购物车
  • TargetMol
    您的购物车当前为空

Anti-Phospho-JunD (Ser255) Antibody (2L794)

Synonyms: p-JunD (Ser255), p-JunD (S255), JunD (p-Ser255), JunD (p-S255)
货号 TMAC-03233 一键复制产品信息
Rating icon 还可以

Anti-Phospho-JunD (Ser255) Antibody (2L794) 是一种 Rabbit 抗体,靶向 Phospho-JunD (Ser255)。Anti-Phospho-JunD (Ser255) Antibody (2L794) 可用于 WB,ICC/IF,IHC。

Anti-Phospho-JunD (Ser255) Antibody (2L794)

一键复制产品信息
Rating icon 还可以
货号 TMAC-03233

别名 p-JunD (Ser255), p-JunD (S255), JunD (p-Ser255), JunD (p-S255)

Anti-Phospho-JunD (Ser255) Antibody (2L794) 是一种 Rabbit 抗体,靶向 Phospho-JunD (Ser255)。Anti-Phospho-JunD (Ser255) Antibody (2L794) 可用于 WB,ICC/IF,IHC。

Anti-Phospho-JunD (Ser255) Antibody (2L794)
规格价格库存数量
50 μL
¥ 1,480
5日内发货
100 μL
¥ 2,495
5日内发货
库存状态实时更新,以官网显示为准,现货产品可直接加购物车下单
大包装 & 定制
加入购物车

TargetMol的所有产品仅用作科学研究或药证申报,不能被用于人体,我们不向个人提供产品和服务。请您遵守承诺用途,不得违反法律法规规定用于任何其他用途。

实验操作小课堂
常见问题解答
查看更多

资源下载:产品操作手册

产品介绍


生物活性
产品描述
Anti-Phospho-JunD (Ser255) Antibody (2L794) is a Rabbit antibody targeting Phospho-JunD (Ser255). Anti-Phospho-JunD (Ser255) Antibody (2L794) can be used in ICC/IF,IHC,WB.
别名
p-JunD (Ser255), p-JunD (S255), JunD (p-Ser255), JunD (p-S255)
Ig Type
IgG
克隆号
2L794
反应种属
Human,Mouse,Rat
验证活性
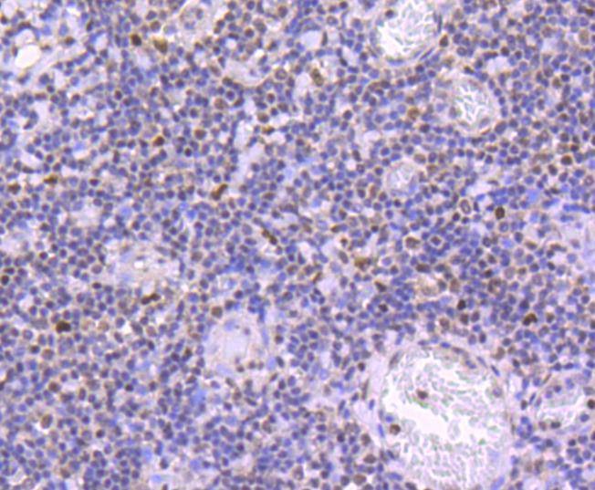
1. Immunohistochemical analysis of paraffin-embedded human tonsil tissue using anti-Phospho-JunD (S255) antibody. Counter stained with hematoxylin.
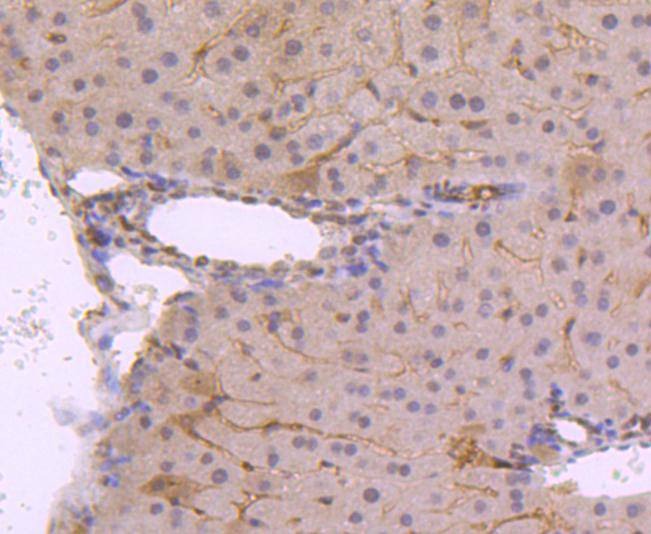
2. Immunohistochemical analysis of paraffin-embedded mouse liver tissue using anti-Phospho-JunD (S255) antibody. Counter stained with hematoxylin.
3. Immunohistochemical analysis of paraffin-embedded human breast carcinoma tissue using anti-Phospho-JunD (S255) antibody. Counter stained with hematoxylin.
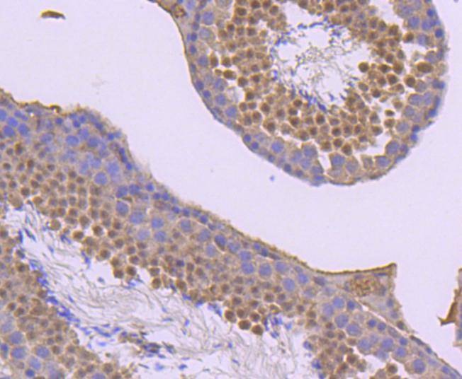
4. Immunohistochemical analysis of paraffin-embedded mouse testis tissue using anti-Phospho-JunD (S255) antibody. Counter stained with hematoxylin.
5. ICC staining Phospho-JunD (S255) in HepG2 cells (green). The nuclear counter stain is DAPI (blue). Cells were fixed in paraformaldehyde, permeabilised with 0.25% Triton X100/PBS.
6. ICC staining Phospho-JunD (S255) in Hela cells (green). The nuclear counter stain is DAPI (blue). Cells were fixed in paraformaldehyde, permeabilised with 0.25% Triton X100/PBS.
7. ICC staining Phospho-JunD (S255) in MCF-7 cells (green). The nuclear counter stain is DAPI (blue). Cells were fixed in paraformaldehyde, permeabilised with 0.25% Triton X100/PBS.
verifiedActivityverifiedActivityverifiedActivityverifiedActivityverifiedActivityverifiedActivityverifiedActivity
应用ICC/IFIHCWB
推荐剂量
WB: 1:1000; IHC: 1:50-200; ICC/IF: 1:50-200
抗体种类
Monoclonal
宿主来源Rabbit
构建方式Recombinant Antibody
纯化方式ProA affinity purified
性状Liquid
缓冲液1*TBS (pH7.4), 1%BSA, 40%Glycerol. Preservative: 0.05% Sodium Azide.
研究背景The activator protein-1 (AP-1) transcription factor consists of either Jun/Jun homodimers or Fos/Jun heterodimeric complexes. Homo- and heterodimers bind to the TGACTCA consensus sequence present in numerous promoters and initially identified as the phorbol ester tumor promoter response element (TRE). Jun B and Jun D have been shown to be almost identical to c-Jun in their C-terminal regions, which are involved in dimerization and DNA binding, whereas their N-terminal domains, which are involved in transcriptional activation, diverge. All three form heterodimers among themselves and with c-Fos and other members of the Fos gene family. Studies suggest that the two forms of Jun D may be due to internal initiation of translation.
偶联与修饰
偶联
Unconjugated
其他可选修饰符
Phospho
抗原信息
免疫原
A synthesized phosphopeptide: human JunD around the phosphorylation site of Ser255
抗原种属
human
Uniprot ID
化学信息
分子量Theoretical: 35 kDa.
储存&溶解度
储存方式Store at -20°C or -80°C for 12 months. Avoid repeated freeze-thaw cycles.
运输方式Shipping with blue ice.

计算器

  • 稀释 计算器
  • 配液 计算器
Related Tags: buy Anti-Phospho-JunD (Ser255) Antibody (2L794) | purchase Anti-Phospho-JunD (Ser255) Antibody (2L794) | Anti-Phospho-JunD (Ser255) Antibody (2L794) cost | order Anti-Phospho-JunD (Ser255) Antibody (2L794) | Anti-Phospho-JunD (Ser255) Antibody (2L794) molecular weight