购物车
  • TargetMol
    您的购物车当前为空

Anti-Phospho-Mucin-1/MUC1 (Tyr1229) Polyclonal Antibody 2

Synonyms: p-Mucin-1/MUC1 (Y1229), p-Mucin-1/MUC1 (Tyr1229), Mucin-1/MUC1 (p-Y1229), Mucin-1/MUC1 (p-Tyr1229)
货号 TMAC-00682 一键复制产品信息
Rating icon 还可以

Anti-Phospho-Mucin-1/MUC1 (Tyr1229) Polyclonal Antibody 是一种 Rabbit 抗体,靶向 Phospho-Mucin-1/MUC1 (Tyr1229)。Anti-Phospho-Mucin-1/MUC1 (Tyr1229) Polyclonal Antibody 可用于 IF,IHC,WB。

Anti-Phospho-Mucin-1/MUC1 (Tyr1229) Polyclonal Antibody 2

一键复制产品信息
Rating icon 还可以
货号 TMAC-00682

别名 p-Mucin-1/MUC1 (Y1229), p-Mucin-1/MUC1 (Tyr1229), Mucin-1/MUC1 (p-Y1229), Mucin-1/MUC1 (p-Tyr1229)

Anti-Phospho-Mucin-1/MUC1 (Tyr1229) Polyclonal Antibody 是一种 Rabbit 抗体,靶向 Phospho-Mucin-1/MUC1 (Tyr1229)。Anti-Phospho-Mucin-1/MUC1 (Tyr1229) Polyclonal Antibody 可用于 IF,IHC,WB。

Anti-Phospho-Mucin-1/MUC1 (Tyr1229) Polyclonal Antibody 2
规格价格库存数量
50 μL
¥ 1,485
5日内发货
100 μL
¥ 2,230
5日内发货
库存状态实时更新,以官网显示为准,现货产品可直接加购物车下单
大包装 & 定制
加入购物车

TargetMol的所有产品仅用作科学研究或药证申报,不能被用于人体,我们不向个人提供产品和服务。请您遵守承诺用途,不得违反法律法规规定用于任何其他用途。

实验操作小课堂
常见问题解答
查看更多

资源下载:产品操作手册

产品介绍


生物活性
产品描述
Anti-Phospho-Mucin-1/MUC1 (Tyr1229) Polyclonal Antibody is a Rabbit antibody targeting Phospho-Mucin-1/MUC1 (Tyr1229). Anti-Phospho-Mucin-1/MUC1 (Tyr1229) Polyclonal Antibody can be used in IF,IHC,WB.
别名
p-Mucin-1/MUC1 (Y1229), p-Mucin-1/MUC1 (Tyr1229), Mucin-1/MUC1 (p-Y1229), Mucin-1/MUC1 (p-Tyr1229)
Ig Type
IgG
反应种属
Human
验证活性
1. Western blot analysis of extracts from HepG2 cells treated with PMA using CD227/MUC1 (Phospho-Tyr1229) Antibody TMAC-00682. The lane on the right is treated with the antigen-specific peptide.
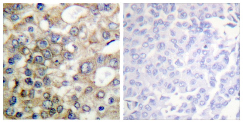
2. Immunohistochemical analysis of paraffin-embedded human breast carcinoma tissue using CD227/MUC1 (Phospho-Tyr1229) antibody TMAC-00682 (left) or the same antibody preincubated with blocking peptide (right).
3. Immunofluorescence staining of methanol-fixed HepG2 cells using CD227/MUC1 (Phospho-Tyr1229) Antibody TMAC-00682.
verifiedActivityverifiedActivityverifiedActivity
应用IFIHCWB
推荐剂量
WB: 1:500-1000; IHC: 1:50-100; IF: 1:100-200
抗体种类
Polyclonal
宿主来源Rabbit
构建方式Polyclonal Antibody
纯化方式Antibodies were produced by immunizing rabbits with synthetic phosphopeptide and KLH conjugates. Antibodies were purified by affinity-chromatography using epitope-specific phosphopeptide. Non-phospho specific antibodies were removed by chromatogramphy using non-phosphopeptide.
性状Liquid
缓冲液Rabbit IgG in phosphate buffered saline (without Mg2+ and Ca2+), pH 7.4, 150mM NaCl, 0.02% sodium azide and 50% glycerol.
研究背景The alpha subunit has cell adhesive properties. Can act both as an adhesion and an adhesion protein. May provide a protective layer on epithelial cells against bacterial and enzyme attack.
偶联与修饰
偶联
Unconjugated
其他可选修饰符
Phospho
抗原信息
免疫原
Peptide sequence around phosphorylation site of tyrosine 1229 S-P-Y(p)-E-K) derived from Human CD227/MUC1
抗原种属
human
Uniprot ID
化学信息
分子量Actual: 170 kDa.
储存&溶解度
储存方式Store at -20°C or -80°C for 12 months. Avoid repeated freeze-thaw cycles.
运输方式Shipping with blue ice.

计算器

  • 稀释 计算器
  • 配液 计算器
Related Tags: buy Anti-Phospho-Mucin-1/MUC1 (Tyr1229) Polyclonal Antibody 2 | purchase Anti-Phospho-Mucin-1/MUC1 (Tyr1229) Polyclonal Antibody 2 | Anti-Phospho-Mucin-1/MUC1 (Tyr1229) Polyclonal Antibody 2 cost | order Anti-Phospho-Mucin-1/MUC1 (Tyr1229) Polyclonal Antibody 2 | Anti-Phospho-Mucin-1/MUC1 (Tyr1229) Polyclonal Antibody 2 molecular weight