购物车
  • 全部删除
  • TargetMol
    您的购物车当前为空

Anti-Phospho-PRKAR2A (Ser99) Antibody (9R534)

一键复制产品信息
Rating icon 还可以
产品编号 TMAC-03247
别名 PRKAR2A (p-Ser99), PRKAR2A (p-S99), p-PRKAR2A (Ser99), p-PRKAR2A (S99)

Anti-Phospho-PRKAR2A (Ser99) Antibody (9R534) 是一种 Rabbit 抗体,靶向 Phospho-PRKAR2A (Ser99)。Anti-Phospho-PRKAR2A (Ser99) Antibody (9R534) 可用于 WB,ICC/IF,IHC,IP。

Anti-Phospho-PRKAR2A (Ser99) Antibody (9R534)

Anti-Phospho-PRKAR2A (Ser99) Antibody (9R534)

一键复制产品信息
Rating icon 还可以
产品编号 TMAC-03247 别名 PRKAR2A (p-Ser99), PRKAR2A (p-S99), p-PRKAR2A (Ser99), p-PRKAR2A (S99)

Anti-Phospho-PRKAR2A (Ser99) Antibody (9R534) 是一种 Rabbit 抗体,靶向 Phospho-PRKAR2A (Ser99)。Anti-Phospho-PRKAR2A (Ser99) Antibody (9R534) 可用于 WB,ICC/IF,IHC,IP。

规格价格库存数量
50 μL
¥ 1,490
5日内发货
100 μL
¥ 2,485
5日内发货
大包装 & 定制
加入购物车
TargetMol 的所有产品仅用作科学研究或药证申报,不能被用于人体,我们不向个人提供产品和服务。请您遵守承诺用途,不得违反法律法规规定用于任何其他用途。
实验操作小课堂
常见问题解答
查看更多
联系我们获取更多批次信息
资源下载

产品介绍

生物活性
产品描述
Anti-Phospho-PRKAR2A (Ser99) Antibody (9R534) is a Rabbit antibody targeting Phospho-PRKAR2A (Ser99). Anti-Phospho-PRKAR2A (Ser99) Antibody (9R534) can be used in ICC/IF,IHC,IP,WB.
别名PRKAR2A (p-Ser99), PRKAR2A (p-S99), p-PRKAR2A (Ser99), p-PRKAR2A (S99)
Ig Type
IgG
克隆号
9R534
交叉反应
Human,Mouse,Rat,Pig
验证活性
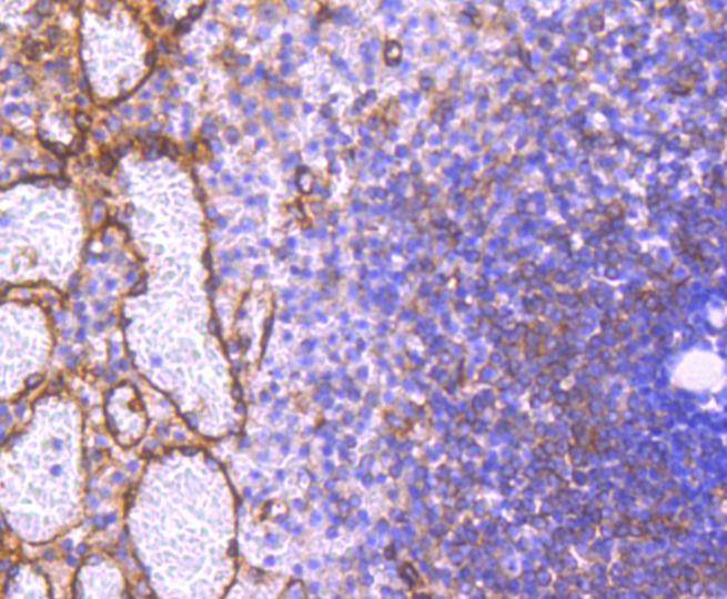
1. Immunohistochemical analysis of paraffin-embedded human spleen tissue using anti-phospho-PKA R2 (S99) antibody. Counter stained with hematoxylin.
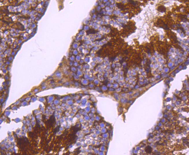
2. Immunohistochemical analysis of paraffin-embedded mouse testis tissue using anti-phospho-PKA R2 (S99) antibody. Counter stained with hematoxylin.
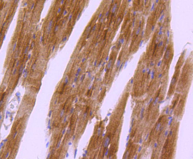
3. Immunohistochemical analysis of paraffin-embedded mouse heart tissue using anti-phospho-PKA R2 (S99) antibody. Counter stained with hematoxylin.
4. ICC staining phospho-PKA R2 (S99) in Hela cells (green). The nuclear counter stain is DAPI (blue). Cells were fixed in paraformaldehyde, permeabilised with 0.25% Triton X100/PBS.
5. ICC staining phospho-PKA R2 (S99) in MCF-7 cells (green). The nuclear counter stain is DAPI (blue). Cells were fixed in paraformaldehyde, permeabilised with 0.25% Triton X100/PBS.
verifiedActivityverifiedActivityverifiedActivityverifiedActivityverifiedActivity
应用ICC/IFIHCIPWB
推荐剂量
WB: 1:500; IHC: 1:50-200; ICC/IF: 1:50-200
抗体种类
Monoclonal
宿主来源Rabbit
构建方式Hybridoma Monoclonal Antibody
纯化方式ProA affinity purified
性状Liquid
缓冲液1*TBS (pH7.4), 1%BSA, 40%Glycerol. Preservative: 0.05% Sodium Azide.
研究背景The second messenger cyclic AMP (cAMP) mediates diverse cellular responses to external signals such as proliferation, ion transport, regulation of metabolism and gene transcription by activation of the cAMP-dependent protein kinase (cAPK or PKA). Activation of PKA occurs when cAMP binds to the two regulatory subunits of the tetrameric PKA holoenzyme resulting in release of active catalytic subunits. Three catalytic (C) subunits have been identified, designated Cα, Cβ and Cγ, that each represent specific gene products. Cα and Cβ are closely related (93% amino acid sequence similarity), whereas Cγ displays 83% and 79% similarity to Cα and Cβ, respectively. Activation of transcription upon elevation of cAMP levels results from translocation of PKA to the nucleus where it phosphorylates the transcription factor cAMP response element binding protein (CREB) on serine 133 which in turn leads to TFIIB binding to TATA-box-binding protein TBP1, thus linking phospho-CREB to the pol II transcription initiation complex.
偶联与修饰
偶联
Unconjugated
其他可选修饰符
Phospho
抗原信息
免疫原
A synthesized phosphopeptide: human PKA R2 around the phosphorylation site of Ser99
抗原种属
human
Uniprot ID
化学信息
分子量Theoretical: 51 kDa.
存储&运输
储存方式Store at -20°C or -80°C for 12 months. Avoid repeated freeze-thaw cycles.
运输方式Shipping with blue ice.

计算器

  • 稀释 计算器

关键词

评论列表

4个月前
5.0
Rating icon 很棒

评论内容

Related Tags: buy Anti-Phospho-PRKAR2A (Ser99) Antibody (9R534) | purchase Anti-Phospho-PRKAR2A (Ser99) Antibody (9R534) | Anti-Phospho-PRKAR2A (Ser99) Antibody (9R534) cost | order Anti-Phospho-PRKAR2A (Ser99) Antibody (9R534) | Anti-Phospho-PRKAR2A (Ser99) Antibody (9R534) molecular weight