购物车
  • 全部删除
  • TargetMol
    您的购物车当前为空

Anti-Phospho-EIF2S1 (Ser49) Polyclonal Antibody

一键复制产品信息
Rating icon 还可以
产品编号 TMAC-01264
别名 Phospho-EIF2S1 (S49), p-EIF2S1 (Ser49), p-EIF2S1 (S49), IF2A_HUMAN, Eukaryotic translation initiation factor 2 subunit 1 alpha 35kDa, EIF2S1 (p-Ser49), EIF2S1 (p-S49), EIF2A, EIF2 alpha, EIF2, EIF 2alpha, EIF 2A, EIF 2 alpha, EIF 2

Anti-Phospho-EIF2S1 (Ser49) Polyclonal Antibody 是一种 Rabbit 抗体,靶向 Phospho-EIF2S1 (Ser49)。Anti-Phospho-EIF2S1 (Ser49) Polyclonal Antibody 可用于 IF,IHC,WB。

Anti-Phospho-EIF2S1 (Ser49) Polyclonal Antibody

Anti-Phospho-EIF2S1 (Ser49) Polyclonal Antibody

一键复制产品信息
Rating icon 还可以
产品编号 TMAC-01264 别名 Phospho-EIF2S1 (S49), p-EIF2S1 (Ser49), p-EIF2S1 (S49), IF2A_HUMAN, Eukaryotic translation initiation factor 2 subunit 1 alpha 35kDa, EIF2S1 (p-Ser49), EIF2S1 (p-S49), EIF2A, EIF2 alpha, EIF2, EIF 2alpha, EIF 2A, EIF 2 alpha, EIF 2

Anti-Phospho-EIF2S1 (Ser49) Polyclonal Antibody 是一种 Rabbit 抗体,靶向 Phospho-EIF2S1 (Ser49)。Anti-Phospho-EIF2S1 (Ser49) Polyclonal Antibody 可用于 IF,IHC,WB。

规格价格库存数量
50 μL
¥ 1,490
5日内发货
100 μL
¥ 2,235
5日内发货
大包装 & 定制
加入购物车
TargetMol 的所有产品仅用作科学研究或药证申报,不能被用于人体,我们不向个人提供产品和服务。请您遵守承诺用途,不得违反法律法规规定用于任何其他用途。
实验操作小课堂
常见问题解答
查看更多
联系我们获取更多批次信息
资源下载

产品介绍

生物活性
产品描述
Anti-Phospho-EIF2S1 (Ser49) Polyclonal Antibody is a Rabbit antibody targeting Phospho-EIF2S1 (Ser49). Anti-Phospho-EIF2S1 (Ser49) Polyclonal Antibody can be used in IF,IHC,WB.
别名Phospho-EIF2S1 (S49), p-EIF2S1 (Ser49), p-EIF2S1 (S49), IF2A_HUMAN, Eukaryotic translation initiation factor 2 subunit 1 alpha 35kDa, EIF2S1 (p-Ser49), EIF2S1 (p-S49), EIF2A, EIF2 alpha, EIF2, EIF 2alpha, EIF 2A, EIF 2 alpha, EIF 2
Ig Type
IgG
交叉反应
Human,Mouse,Rat
验证活性
1. Western blot analysis of extracts from Hela cells untreated or treated with starvation using eIF2a (phospho-Ser49) Antibody TMAC-01264.
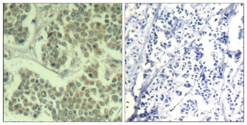
2. Immunohistochemical analysis of paraffin-embedded human breast carcinoma tissue using eIF2α (Phospho-Ser49) Antibody TMAC-01264 (left) or the same antibody preincubated with blocking peptide #51511 (right).
3. Immunofluorescence staining of methanol-fixed Hela cells using eIF2a (phospho-Ser49) Antibody TMAC-01264.
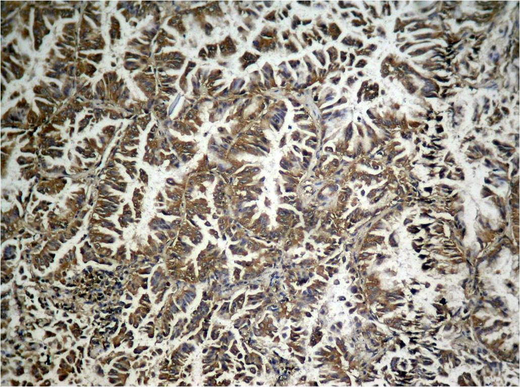
4. Immunohistochemical analysis of paraffin-embedded human lung carcinoma tissue, using eIF2α (Phospho-Ser49) Antibody TMAC-01264.
verifiedActivityverifiedActivityverifiedActivityverifiedActivity
应用IFIHCWB
抗体种类
Polyclonal
宿主来源Rabbit
构建方式Polyclonal Antibody
纯化方式Antibodies were produced by immunizing rabbits with synthetic phosphopeptide and KLH conjugates. Antibodies were purified by affinity-chromatography using epitope-specific phosphopeptide. Non-phospho specific antibodies were removed by chromatogramphy using non-phosphopeptide.
性状Liquid
缓冲液Supplied at 1.0mg/mL in phosphate buffered saline (without Mg2+ and Ca2+), pH 7.4, 150mM NaCl, 0.02% sodium azide and 50% glycerol.
研究背景Functions in the early steps of protein synthesis by forming a ternary complex with GTP and initiator tRNA. This complex binds to a 40S ribosomal subunit, followed by mRNA binding to form a 43S preinitiation complex. Junction of the 60S ribosomal subunit to form the 80S initiation complex is preceded by hydrolysis of the GTP bound to eIF-2 and release of an eIF-2-GDP binary complex. In order for eIF-2 to recycle and catalyze another round of initiation, the GDP bound to eIF-2 must exchange with GTP by way of a reaction catalyzed by eIF-2B.
偶联与修饰
偶联
Unconjugated
其他可选修饰符
Phospho
抗原信息
免疫原
Peptide sequence around phosphorylation site of Serine 49 (L-L-S(p)-E-L) derived from Human eIF2a
抗原种属
human
Uniprot ID
存储&运输
储存方式Store at 2°C-8°C for 1 month. Store at -20°C or -80°C for 12 months. Avoid repeated freeze-thaw cycles.
运输方式Shipping with blue ice.

计算器

  • 稀释 计算器

关键词

评论列表

4个月前
5.0
Rating icon 很棒

评论内容

Related Tags: buy Anti-Phospho-EIF2S1 (Ser49) Polyclonal Antibody | purchase Anti-Phospho-EIF2S1 (Ser49) Polyclonal Antibody | Anti-Phospho-EIF2S1 (Ser49) Polyclonal Antibody cost | order Anti-Phospho-EIF2S1 (Ser49) Polyclonal Antibody