivityverifiedActivityverifiedActivityverifiedActivityverifiedActivity
应用IFIHCWB
抗体种类
Polyclonal
宿主来源Rabbit
构建方式Polyclonal Antibody
纯化方式Antibodies were produced by immunizing rabbits with synthetic phosphopeptide and KLH conjugates. Antibodies were purified by affinity-chromatography using epitope-specific phosphopeptide. Non-phospho specific antibodies were removed by chromatogramphy using non-phosphopeptide.
性状Liquid
缓冲液Supplied at 1.0mg/mL in phosphate buffered saline (without Mg2+ and Ca2+), pH 7.4, 150mM NaCl, 0.02% sodium azide and 50% glycerol.
研究背景Tumor suppressor. Acts as a dual-specificity protein phosphatase, dephosphorylating tyrosine-, serine- and threonine-phosphorylated proteins. Also acts as a lipid phosphatase, removing the phosphate in the D3 position of the inositol ring from phosphatidylinositol 3,4,5-trisphosphate, phosphatidylinositol 3,4-diphosphate, phosphatidylinositol 3-phosphate and inositol 1,3,4,5-tetrakisphosphate with order of substrate preference in vitro PtdIns(3,4,5)P3 > PtdIns(3,4)P2 > PtdIns3P > Ins(1,3,4,5)P4. The lipid phosphatase activity is critical for its tumor suppressor function. Antagonizes the PI3K-AKT/PKB signaling pathway by dephosphorylating phosphoinositides and thereby modulating cell cycle progression and cell survival. The unphosphorylated form cooperates with AIP1 to suppress AKT1 activation. Dephosphorylates tyrosine-phosphorylated focal adhesion kinase and inhibits cell migration and integrin-mediated cell spreading and focal adhesion formation. May be a negative regulator of insulin signaling and glucose metabolism in adipose tissue.
偶联与修饰
偶联
Unconjugated
其他可选修饰符
Phospho
抗原信息
免疫原
Peptide sequence around phosphorylation site of threonine 380/382/383 (R-Y-S(p)-D-T(p)-T(p)-D-S) derived from Human PTEN
抗原种属
human
Uniprot ID
存储&运输
储存方式Store at -20°C or -80°C for 12 months. Avoid repeated freeze-thaw cycles.
运输方式Shipping with blue ice.

计算器

  • 稀释 计算器

关键词

评论列表

4个月前
5.0
Rating icon 很棒

评论内容

Related Tags: buy Anti-Phospho-PTEN (Ser380, Thr382, 383) Polyclonal Antibody | purchase Anti-Phospho-PTEN (Ser380, Thr382, 383) Polyclonal Antibody | Anti-Phospho-PTEN (Ser380, Thr382, 383) Polyclonal Antibody cost | order Anti-Phospho-PTEN (Ser380, Thr382, 383) Polyclonal Antibody