购物车
  • TargetMol
    您的购物车当前为空

Anti-Phospho-PAK1/2/3 (Ser139) Antibody (4F435)

Synonyms: p-PAK1/PAK2/PAK3 (Ser139), p-PAK1/PAK2/PAK3 (S139), Phospho-PAK1/PAK2/PAK3 (S139), PAK1/PAK2/PAK3 (p-Ser139), PAK1/PAK2/PAK3 (p-S139)
货号 TMAC-03246 一键复制产品信息
Rating icon 还可以

Anti-Phospho-PAK1/2/3 (Ser139) Antibody (4F435) 是一种 Rabbit 抗体,靶向 Phospho-PAK1/2/3 (Ser139)。Anti-Phospho-PAK1/2/3 (Ser139) Antibody (4F435) 可用于 WB,ICC/IF,IHC,IP,FCM。

Anti-Phospho-PAK1/2/3 (Ser139) Antibody (4F435)

一键复制产品信息
Rating icon 还可以
货号 TMAC-03246

别名 p-PAK1/PAK2/PAK3 (Ser139), p-PAK1/PAK2/PAK3 (S139), Phospho-PAK1/PAK2/PAK3 (S139), PAK1/PAK2/PAK3 (p-Ser139), PAK1/PAK2/PAK3 (p-S139)

Anti-Phospho-PAK1/2/3 (Ser139) Antibody (4F435) 是一种 Rabbit 抗体,靶向 Phospho-PAK1/2/3 (Ser139)。Anti-Phospho-PAK1/2/3 (Ser139) Antibody (4F435) 可用于 WB,ICC/IF,IHC,IP,FCM。

Anti-Phospho-PAK1/2/3 (Ser139) Antibody (4F435)
规格价格库存数量
50 μL
¥ 1,495
5日内发货
100 μL
¥ 2,480
5日内发货
库存状态实时更新,以官网显示为准,现货产品可直接加购物车下单
大包装 & 定制
加入购物车

TargetMol的所有产品仅用作科学研究或药证申报,不能被用于人体,我们不向个人提供产品和服务。请您遵守承诺用途,不得违反法律法规规定用于任何其他用途。

实验操作小课堂
常见问题解答
查看更多

资源下载:产品操作手册

产品介绍


生物活性
产品描述
Anti-Phospho-PAK1/2/3 (Ser139) Antibody (4F435) is a Rabbit antibody targeting Phospho-PAK1/2/3 (Ser139). Anti-Phospho-PAK1/2/3 (Ser139) Antibody (4F435) can be used in FCM,ICC/IF,IHC,IP,WB.
别名
p-PAK1/PAK2/PAK3 (Ser139), p-PAK1/PAK2/PAK3 (S139), Phospho-PAK1/PAK2/PAK3 (S139), PAK1/PAK2/PAK3 (p-Ser139), PAK1/PAK2/PAK3 (p-S139)
Ig Type
IgG
克隆号
4F435
反应种属
Human,Mouse,Rat
验证活性
1. Western blot analysis of Phospho-PAK1 (S144)+PAK2 (S141)+PAK3 (S139) on different lysates using anti-Phospho-PAK1 (S144)+PAK2 (S141)+PAK3 (S139) antibody at 1/1,000 dilution. Positive control: Lane 1: Hela, Lane 2: NIH/3T3, Lane 3: SH-SY-5Y.
2. Immunohistochemical analysis of paraffin-embedded human liver cancer tissue using anti-Phospho-PAK1 (S144)+PAK2(S141)+PAK3 (S139) antibody. Counter stained with hematoxylin.
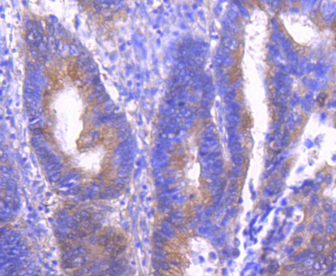
3. Immunohistochemical analysis of paraffin-embedded human colon cancer tissue using anti-Phospho-PAK1 (S144)+PAK2 (S141)+PAK3 (S139) antibody. Counter stained with hematoxylin.
4. Immunohistochemical analysis of paraffin-embedded mouse brain tissue using anti-Phospho-PAK1(S144)+PAK2(S141)+PAK3(S139) antibody. Counter stained with hematoxylin.
5. ICC staining Phospho-PAK1 (S144)+PAK2 (S141)+PAK3 (S139) in Hela cells (green). The nuclear counter stain is DAPI (blue). Cells were fixed in paraformaldehyde, permeabilised with 0.25% Triton X100/PBS.
6. ICC staining Phospho-PAK1 (S144)+PAK2 (S141)+PAK3 (S139) in NIH/3T3 cells (green). The nuclear counter stain is DAPI (blue). Cells were fixed in paraformaldehyde, permeabilised with 0.25% Triton X100/PBS.
7. Flow cytometric analysis of NIH/3T3 cells with Phospho-PAK1 (S144)+PAK2 (S141)+PAK3 (S139) antibody at 1/50 dilution (red) compared with an unlabelled control (cells without incubation with primary antibody; black). Alexa Fluor 488-conjugated goat anti rabbit IgG was used as the secondary antibody.
verifiedActivityverifiedActivityverifiedActivityverifiedActivityverifiedActivityverifiedActivityverifiedActivity
应用FCMICC/IFIHCIPWB
推荐剂量
WB: 1:1000-2000; IHC: 1:50-200; ICC/IF: 1:50-200; FCM: 1:50-100
抗体种类
Monoclonal
宿主来源Rabbit
构建方式Recombinant Antibody
纯化方式ProA affinity purified
性状Liquid
缓冲液1*TBS (pH7.4), 1%BSA, 40%Glycerol. Preservative: 0.05% Sodium Azide.
研究背景Cytoplasm, Cell membrane.
偶联与修饰
偶联
Unconjugated
其他可选修饰符
Phospho
抗原信息
免疫原
A synthesized phosphopeptide: human PAK1 around the phosphorylation site of Ser144
抗原种属
human
化学信息
分子量Theoretical: 65 kDa.
储存&溶解度
储存方式Store at -20°C or -80°C for 12 months. Avoid repeated freeze-thaw cycles.
运输方式Shipping with blue ice.

计算器

  • 稀释 计算器
  • 配液 计算器
Related Tags: buy Anti-Phospho-PAK1/2/3 (Ser139) Antibody (4F435) | purchase Anti-Phospho-PAK1/2/3 (Ser139) Antibody (4F435) | Anti-Phospho-PAK1/2/3 (Ser139) Antibody (4F435) cost | order Anti-Phospho-PAK1/2/3 (Ser139) Antibody (4F435) | Anti-Phospho-PAK1/2/3 (Ser139) Antibody (4F435) molecular weight