购物车
  • 全部删除
  • TargetMol
    您的购物车当前为空

Anti-Phospho-FOS (Thr232) Polyclonal Antibody

一键复制产品信息
Rating icon 还可以
产品编号 TMAC-01528
别名 p-FOS (Thr232), p-FOS (T232), FOS (p-Thr232), FOS (p-T232)

Anti-Phospho-FOS (Thr232) Polyclonal Antibody 是一种 Rabbit 抗体,靶向 Phospho-FOS (Thr232)。Anti-Phospho-FOS (Thr232) Polyclonal Antibody 可用于 IHC,WB。

Anti-Phospho-FOS (Thr232) Polyclonal Antibody

Anti-Phospho-FOS (Thr232) Polyclonal Antibody

一键复制产品信息
Rating icon 还可以
产品编号 TMAC-01528 别名 p-FOS (Thr232), p-FOS (T232), FOS (p-Thr232), FOS (p-T232)

Anti-Phospho-FOS (Thr232) Polyclonal Antibody 是一种 Rabbit 抗体,靶向 Phospho-FOS (Thr232)。Anti-Phospho-FOS (Thr232) Polyclonal Antibody 可用于 IHC,WB。

规格价格库存数量
50 μL
¥ 1,480
5日内发货
100 μL
¥ 2,230
5日内发货
大包装 & 定制
加入购物车
TargetMol 的所有产品仅用作科学研究或药证申报,不能被用于人体,我们不向个人提供产品和服务。请您遵守承诺用途,不得违反法律法规规定用于任何其他用途。
实验操作小课堂
常见问题解答
查看更多
联系我们获取更多批次信息
资源下载

产品介绍

生物活性
产品描述
Anti-Phospho-FOS (Thr232) Polyclonal Antibody is a Rabbit antibody targeting Phospho-FOS (Thr232). Anti-Phospho-FOS (Thr232) Polyclonal Antibody can be used in IHC,WB.
别名p-FOS (Thr232), p-FOS (T232), FOS (p-Thr232), FOS (p-T232)
Ig Type
IgG
交叉反应
Human
验证活性
1. Western blot analysis of extracts from COS7 cells (Lane 2), using FOS (Phospho-Thr232) Antibody TMAC-01528. The lane on the left is treated with antigen-specific peptide.
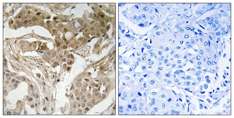
2. Immunohistochemical analysis of paraffin-embedded human breast carcinoma tissue using FOS (Phospho-Thr232) antibody TMAC-01528 (left)or the same antibody preincubated with blocking peptide (right).
verifiedActivityverifiedActivity
应用IHCWB
推荐剂量
WB: 1:500-1000; IHC: 1:50-100
抗体种类
Polyclonal
宿主来源Rabbit
构建方式Polyclonal Antibody
纯化方式Antibodies were produced by immunizing rabbits with synthetic phosphopeptide and KLH conjugates. Antibodies were purified by affinity-chromatography using epitope-specific phosphopeptide. Non-phospho specific antibodies were removed by chromatogramphy using non-phosphopeptide.
性状Liquid
缓冲液Rabbit IgG in phosphate buffered saline (without Mg2+ and Ca2+), pH 7.4, 150mM NaCl, 0.02% sodium azide and 50% glycerol.
研究背景Nuclear phosphoprotein which forms a tight but non-covalently linked complex with the JUN/AP-1 transcription factor. In the heterodimer, FOS and JUN/AP-1 basic regions each seems to interact with symmetrical DNA half sites. On TGF-beta activation, forms a multimeric SMAD3/SMAD4/JUN/FOS complex at the AP1/SMAD-binding site to regulate TGF-beta-mediated signaling. Has a critical function in regulating the development of cells destined to form and maintain the skeleton. It is thought to have an important role in signal transduction, cell proliferation and differentiation. In growing cells, activates phospholipid synthesis, possibly by activating CDS1 and PI4K2A. This activity requires Tyr-dephosphorylation and association with the endoplasmic reticulum.
偶联与修饰
偶联
Unconjugated
其他可选修饰符
Phospho
抗原信息
免疫原
Peptide sequence around phosphorylation site of threonine 232(V-A-T(p)-P-E) derived from Human FOS
抗原种属
human
Uniprot ID
化学信息
分子量Actual: 48 kDa.
存储&运输
储存方式Store at -20°C or -80°C for 12 months. Avoid repeated freeze-thaw cycles.
运输方式Shipping with blue ice.

计算器

  • 稀释 计算器

关键词

评论列表

4个月前
5.0
Rating icon 很棒

评论内容

Related Tags: buy Anti-Phospho-FOS (Thr232) Polyclonal Antibody | purchase Anti-Phospho-FOS (Thr232) Polyclonal Antibody | Anti-Phospho-FOS (Thr232) Polyclonal Antibody cost | order Anti-Phospho-FOS (Thr232) Polyclonal Antibody | Anti-Phospho-FOS (Thr232) Polyclonal Antibody molecular weight