购物车
  • 全部删除
  • TargetMol
    您的购物车当前为空

Anti-Phospho-C-ABL1/2 (Tyr393/439) Polyclonal Antibody

一键复制产品信息
Rating icon 还可以
产品编号 TMAC-00049
别名 p-C-ABL1/2 (Y393/439), p-C-ABL1/2 (Tyr393/439), C-ABL1/2 (p-Y393/439), C-ABL1/2 (p-Tyr393/439)

Anti-Phospho-C-ABL1/2 (Tyr393/439) Polyclonal Antibody 是一种 Rabbit 抗体,靶向 Phospho-C-ABL1/2 (Tyr393/439)。Anti-Phospho-C-ABL1/2 (Tyr393/439) Polyclonal Antibody 可用于 IF,IHC,WB。

Anti-Phospho-C-ABL1/2 (Tyr393/439) Polyclonal Antibody

Anti-Phospho-C-ABL1/2 (Tyr393/439) Polyclonal Antibody

一键复制产品信息
Rating icon 还可以
产品编号 TMAC-00049 别名 p-C-ABL1/2 (Y393/439), p-C-ABL1/2 (Tyr393/439), C-ABL1/2 (p-Y393/439), C-ABL1/2 (p-Tyr393/439)

Anti-Phospho-C-ABL1/2 (Tyr393/439) Polyclonal Antibody 是一种 Rabbit 抗体,靶向 Phospho-C-ABL1/2 (Tyr393/439)。Anti-Phospho-C-ABL1/2 (Tyr393/439) Polyclonal Antibody 可用于 IF,IHC,WB。

规格价格库存数量
50 μL
¥ 1,480
5日内发货
100 μL
¥ 2,240
5日内发货
大包装 & 定制
加入购物车
TargetMol 的所有产品仅用作科学研究或药证申报,不能被用于人体,我们不向个人提供产品和服务。请您遵守承诺用途,不得违反法律法规规定用于任何其他用途。
实验操作小课堂
常见问题解答
查看更多
联系我们获取更多批次信息
资源下载

产品介绍

生物活性
产品描述
Anti-Phospho-C-ABL1/2 (Tyr393/439) Polyclonal Antibody is a Rabbit antibody targeting Phospho-C-ABL1/2 (Tyr393/439). Anti-Phospho-C-ABL1/2 (Tyr393/439) Polyclonal Antibody can be used in IF,IHC,WB.
别名p-C-ABL1/2 (Y393/439), p-C-ABL1/2 (Tyr393/439), C-ABL1/2 (p-Y393/439), C-ABL1/2 (p-Tyr393/439)
Ig Type
IgG
交叉反应
Human,Mouse
验证活性
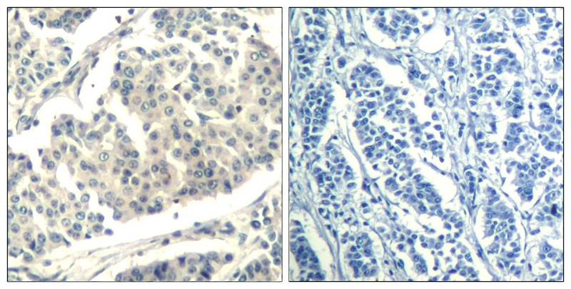
1. Immunohistochemical analysis of paraffin-embedded human breast carcinoma tissue using ABL1/2(Phospho-Tyr393/439) Antibody TMAC-00049(left) or the same antibody preincubated with blocking peptide(right).
2. Immunofluorescence staining of methanol-fixed Hela cells using ABL1/2(phospho-Tyr393/439) Antibody TMAC-00049.
3. Western blot analysis of extracts from HL60 cells using ABL1/2(phospho-Tyr393/439) Antibody TMAC-00049 and the same antibody preincubated with blocking peptide.
verifiedActivityverifiedActivityverifiedActivity
应用IFIHCWB
推荐剂量
WB: 1:500-1000; IHC: 1:50-100; IF: 1:100-200
抗体种类
Polyclonal
宿主来源Rabbit
构建方式Polyclonal Antibody
纯化方式Antibodies were produced by immunizing rabbits with synthetic phosphopeptide and KLH conjugates. Antibodies were purified by affinity-chromatography using epitope-specific phosphopeptide. Non-phospho specific antibodies were removed by chromatogramphy using non-phosphopeptide.
性状Liquid
缓冲液Supplied at 1.0mg/mL in phosphate buffered saline (without Mg2+ and Ca2+), pH 7.4, 150mM NaCl, 0.02% sodium azide and 50% glycerol.
研究背景Regulates cytoskeleton remodeling during cell differentiation, cell division and cell adhesion. Localizes to dynamic actin structures, and phosphorylates CRK and CRKL, DOK1, and other proteins controlling cytoskeleton dynamics. Regulates DNA repair potentially by activating the proapoptotic pathway when the DNA damage is too severe to be repaired. Phosphorylates PSMA7 that leads to an inhibition of proteasomal activity and cell cycle transition blocks.
偶联与修饰
偶联
Unconjugated
其他可选修饰符
Phospho
抗原信息
免疫原
Peptide sequence around phosphorylation site of tyrosine 393/439 (D-T-Y(p)-T-A) derived from Human ABL1/2
抗原种属
human
Uniprot ID
存储&运输
储存方式Store at 2°C-8°C for 1 month. Store at -20°C or -80°C for 12 months. Avoid repeated freeze-thaw cycles.
运输方式Shipping with blue ice.

计算器

  • 稀释 计算器

关键词

评论列表

4个月前
5.0
Rating icon 很棒

评论内容

Related Tags: buy Anti-Phospho-C-ABL1/2 (Tyr393/439) Polyclonal Antibody | purchase Anti-Phospho-C-ABL1/2 (Tyr393/439) Polyclonal Antibody | Anti-Phospho-C-ABL1/2 (Tyr393/439) Polyclonal Antibody cost | order Anti-Phospho-C-ABL1/2 (Tyr393/439) Polyclonal Antibody