购物车
  • TargetMol
    您的购物车当前为空

Anti-Phospho-C-ABL/ABL1 (Tyr412) Polyclonal Antibody

Synonyms: p-C-ABL/ABL1 (Y412), p-C-ABL/ABL1 (Tyr412), C-ABL/ABL1 (p-Y412), C-ABL/ABL1 (p-Tyr412)
货号 TMAC-00514 一键复制产品信息
Rating icon 还可以

Anti-Phospho-C-ABL/ABL1 (Tyr412) Polyclonal Antibody 是一种 Rabbit 抗体,靶向 Phospho-C-ABL/ABL1 (Tyr412)。Anti-Phospho-C-ABL/ABL1 (Tyr412) Polyclonal Antibody 可用于 IF,IHC。

Anti-Phospho-C-ABL/ABL1 (Tyr412) Polyclonal Antibody

一键复制产品信息
Rating icon 还可以
货号 TMAC-00514

别名 p-C-ABL/ABL1 (Y412), p-C-ABL/ABL1 (Tyr412), C-ABL/ABL1 (p-Y412), C-ABL/ABL1 (p-Tyr412)

Anti-Phospho-C-ABL/ABL1 (Tyr412) Polyclonal Antibody 是一种 Rabbit 抗体,靶向 Phospho-C-ABL/ABL1 (Tyr412)。Anti-Phospho-C-ABL/ABL1 (Tyr412) Polyclonal Antibody 可用于 IF,IHC。

Anti-Phospho-C-ABL/ABL1 (Tyr412) Polyclonal Antibody
规格价格库存数量
50 μL
¥ 1,485
5日内发货
100 μL
¥ 2,235
5日内发货
库存状态实时更新,以官网显示为准,现货产品可直接加购物车下单
大包装 & 定制
加入购物车

TargetMol的所有产品仅用作科学研究或药证申报,不能被用于人体,我们不向个人提供产品和服务。请您遵守承诺用途,不得违反法律法规规定用于任何其他用途。

实验操作小课堂
常见问题解答
查看更多

资源下载:产品操作手册

产品介绍


生物活性
产品描述
Anti-Phospho-C-ABL/ABL1 (Tyr412) Polyclonal Antibody is a Rabbit antibody targeting Phospho-C-ABL/ABL1 (Tyr412). Anti-Phospho-C-ABL/ABL1 (Tyr412) Polyclonal Antibody can be used in IF,IHC.
别名
p-C-ABL/ABL1 (Y412), p-C-ABL/ABL1 (Tyr412), C-ABL/ABL1 (p-Y412), C-ABL/ABL1 (p-Tyr412)
Ig Type
IgG
反应种属
Human,Mouse,Rat
验证活性
1. Immunofluorescence staining of methanol-fixed HeLa cells using c-Abl (phospho-Tyr412) antibody (TMAC-00514, Red).
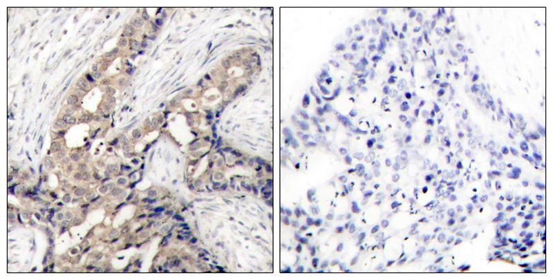
2. Immunohistochemical analysis of paraffin-embedded human breast carcinoma tissue using c-Abl (phospho-Tyr412) antibody (TMAC-00514).
verifiedActivityverifiedActivity
应用IFIHC
推荐剂量
IHC: 1:50-100; IF: 1:100-200
抗体种类
Polyclonal
宿主来源Rabbit
构建方式Polyclonal Antibody
性状Liquid
偶联与修饰
偶联
Unconjugated
其他可选修饰符
Phospho
抗原信息
Uniprot ID
化学信息
分子量Theoretical: 122 kDa.
储存&溶解度
运输方式Shipping with blue ice.

计算器

  • 稀释 计算器
  • 配液 计算器
Related Tags: buy Anti-Phospho-C-ABL/ABL1 (Tyr412) Polyclonal Antibody | purchase Anti-Phospho-C-ABL/ABL1 (Tyr412) Polyclonal Antibody | Anti-Phospho-C-ABL/ABL1 (Tyr412) Polyclonal Antibody cost | order Anti-Phospho-C-ABL/ABL1 (Tyr412) Polyclonal Antibody | Anti-Phospho-C-ABL/ABL1 (Tyr412) Polyclonal Antibody molecular weight