购物车
  • 全部删除
  • TargetMol
    您的购物车当前为空

Anti-Phospho-p53 (Ser15) Polyclonal Antibody 2

一键复制产品信息
Rating icon 还可以
产品编号 TMAC-02995
别名 p-p53 (Ser15), p-p53 (S15), p53 (p-Ser15), p53 (p-S15)

Anti-Phospho-p53 (Ser15) Polyclonal Antibody 是一种 Rabbit 抗体,靶向 Phospho-p53 (Ser15)。Anti-Phospho-p53 (Ser15) Polyclonal Antibody 可用于 ELISA,IF,IHC,IP,WB。

Anti-Phospho-p53 (Ser15) Polyclonal Antibody 2

Anti-Phospho-p53 (Ser15) Polyclonal Antibody 2

一键复制产品信息
Rating icon 还可以
产品编号 TMAC-02995 别名 p-p53 (Ser15), p-p53 (S15), p53 (p-Ser15), p53 (p-S15)

Anti-Phospho-p53 (Ser15) Polyclonal Antibody 是一种 Rabbit 抗体,靶向 Phospho-p53 (Ser15)。Anti-Phospho-p53 (Ser15) Polyclonal Antibody 可用于 ELISA,IF,IHC,IP,WB。

规格价格库存数量
50 μL
¥ 1,480
5日内发货
100 μL
¥ 2,230
5日内发货
大包装 & 定制
加入购物车
TargetMol 的所有产品仅用作科学研究或药证申报,不能被用于人体,我们不向个人提供产品和服务。请您遵守承诺用途,不得违反法律法规规定用于任何其他用途。
实验操作小课堂
常见问题解答
查看更多
联系我们获取更多批次信息
资源下载

产品介绍

生物活性
产品描述
Anti-Phospho-p53 (Ser15) Polyclonal Antibody is a Rabbit antibody targeting Phospho-p53 (Ser15). Anti-Phospho-p53 (Ser15) Polyclonal Antibody can be used in ELISA,IF,IHC,IP,WB.
别名p-p53 (Ser15), p-p53 (S15), p53 (p-Ser15), p53 (p-S15)
Ig Type
IgG
交叉反应
Human,Mouse,Rat
验证活性
1. Western blot analysis of extracts from 293 cells untreated or treated with UV using p53 (Phospho-Ser15) Antibody TMAC-02995.
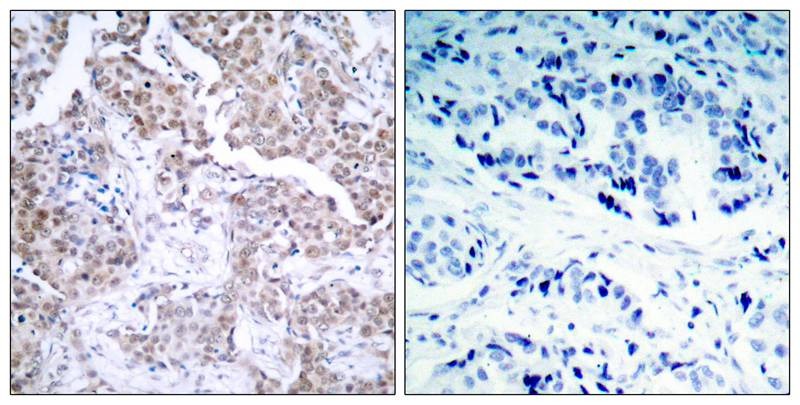
2. Immunohistochemical analysis of paraffin-embedded human breast carcinoma tissue using p53 (Phospho-Ser15) Antibody TMAC-02995 (left) or the same antibody preincubated with blocking peptide (right).
3. Immunofluorescence staining of methanol-fixed Hela cells using p53(Phospho-Ser15) Antibody TMAC-02995.
4. Immunofluorescence staining of methanol-fixed Hela cells using p53 (Phospho-Ser15) Antibody TMAC-02995.
verifiedActivityverifiedActivityverifiedActivityverifiedActivity
应用ELISAIFIHCIPWB
抗体种类
Polyclonal
宿主来源Rabbit
构建方式Polyclonal Antibody
纯化方式Antibodies were produced by immunizing rabbits with synthetic phosphopeptide and KLH conjugates. Antibodies were purified by affinity-chromatography using epitope-specific phosphopeptide. Non-phospho specific antibodies were removed by chromatogramphy using non-phosphopeptide.
性状Liquid
缓冲液Supplied at 1.0mg/mL in phosphate buffered saline (without Mg2+ and Ca2+), pH 7.4, 150mM NaCl, 0.02% sodium azide and 50% glycerol.
研究背景Acts as a tumor suppressor in many tumor types; induces growth arrest or apoptosis depending on the physiological circumstances and cell type. Involved in cell cycle regulation as a trans-activator that acts to negatively regulate cell division by controlling a set of genes required for this process. One of the activated genes is an inhibitor of cyclin-dependent kinases. Apoptosis induction seems to be mediated either by stimulation of BAX and FAS antigen expression, or by repression of Bcl-2 expression. Implicated in Notch signaling cross-over.
偶联与修饰
偶联
Unconjugated
其他可选修饰符
Phospho
抗原信息
免疫原
Peptide sequence around phosphorylation site of serine 15 (P-L-S(p)-Q-E) derived from Human p53
抗原种属
human
Uniprot ID
存储&运输
储存方式Store at 2°C-8°C for 1 month. Store at -20°C or -80°C for 12 months. Avoid repeated freeze-thaw cycles.
运输方式Shipping with blue ice.

计算器

  • 稀释 计算器

关键词

评论列表

4个月前
5.0
Rating icon 很棒

评论内容

Related Tags: buy Anti-Phospho-p53 (Ser15) Polyclonal Antibody 2 | purchase Anti-Phospho-p53 (Ser15) Polyclonal Antibody 2 | Anti-Phospho-p53 (Ser15) Polyclonal Antibody 2 cost | order Anti-Phospho-p53 (Ser15) Polyclonal Antibody 2