购物车
  • 全部删除
  • TargetMol
    您的购物车当前为空

Anti-PD-L1 Antibody (8A865)

一键复制产品信息
Rating icon 还可以
产品编号 TMAC-03141
别名 Programmed cell death 1 ligand 1, CD274, B7 homolog 1

Anti-PD-L1 Antibody (8A865) 是一种 Rabbit 抗体,靶向 PD-L1。Anti-PD-L1 Antibody (8A865) 可用于 IHC,WB。

Anti-PD-L1 Antibody (8A865)

Anti-PD-L1 Antibody (8A865)

一键复制产品信息
Rating icon 还可以
产品编号 TMAC-03141 别名 Programmed cell death 1 ligand 1, CD274, B7 homolog 1

Anti-PD-L1 Antibody (8A865) 是一种 Rabbit 抗体,靶向 PD-L1。Anti-PD-L1 Antibody (8A865) 可用于 IHC,WB。

规格价格库存数量
50 μL
¥ 1,495
5日内发货
100 μL
¥ 2,490
5日内发货
大包装 & 定制
加入购物车
TargetMol 的所有产品仅用作科学研究或药证申报,不能被用于人体,我们不向个人提供产品和服务。请您遵守承诺用途,不得违反法律法规规定用于任何其他用途。
实验操作小课堂
常见问题解答
查看更多
联系我们获取更多批次信息
资源下载

产品介绍

生物活性
产品描述
Anti-PD-L1 Antibody (8A865) is a Rabbit antibody targeting PD-L1. Anti-PD-L1 Antibody (8A865) can be used in IHC,WB.
别名Programmed cell death 1 ligand 1, CD274, B7 homolog 1
Ig Type
IgG
克隆号
8A865
交叉反应
Human,Mouse,Rat
验证活性
1. Western blot analysis of PD-L1 on mouse heart lysates using anti-PD-L1 antibody at 1/1,000 dilution.
2. Immunohistochemical analysis of paraffin-embedded human tonsil tissue using anti-PD-L1 antibody. Counter stained with hematoxylin.
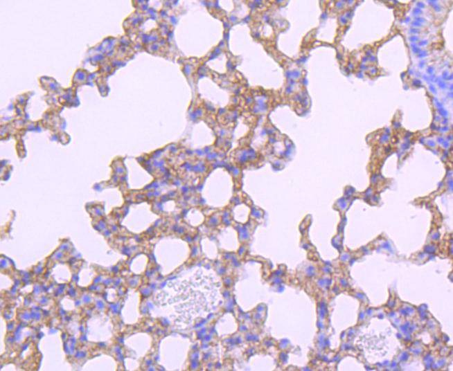
3. Immunohistochemical analysis of paraffin-embedded mouse lung tissue using anti-PD-L1 antibody. Counter stained with hematoxylin.
verifiedActivityverifiedActivityverifiedActivity
应用IHCWB
推荐剂量
WB: 1:1000; IHC: 1:50-200
抗体种类
Monoclonal
宿主来源Rabbit
构建方式Recombinant Antibody
纯化方式ProA affinity purified
性状Liquid
缓冲液1*TBS (pH7.4), 1%BSA, 40%Glycerol. Preservative: 0.05% Sodium Azide.
研究背景Engagement of CD28 by B7-1 (CD80) or B7-2 (CD86) in the presence of antigen promotes T cell proliferation, cytokine production, differentiation of effector T cells, and the induction of Bcl-x, a promoter of T cell survival. Conversely, engagement of CTLA4 by B7-1 or B7-2 may inhibit proliferation and IL-2 production. Pdcd-1L1 (programmed cell death ligand-1), also known as B7-H1 or PD-L1, is 290 amino acid type I transmembrane protein which is 20% and 15% identical to B7-1 and B7-2, respectively. Pdcd-1L2 has immunoglobulin V-like and C-like domains and a 30 amino acid cytoplasmic tail. It does not bind CD28, cytotoxic T-lymphocyte A4 or ICOS (inducible co-stimulator). IL-2, although produced in small amounts, is required for the effect of Pdcd-1L1 co-stimulation. The gene which encodes Pdcd-1L1 maps to human chromosome 9p24. Pdcd-1L2 (programmed cell death ligand-2) is a 73 amino acid protein which contains a signal sequence, IgV- and IgC-like domains, a transmembrane region and a cytoplasmic region. The gene which encodes Pdcd-1L2 maps to human chromosome 9p24.2. The constitutive expression of Pdcd-1L1 and Pdcd-1L2 on paren-chymal cells of heart, lung and kidney suggests that the Pdcd-1-Pdcd-L system could provide unique negative signaling to help prevent autoimmune disease.
偶联与修饰
偶联
Unconjugated
抗原信息
免疫原
Recombinant Protein
Uniprot ID
化学信息
分子量Theoretical: 33 kDa.
存储&运输
储存方式Store at -20°C or -80°C for 12 months. Avoid repeated freeze-thaw cycles.
运输方式Shipping with blue ice.

计算器

  • 稀释 计算器

评论列表

4个月前
5.0
Rating icon 很棒

评论内容

Related Tags: buy Anti-PD-L1 Antibody (8A865) | purchase Anti-PD-L1 Antibody (8A865) | Anti-PD-L1 Antibody (8A865) cost | order Anti-PD-L1 Antibody (8A865) | Anti-PD-L1 Antibody (8A865) molecular weight