购物车
  • 全部删除
  • TargetMol
    您的购物车当前为空

Anti-Phospho-LATS1/2 (Ser909) Polyclonal Antibody

一键复制产品信息
Rating icon 还可以
产品编号 TMAC-02374
别名 p-LATS1/2 (Ser909), p-LATS1/2 (S909), LATS1/2 (p-Ser909), LATS1/2 (p-S909)

Anti-Phospho-LATS1/2 (Ser909) Polyclonal Antibody 是一种 Rabbit 抗体,靶向 Phospho-LATS1/2 (Ser909)。Anti-Phospho-LATS1/2 (Ser909) Polyclonal Antibody 可用于 ELISA,IHC-P,WB。

Anti-Phospho-LATS1/2 (Ser909) Polyclonal Antibody

Anti-Phospho-LATS1/2 (Ser909) Polyclonal Antibody

一键复制产品信息
Rating icon 还可以
产品编号 TMAC-02374 别名 p-LATS1/2 (Ser909), p-LATS1/2 (S909), LATS1/2 (p-Ser909), LATS1/2 (p-S909)

Anti-Phospho-LATS1/2 (Ser909) Polyclonal Antibody 是一种 Rabbit 抗体,靶向 Phospho-LATS1/2 (Ser909)。Anti-Phospho-LATS1/2 (Ser909) Polyclonal Antibody 可用于 ELISA,IHC-P,WB。

规格价格库存数量
50 μL
¥ 1,495
5日内发货
100 μL
¥ 2,240
5日内发货
大包装 & 定制
加入购物车
TargetMol 的所有产品仅用作科学研究或药证申报,不能被用于人体,我们不向个人提供产品和服务。请您遵守承诺用途,不得违反法律法规规定用于任何其他用途。
实验操作小课堂
常见问题解答
查看更多
联系我们获取更多批次信息
资源下载

产品介绍

生物活性
产品描述
Anti-Phospho-LATS1/2 (Ser909) Polyclonal Antibody is a Rabbit antibody targeting Phospho-LATS1/2 (Ser909). Anti-Phospho-LATS1/2 (Ser909) Polyclonal Antibody can be used in ELISA,IHC-P,WB.
别名p-LATS1/2 (Ser909), p-LATS1/2 (S909), LATS1/2 (p-Ser909), LATS1/2 (p-S909)
Ig Type
IgG
交叉反应
Human,Mouse,Rat
验证活性
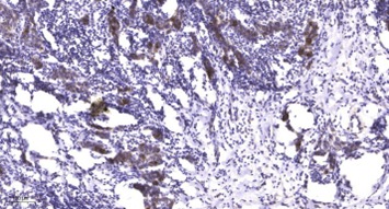
1. Immunohistochemical analysis of paraffin-embedded human Breast cancer.
2. Western Blot analysis of Hela treated or untreated by LPS lysis, using primary antibody at 1:1000 dilution.
verifiedActivityverifiedActivity
应用ELISAIHC-PWB
推荐剂量
WB: 1:500-2000; IHC-P: 1:50-300; ELISA: 1:2000-20000
抗体种类
Polyclonal
宿主来源Rabbit
构建方式Polyclonal Antibody
性状Liquid
缓冲液Liquid in PBS containing 50% glycerol, 0.5% BSA and 0.02% sodium azide.
偶联与修饰
偶联
Unconjugated
其他可选修饰符
Phospho
抗原信息
免疫原
A synthesized phosphopeptide: human LATS1/2 around the phosphorylation site of Ser909
抗原种属
human
Uniprot ID
存储&运输
储存方式Store at -20°C or -80°C for 12 months. Avoid repeated freeze-thaw cycles.
运输方式Shipping with blue ice.

计算器

  • 稀释 计算器

关键词

评论列表

4个月前
5.0
Rating icon 很棒

评论内容

Related Tags: buy Anti-Phospho-LATS1/2 (Ser909) Polyclonal Antibody | purchase Anti-Phospho-LATS1/2 (Ser909) Polyclonal Antibody | Anti-Phospho-LATS1/2 (Ser909) Polyclonal Antibody cost | order Anti-Phospho-LATS1/2 (Ser909) Polyclonal Antibody