购物车
  • TargetMol
    您的购物车当前为空

Anti-Phospho-CDK2 (Tyr15) Antibody (3L907)

Synonyms: p-CDK2 (Y15), p-CDK2 (Tyr15), CDK2 (p-Y15), CDK2 (p-Tyr15)
货号 TMAC-03197 一键复制产品信息
Rating icon 还可以

Anti-Phospho-CDK2 (Tyr15) Antibody (3L907) 是一种 Rabbit 抗体,靶向 Phospho-CDK2 (Tyr15)。Anti-Phospho-CDK2 (Tyr15) Antibody (3L907) 可用于 WB,IHC,IP。

Anti-Phospho-CDK2 (Tyr15) Antibody (3L907)

一键复制产品信息
Rating icon 还可以
货号 TMAC-03197

别名 p-CDK2 (Y15), p-CDK2 (Tyr15), CDK2 (p-Y15), CDK2 (p-Tyr15)

Anti-Phospho-CDK2 (Tyr15) Antibody (3L907) 是一种 Rabbit 抗体,靶向 Phospho-CDK2 (Tyr15)。Anti-Phospho-CDK2 (Tyr15) Antibody (3L907) 可用于 WB,IHC,IP。

Anti-Phospho-CDK2 (Tyr15) Antibody (3L907)
规格价格库存数量
50 μL
¥ 1,480
5日内发货
100 μL
¥ 2,480
5日内发货
库存状态实时更新,以官网显示为准,现货产品可直接加购物车下单
大包装 & 定制
加入购物车

TargetMol的所有产品仅用作科学研究或药证申报,不能被用于人体,我们不向个人提供产品和服务。请您遵守承诺用途,不得违反法律法规规定用于任何其他用途。

实验操作小课堂
常见问题解答
查看更多

资源下载:产品操作手册

产品介绍


生物活性
产品描述
Anti-Phospho-CDK2 (Tyr15) Antibody (3L907) is a Rabbit antibody targeting Phospho-CDK2 (Tyr15). Anti-Phospho-CDK2 (Tyr15) Antibody (3L907) can be used in IHC,IP,WB.
别名
p-CDK2 (Y15), p-CDK2 (Tyr15), CDK2 (p-Y15), CDK2 (p-Tyr15)
Ig Type
IgG
克隆号
3L907
反应种属
Human,Mouse,Rat
验证活性
1. Western blot analysis of Phospho-Cdk2 (Y15) on different lysates using anti-Phospho-Cdk2 (Y15) antibody at 1/1,000 dilution. Positive control: Lane 1: Hela, Lane 2: Mouse spleen, Lane 3: NIH/3T3.
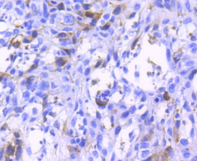
2. Immunohistochemical analysis of paraffin-embedded human breast carcinoma tissue using anti-Phospho-Cdk2 (Y15) antibody. Counter stained with hematoxylin.
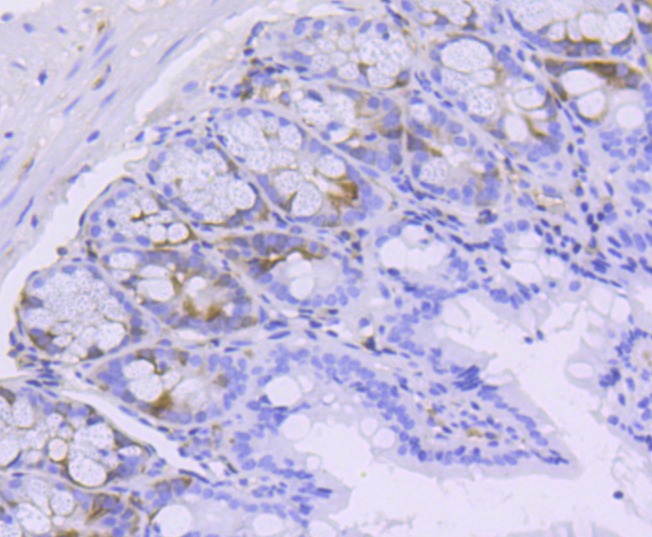
3. Immunohistochemical analysis of paraffin-embedded mouse colon tissue using anti-Phospho-Cdk2 (Y15) antibody. Counter stained with hematoxylin.
verifiedActivityverifiedActivityverifiedActivity
应用IHCIPWB
推荐剂量
WB: 1:1000; IHC: 1:50-200
抗体种类
Monoclonal
宿主来源Rabbit
构建方式Recombinant Antibody
纯化方式ProA affinity purified
性状Liquid
缓冲液1*TBS (pH7.4), 1%BSA, 40%Glycerol. Preservative: 0.05% Sodium Azide.
研究背景In vertebrates, as in yeast, multiple cyclins have been identified, including a total of eight such regulatory proteins in mammals. In contrast to the situation in yeast, the Cdc2 p34 kinase is not the only catalytic subunit identified in vertebrates that can interact with cyclins. While Cdc2 p34 is essential for the G2 to M transition in vertebrate cells, a second Cdc2-related kinase has also been implicated in cell cycle control. This protein, designated cyclin-dependent kinase 2 (Cdk2) p33, also binds to cyclins and its kinase activity is temporally regulated during the cell cycle. Several additional Cdc2 p34-related cyclin dependent kinases have been identified. These include Cdk3-Cdk8, PCTAIRE-1-3 and KKIALRE.
偶联与修饰
偶联
Unconjugated
其他可选修饰符
Phospho
抗原信息
免疫原
A synthesized phosphopeptide: human Cdk2 around the phosphorylation site of Tyr15
抗原种属
human
Uniprot ID
化学信息
分子量Theoretical: 34 kDa.
储存&溶解度
储存方式Store at -20°C or -80°C for 12 months. Avoid repeated freeze-thaw cycles.
运输方式Shipping with blue ice.

计算器

  • 稀释 计算器
  • 配液 计算器
Related Tags: buy Anti-Phospho-CDK2 (Tyr15) Antibody (3L907) | purchase Anti-Phospho-CDK2 (Tyr15) Antibody (3L907) | Anti-Phospho-CDK2 (Tyr15) Antibody (3L907) cost | order Anti-Phospho-CDK2 (Tyr15) Antibody (3L907) | Anti-Phospho-CDK2 (Tyr15) Antibody (3L907) molecular weight