购物车
  • TargetMol
    您的购物车当前为空

Anti-Phospho-ATF2 (Thr71 or 53) Polyclonal Antibody

Synonyms: p-ATF2 (Thr71 or 53), p-ATF2 (T71 or 53), ATF2 (p-Thr71 or 53), ATF2 (p-T71 or 53)
货号 TMAC-00310 一键复制产品信息
Rating icon 还可以

Anti-Phospho-ATF2 (Thr71 or 53) Polyclonal Antibody 是一种 Rabbit 抗体,靶向 Phospho-ATF2 (Thr71 or 53)。Anti-Phospho-ATF2 (Thr71 or 53) Polyclonal Antibody 可用于 IHC,WB。

Anti-Phospho-ATF2 (Thr71 or 53) Polyclonal Antibody

一键复制产品信息
Rating icon 还可以
货号 TMAC-00310

别名 p-ATF2 (Thr71 or 53), p-ATF2 (T71 or 53), ATF2 (p-Thr71 or 53), ATF2 (p-T71 or 53)

Anti-Phospho-ATF2 (Thr71 or 53) Polyclonal Antibody 是一种 Rabbit 抗体,靶向 Phospho-ATF2 (Thr71 or 53)。Anti-Phospho-ATF2 (Thr71 or 53) Polyclonal Antibody 可用于 IHC,WB。

Anti-Phospho-ATF2 (Thr71 or 53) Polyclonal Antibody
规格价格库存数量
50 μL
¥ 1,480
5日内发货
100 μL
¥ 2,230
5日内发货
库存状态实时更新,以官网显示为准,现货产品可直接加购物车下单
大包装 & 定制
加入购物车

TargetMol的所有产品仅用作科学研究或药证申报,不能被用于人体,我们不向个人提供产品和服务。请您遵守承诺用途,不得违反法律法规规定用于任何其他用途。

实验操作小课堂
常见问题解答
查看更多

资源下载:产品操作手册

产品介绍


生物活性
产品描述
Anti-Phospho-ATF2 (Thr71 or 53) Polyclonal Antibody is a Rabbit antibody targeting Phospho-ATF2 (Thr71 or 53). Anti-Phospho-ATF2 (Thr71 or 53) Polyclonal Antibody can be used in IHC,WB.
别名
p-ATF2 (Thr71 or 53), p-ATF2 (T71 or 53), ATF2 (p-Thr71 or 53), ATF2 (p-T71 or 53)
Ig Type
IgG
反应种属
Human,Mouse,Rat
验证活性
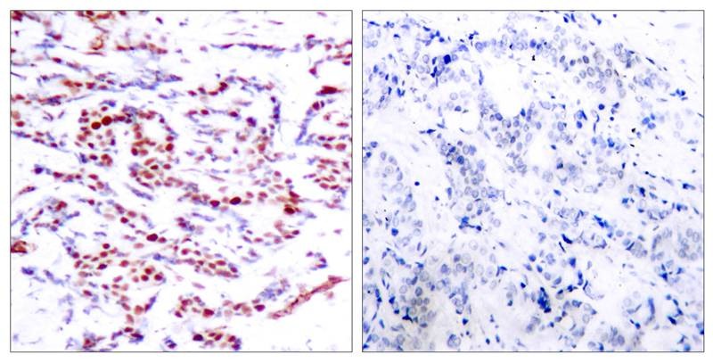
1. Immunohistochemical analysis of paraffin-embedded human breast carcinoma tissue using ATF2 (Phospho-Thr71 or 53) Antibody TMAC-00310 (left) or the same antibody preincubated with blocking peptide (right).
2. Western blot analysis of extracts from HUVEC cells untreated or treated with Anisomycin using ATF2 (Phospho-Thr71 or 53) Antibody TMAC-00310.
verifiedActivityverifiedActivity
应用IHCWB
抗体种类
Polyclonal
宿主来源Rabbit
构建方式Polyclonal Antibody
纯化方式Antibodies were produced by immunizing rabbits with synthetic phosphopeptide and KLH conjugates. Antibodies were purified by affinity-chromatography using epitope-specific phosphopeptide. Non-phospho specific antibodies were removed by chromatogramphy using non-phosphopeptide.
性状Liquid
缓冲液Supplied at 1.0mg/mL in phosphate buffered saline (without Mg2+ and Ca2+), pH 7.4, 150mM NaCl, 0.02% sodium azide and 50% glycerol.
研究背景Transcriptional activator, probably constitutive, which binds to the cAMP-responsive element (CRE) (consensus: 5'-GTGACGT[AC][AG]-3'), a sequence present in many viral and cellular promoters. Interaction with JUN redirects JUN to bind to CRES preferentially over the 12-O-tetradecanoylphorbol-13-acetate response elements (TRES) as part of an ATF2-c-Jun complex.
偶联与修饰
偶联
Unconjugated
其他可选修饰符
Phospho
抗原信息
免疫原
Peptide sequence around phosphorylation site of threonine 71 or 53 (T-P-T(p)-P-T) derived from Human ATF2
抗原种属
human
Uniprot ID
储存&溶解度
储存方式Store at 2°C-8°C for 1 month. Store at -20°C or -80°C for 12 months. Avoid repeated freeze-thaw cycles.
运输方式Shipping with blue ice.

计算器

  • 稀释 计算器
  • 配液 计算器
Related Tags: buy Anti-Phospho-ATF2 (Thr71 or 53) Polyclonal Antibody | purchase Anti-Phospho-ATF2 (Thr71 or 53) Polyclonal Antibody | Anti-Phospho-ATF2 (Thr71 or 53) Polyclonal Antibody cost | order Anti-Phospho-ATF2 (Thr71 or 53) Polyclonal Antibody