购物车
  • 全部删除
  • TargetMol
    您的购物车当前为空

Anti-Phospho-IKBKB (Tyr199) Polyclonal Antibody 2

一键复制产品信息
Rating icon 还可以
产品编号 TMAC-02131
别名 p-IKBKB (Y199), p-IKBKB (Tyr199), IKBKB (p-Y199), IKBKB (p-Tyr199)

Anti-Phospho-IKBKB (Tyr199) Polyclonal Antibody 是一种 Rabbit 抗体,靶向 Phospho-IKBKB (Tyr199)。Anti-Phospho-IKBKB (Tyr199) Polyclonal Antibody 可用于 WB,IHC,IF。

Anti-Phospho-IKBKB (Tyr199) Polyclonal Antibody 2

Anti-Phospho-IKBKB (Tyr199) Polyclonal Antibody 2

一键复制产品信息
Rating icon 还可以
产品编号 TMAC-02131 别名 p-IKBKB (Y199), p-IKBKB (Tyr199), IKBKB (p-Y199), IKBKB (p-Tyr199)

Anti-Phospho-IKBKB (Tyr199) Polyclonal Antibody 是一种 Rabbit 抗体,靶向 Phospho-IKBKB (Tyr199)。Anti-Phospho-IKBKB (Tyr199) Polyclonal Antibody 可用于 WB,IHC,IF。

规格价格库存数量
50 μL
¥ 1,485
5日内发货
100 μL
¥ 2,240
5日内发货
大包装 & 定制
加入购物车
TargetMol 的所有产品仅用作科学研究或药证申报,不能被用于人体,我们不向个人提供产品和服务。请您遵守承诺用途,不得违反法律法规规定用于任何其他用途。
实验操作小课堂
常见问题解答
查看更多
联系我们获取更多批次信息
资源下载

产品介绍

生物活性
产品描述
Anti-Phospho-IKBKB (Tyr199) Polyclonal Antibody is a Rabbit antibody targeting Phospho-IKBKB (Tyr199). Anti-Phospho-IKBKB (Tyr199) Polyclonal Antibody can be used in WB,IHC,IF.
别名p-IKBKB (Y199), p-IKBKB (Tyr199), IKBKB (p-Y199), IKBKB (p-Tyr199)
Ig Type
IgG
交叉反应
Human,Mouse,Rat
验证活性
1. Immunofluorescence staining of methanol-fixed HeLa cells using IKK-β (Phospho-Tyr199) Antibody (TMAC-02131, Red).
2. Western blot analysis of lysates from HeLa cells treated with TNF-a 20ng/ml+Calyculin A 50nM 5', using IKK-beta (Phospho-Tyr199) Antibody. The lane on the right is blocked with the phospho peptide.
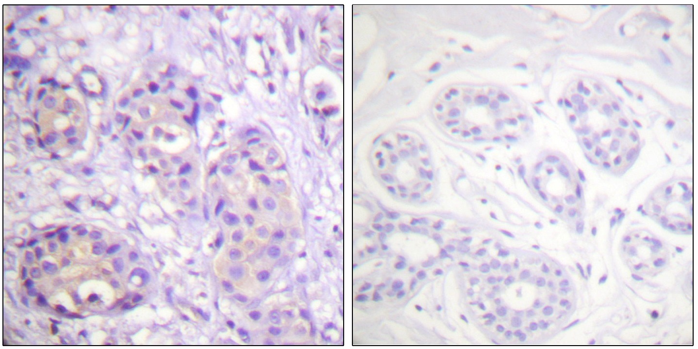
3. Immunohistochemistry analysis of paraffin-embedded human breast carcinoma, using IKK-beta (Phospho-Tyr199) Antibody. The picture on the right is blocked with the phospho peptide.
verifiedActivityverifiedActivityverifiedActivity
应用WBIHCIF
推荐剂量
WB: 1:500-2000; IHC: 1:100-300; IF: 1:100-200
抗体种类
Polyclonal
宿主来源Rabbit
构建方式Polyclonal Antibody
纯化方式Antibodies were produced by immunizing rabbits with synthetic phosphopeptide and KLH conjugates. Antibodies were purified by affinity-chromatography using epitope-specific phosphopeptide. Non-phospho specific antibodies were removed by chromatogramphy using non-phosphopeptide.
性状Liquid
缓冲液Supplied at 1.0mg/mL in phosphate buffered saline (without Mg2+ and Ca2+), pH 7.4, 150mM NaCl, 0.02% sodium azide and 50% glycerol.
研究背景Serine kinase that plays an essential role in the NF-kappa-B signaling pathway which is activated by multiple stimuli such as inflammatory cytokines, bacterial or viral products, DNA damages or other cellular stresses. Acts as part of the canonical IKK complex in the conventional pathway of NF-kappa-B activation and phosphorylates inhibitors of NF-kappa-B on 2 critical serine residues. These modifications allow polyubiquitination of the inhibitors and subsequent degradation by the proteasome. In turn, free NF-kappa-B is translocated into the nucleus and activates the transcription of hundreds of genes involved in immune response, growth control, or protection against apoptosis. In addition to the NF-kappa-B inhibitors, phosphorylates several other components of the signaling pathway including NEMO/IKBKG, NF-kappa-B subunits RELA and NFKB1, as well as IKK-related kinases TBK1 and IKBKE. IKK-related kinase phosphorylations may prevent the overproduction of inflammatory mediators since they exert a negative regulation on canonical IKKs. Also phosphorylates other substrates including NCOA3, BCL10 and IRS1. Within the nucleus, acts as an adapter protein for NFKBIA degradation in UV-induced NF-kappa-B activation.
偶联与修饰
偶联
Unconjugated
其他可选修饰符
Phospho
抗原信息
免疫原
Peptide sequence around phosphorylation site of tyrosine 199(Q-K-Y(p)-T-V)derived from Human IKK-β
抗原种属
human
Uniprot ID
化学信息
分子量Actual: 87 kDa.
存储&运输
储存方式Store at -20°C or -80°C for 12 months. Avoid repeated freeze-thaw cycles.
运输方式Shipping with blue ice.

计算器

  • 稀释 计算器

关键词

评论列表

4个月前
5.0
Rating icon 很棒

评论内容

Related Tags: buy Anti-Phospho-IKBKB (Tyr199) Polyclonal Antibody 2 | purchase Anti-Phospho-IKBKB (Tyr199) Polyclonal Antibody 2 | Anti-Phospho-IKBKB (Tyr199) Polyclonal Antibody 2 cost | order Anti-Phospho-IKBKB (Tyr199) Polyclonal Antibody 2 | Anti-Phospho-IKBKB (Tyr199) Polyclonal Antibody 2 molecular weight