购物车
  • TargetMol
    您的购物车当前为空

Anti-Phospho-EIF2S1 (Ser 52) Polyclonal Antibody

Synonyms: Phospho-EIF2S1 (S52), p-EIF2S1 (Ser52), p-EIF2S1 (S52), IF2A_HUMAN, Eukaryotic translation initiation factor 2 subunit 1 alpha 35kDa, EIF2S1 (p-Ser52), EIF2S1 (p-S52), EIF2A, EIF2 alpha, EIF2, EIF 2alpha, EIF 2A, EIF 2 alpha, EIF 2
货号 TMAC-01262 一键复制产品信息
Rating icon 还可以

Anti-Phospho-EIF2S1 (Ser 52) Polyclonal Antibody 是一种 Rabbit 抗体,靶向 Phospho-EIF2S1 (Ser 52)。Anti-Phospho-EIF2S1 (Ser 52) Polyclonal Antibody 可用于 IF,IHC-P,IP,WB。

Anti-Phospho-EIF2S1 (Ser 52) Polyclonal Antibody

一键复制产品信息
Rating icon 还可以
货号 TMAC-01262

别名 Phospho-EIF2S1 (S52), p-EIF2S1 (Ser52), p-EIF2S1 (S52), IF2A_HUMAN, Eukaryotic translation initiation factor 2 subunit 1 alpha 35kDa, EIF2S1 (p-Ser52), EIF2S1 (p-S52), EIF2A, EIF2 alpha, EIF2, EIF 2alpha, EIF 2A, EIF 2 alpha, EIF 2

Anti-Phospho-EIF2S1 (Ser 52) Polyclonal Antibody 是一种 Rabbit 抗体,靶向 Phospho-EIF2S1 (Ser 52)。Anti-Phospho-EIF2S1 (Ser 52) Polyclonal Antibody 可用于 IF,IHC-P,IP,WB。

Anti-Phospho-EIF2S1 (Ser 52) Polyclonal Antibody
规格价格库存数量
50 μL
¥ 1,485
5日内发货
100 μL
¥ 2,480
5日内发货
库存状态实时更新,以官网显示为准,现货产品可直接加购物车下单
大包装 & 定制
加入购物车

TargetMol的所有产品仅用作科学研究或药证申报,不能被用于人体,我们不向个人提供产品和服务。请您遵守承诺用途,不得违反法律法规规定用于任何其他用途。

实验操作小课堂
常见问题解答
查看更多

资源下载:产品操作手册

产品介绍


生物活性
产品描述
Anti-Phospho-EIF2S1 (Ser 52) Polyclonal Antibody is a Rabbit antibody targeting Phospho-EIF2S1 (Ser 52). Anti-Phospho-EIF2S1 (Ser 52) Polyclonal Antibody can be used in IF,IHC-P,IP,WB.
别名
Phospho-EIF2S1 (S52), p-EIF2S1 (Ser52), p-EIF2S1 (S52), IF2A_HUMAN, Eukaryotic translation initiation factor 2 subunit 1 alpha 35kDa, EIF2S1 (p-Ser52), EIF2S1 (p-S52), EIF2A, EIF2 alpha, EIF2, EIF 2alpha, EIF 2A, EIF 2 alpha, EIF 2
反应种属
Human,Mouse,Rat
验证活性
1. Western blot analysis of eIF2α phosphorylation in untreated (A, C) and lambda protein phosphatase treated (B, D) HEK293 whole cell lysates. Antibodies tested include p-eIF2α (Ser 52)(A, B) and eIF2α(C, D).
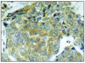
2. Immunoperoxidase staining of formalin-fixed, paraffin-embedded human breast carcinoma tissue showing cytoplasmic staining.
verifiedActivityverifiedActivity
应用IFIHC-PIPWB
推荐剂量
WB: 1:100-1000; IHC-P: 1:50-500; IP: 1-2 μg per 100-500 μg of total protein (1 ml of cell lysate)
抗体种类
Polyclonal
宿主来源Rabbit
构建方式Polyclonal Antibody
纯化方式Immunogen affinity purified
性状Liquid
缓冲液1*TBS (pH7.4), 1%BSA, 40%Glycerol. Preservative: 0.05% Sodium Azide.
研究背景The initiation of protein synthesis in eukaryotic cells is regulated by interactions between protein initiation factors and RNA molecules. The eukaryotic initiation complex is composed of three subunits, designated eIF2, eIF2 and eIF2 (eukaryotic translation initiation factor 2 , and , respectively), all of which work in concert to form a ternary complex with GTP and tRNA in the early stages of protein synthesis. eIF2, also known as EIF2S1 or EIF2, is a 315 amino acid subunit of the eukaryotic initiation complex that functions to bind tRNA to the 40S ribosomal subunit (in a GTP-dependent manner), thereby initiating translation. In addition, the phosphorylation state of eIF2 controls the rate of tRNA translation. When eIF2 is not phosphorylated, translation occurs at a normal rate. However, upon phosphorylation by one of several kinases, eIF2 is stabilized, thus preventing the GDP/GTP exchange reaction and slowing translation.
偶联与修饰
偶联
Unconjugated
其他可选修饰符
Phospho
抗原信息
免疫原
A short amino acid sequence containing phosphorylated Ser 52 of eIF2α of human origin
抗原种属
human
Uniprot ID
化学信息
分子量Theoretical: 36 kDa.
储存&溶解度
储存方式Store at -20°C or -80°C for 12 months. Avoid repeated freeze-thaw cycles.
运输方式Shipping with blue ice.

计算器

  • 稀释 计算器
  • 配液 计算器
Related Tags: buy Anti-Phospho-EIF2S1 (Ser 52) Polyclonal Antibody | purchase Anti-Phospho-EIF2S1 (Ser 52) Polyclonal Antibody | Anti-Phospho-EIF2S1 (Ser 52) Polyclonal Antibody cost | order Anti-Phospho-EIF2S1 (Ser 52) Polyclonal Antibody | Anti-Phospho-EIF2S1 (Ser 52) Polyclonal Antibody molecular weight