购物车
  • 全部删除
  • TargetMol
    您的购物车当前为空

Anti-Phospho-BLNK (Tyr84) Polyclonal Antibody

一键复制产品信息
Rating icon 还可以
产品编号 TMAC-00448
别名 p-BLNK (Y84), p-BLNK (Tyr84), BLNK (p-Y84), BLNK (p-Tyr84)

Anti-Phospho-BLNK (Tyr84) Polyclonal Antibody 是一种 Rabbit 抗体,靶向 Phospho-BLNK (Tyr84)。Anti-Phospho-BLNK (Tyr84) Polyclonal Antibody 可用于 IHC,WB。

Anti-Phospho-BLNK (Tyr84) Polyclonal Antibody

Anti-Phospho-BLNK (Tyr84) Polyclonal Antibody

一键复制产品信息
Rating icon 还可以
产品编号 TMAC-00448 别名 p-BLNK (Y84), p-BLNK (Tyr84), BLNK (p-Y84), BLNK (p-Tyr84)

Anti-Phospho-BLNK (Tyr84) Polyclonal Antibody 是一种 Rabbit 抗体,靶向 Phospho-BLNK (Tyr84)。Anti-Phospho-BLNK (Tyr84) Polyclonal Antibody 可用于 IHC,WB。

规格价格库存数量
50 μL
¥ 1,490
5日内发货
100 μL
¥ 2,240
5日内发货
大包装 & 定制
加入购物车
TargetMol 的所有产品仅用作科学研究或药证申报,不能被用于人体,我们不向个人提供产品和服务。请您遵守承诺用途,不得违反法律法规规定用于任何其他用途。
实验操作小课堂
常见问题解答
查看更多
联系我们获取更多批次信息
资源下载

产品介绍

生物活性
产品描述
Anti-Phospho-BLNK (Tyr84) Polyclonal Antibody is a Rabbit antibody targeting Phospho-BLNK (Tyr84). Anti-Phospho-BLNK (Tyr84) Polyclonal Antibody can be used in IHC,WB.
别名p-BLNK (Y84), p-BLNK (Tyr84), BLNK (p-Y84), BLNK (p-Tyr84)
Ig Type
IgG
交叉反应
Human,Mouse,Rat
验证活性
1. Western blot analysis of extracts from K562 cells, treated with starved (24hours), using BLNK (Phospho-Tyr84) antibody TMAC-00448. The lane on the right is treated with the synthesized peptide.
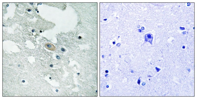
2. Immunohistochemistry analysis of paraffin-embedded human brain tissue using BLNK (Phospho-Tyr84) antibody TMAC-00448. The picture on the right is treated with the synthesized peptide.
verifiedActivityverifiedActivity
应用IHCWB
推荐剂量
WB: 1:500-3000; IHC: 1:50-100
抗体种类
Polyclonal
宿主来源Rabbit
构建方式Polyclonal Antibody
纯化方式Antibodies were produced by immunizing rabbits with synthetic phosphopeptide and KLH conjugates. Antibodies were purified by affinity-chromatography using epitope-specific phosphopeptide. Non-phospho specific antibodies were removed by chromatogramphy using non-phosphopeptide.
性状Liquid
缓冲液Rabbit IgG in phosphate buffered saline (without Mg2+ and Ca2+), pH 7.4, 150mM NaCl, 0.02% sodium azide and 50% glycerol.
研究背景Functions as a central linker protein, downstream of the B-cell receptor (BCR), bridging the SYK kinase to a multitude of signaling pathways and regulating biological outcomes of B-cell function and development. Plays a role in the activation of ERK/EPHB2, MAP kinase p38 and JNK. Modulates AP1 activation. Important for the activation of NF-kappa-B and NFAT. Plays an important role in BCR-mediated PLCG1 and PLCG2 activation and Ca2+ mobilization and is required for trafficking of the BCR to late endosomes. However, does not seem to be required for pre-BCR-mediated activation of MAP kinase and phosphatidyl-inositol 3 (PI3) kinase signaling. May be required for the RAC1-JNK pathway. Plays a critical role in orchestrating the pro-B cell to pre-B cell transition. May play an important role in BCR-induced B-cell apoptosis.
偶联与修饰
偶联
Unconjugated
其他可选修饰符
Phospho
抗原信息
免疫原
Peptide sequence around phosphorylation site of tyrosine 84 (E-M-Y(p)-V-M) derived from Human BLNK
抗原种属
human
Uniprot ID
化学信息
分子量Actual: 65 kDa.
存储&运输
储存方式Store at -20°C or -80°C for 12 months. Avoid repeated freeze-thaw cycles.
运输方式Shipping with blue ice.

计算器

  • 稀释 计算器

关键词

评论列表

4个月前
5.0
Rating icon 很棒

评论内容

Related Tags: buy Anti-Phospho-BLNK (Tyr84) Polyclonal Antibody | purchase Anti-Phospho-BLNK (Tyr84) Polyclonal Antibody | Anti-Phospho-BLNK (Tyr84) Polyclonal Antibody cost | order Anti-Phospho-BLNK (Tyr84) Polyclonal Antibody | Anti-Phospho-BLNK (Tyr84) Polyclonal Antibody molecular weight