购物车
  • 全部删除
  • TargetMol
    您的购物车当前为空

Anti-PCNA Antibody (5V918)

一键复制产品信息
Rating icon 还可以
产品编号 TMAC-03100
别名 proliferating cell nuclear antigen, ATLD2

Anti-PCNA Antibody (5V918) 是一种 Mouse 抗体,靶向 PCNA。Anti-PCNA Antibody (5V918) 可用于 IHC,WB。

Anti-PCNA Antibody (5V918)

Anti-PCNA Antibody (5V918)

一键复制产品信息
Rating icon 还可以
产品编号 TMAC-03100 别名 proliferating cell nuclear antigen, ATLD2

Anti-PCNA Antibody (5V918) 是一种 Mouse 抗体,靶向 PCNA。Anti-PCNA Antibody (5V918) 可用于 IHC,WB。

规格价格库存数量
50 μL
¥ 790
5日内发货
100 μL
¥ 1,195
5日内发货
大包装 & 定制
加入购物车
TargetMol 的所有产品仅用作科学研究或药证申报,不能被用于人体,我们不向个人提供产品和服务。请您遵守承诺用途,不得违反法律法规规定用于任何其他用途。
实验操作小课堂
常见问题解答
查看更多
联系我们获取更多批次信息
资源下载

产品介绍

生物活性
产品描述
Anti-PCNA Antibody (5V918) is a Mouse antibody targeting PCNA. Anti-PCNA Antibody (5V918) can be used in IHC,WB.
别名proliferating cell nuclear antigen, ATLD2
克隆号
5V918
交叉反应
Human,Mouse
验证活性
1. Western blot analysis of Hela (lane 1), Rat brain (lane 2), NIH 3T3 (lane 3), 293T (lane 4), using TMAC-03100 diluted at 1:5000.
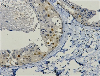
2. IHC staining of paraffin- embedded Human breast cancer tissue with PCNA mouse mAb diluted at 1:200.
verifiedActivityverifiedActivity
应用IHCWB
推荐剂量
WB: 1:5000; IHC: 1:200
抗体种类
Monoclonal
宿主来源Mouse
构建方式Hybridoma Monoclonal Antibody
纯化方式Affinity purification using immunogen.
性状Liquid
缓冲液Mouse IgG1 in phosphate buffered saline (without Mg2+ and Ca2+), pH 7.4, 150mM NaCl, 0.02% sodium azide and 50% glycerol.
研究背景PCNA is a marker for cells in early G1 phase and S phase of the cell cycle. It is found in the nucleus and is a cofactor of DNA polymerase delta. PCNA acts as a homotrimer and helps increase the processivity of leading strand synthesis during DNA replication. In response to DNA damage, PCNA is ubiquitinated and is involved in the RAD6 dependent DNA repair pathway. Two transcript variants encoding the same protein have been found for PCNA. Pseudogenes of this gene have been described on chromosome 4 and on the X chromosome.
偶联与修饰
偶联
Unconjugated
抗原信息
Uniprot ID
化学信息
分子量Actual: 36 kDa.
存储&运输
储存方式Store at -20°C or -80°C for 12 months. Avoid repeated freeze-thaw cycles.
运输方式Shipping with blue ice.

计算器

  • 稀释 计算器

关键词

评论列表

4个月前
5.0
Rating icon 很棒

评论内容

Related Tags: buy Anti-PCNA Antibody (5V918) | purchase Anti-PCNA Antibody (5V918) | Anti-PCNA Antibody (5V918) cost | order Anti-PCNA Antibody (5V918) | Anti-PCNA Antibody (5V918) molecular weight