购物车
  • TargetMol
    您的购物车当前为空

Anti-PBK/TOPK Antibody (6C84)

Synonyms: TOPK, SPK, PDZ binding kinase, Nori-3, HEL164, CT84
货号 TMAC-03090 一键复制产品信息
Rating icon 还可以

Anti-PBK/TOPK Antibody (6C84) 是一种 Mouse 抗体,靶向 PBK/TOPK。Anti-PBK/TOPK Antibody (6C84) 可用于 FCM,ICC,IHC,WB。

Anti-PBK/TOPK Antibody (6C84)

一键复制产品信息
Rating icon 还可以
货号 TMAC-03090

别名 TOPK, SPK, PDZ binding kinase, Nori-3, HEL164, CT84

Anti-PBK/TOPK Antibody (6C84) 是一种 Mouse 抗体,靶向 PBK/TOPK。Anti-PBK/TOPK Antibody (6C84) 可用于 FCM,ICC,IHC,WB。

Anti-PBK/TOPK Antibody (6C84)
规格价格库存数量
50 μL
¥ 1,985
5日内发货
100 μL
¥ 2,980
5日内发货
库存状态实时更新,以官网显示为准,现货产品可直接加购物车下单
大包装 & 定制
加入购物车

TargetMol的所有产品仅用作科学研究或药证申报,不能被用于人体,我们不向个人提供产品和服务。请您遵守承诺用途,不得违反法律法规规定用于任何其他用途。

实验操作小课堂
常见问题解答
查看更多

资源下载:产品操作手册

产品介绍


生物活性
产品描述
Anti-PBK/TOPK Antibody (6C84) is a Mouse antibody targeting PBK/TOPK. Anti-PBK/TOPK Antibody (6C84) can be used in FCM,ICC,IHC,WB.
别名
TOPK, SPK, PDZ binding kinase, Nori-3, HEL164, CT84
克隆号
6C84
反应种属
Human
验证活性
1. Western blot analysis of PBK on human PBK recombinant protein using anti-PBK antibody at 1/1,000 dilution.
2. Western blot analysis of PBK on A431 cell lysate using anti-PBK antibody at 1/1,000 dilution.
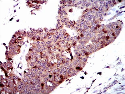
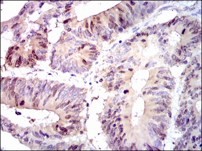
3. Immunohistochemical analysis of paraffin-embedded human ovarian cancer tissue using anti-PBK antibody. Counter stained with hematoxylin.
4. Immunohistochemical analysis of paraffin-embedded human colon cancer tissue using anti-PBK antibody. Counter stained with hematoxylin.
5. ICC staining PBK (green) and actin filaments (red) in Hela cells. The nuclear counter stain is DAPI (blue). Cells were fixed in paraformaldehyde, permeabilised with 0.25% Triton X100/PBS.
6. Flow cytometric analysis of Hela cells with PBK antibody at 1/100 dilution (green) compared with an unlabelled control (cells without incubation with primary antibody; red).
verifiedActivityverifiedActivityverifiedActivityverifiedActivityverifiedActivityverifiedActivity
应用FCMICCIHCWB
推荐剂量
WB: 1:500; IHC: 1:100-500; ICC: 1:100-500; FCM: 1:100-200
抗体种类
Monoclonal
宿主来源Mouse
构建方式Hybridoma Monoclonal Antibody
纯化方式ProA affinity purified
性状Liquid
缓冲液1*TBS (pH7.4), 1%BSA, Preservative: 0.05% Sodium Azide.
研究背景Protein kinases comprise a large group of encoded factors that regulate cellular processes by catalyzing the transfer of a phosphate group to a hydroxyl acceptor in serine, threonine or tyrosine residues. Kinases are capable of influencing the oncogenic potential of cell sytems at the level of oncoprotein or tumor suppressor protein phosphorylation states. Human PDZ-binding kinase, known as PBK, is a 322 amino acid, T/SXV motif-containing serine/threonine kinase that is abuntant in placenta and absent from adult brain tissue. A PDZ domain in the tumor suppressor protein Dlg can coordinate with the T/SXV motif of PBK. The cell cycle checkpoint kinase Cdc2/cyclin B is an upstream effector of PBK that can phosphorylate and activate PBK. Active PBK may associate with PDZ-containing proteins and influence cell cycle control or cellular proliferation.
偶联与修饰
偶联
Unconjugated
抗原信息
免疫原
Recombinant Protein
Uniprot ID
化学信息
分子量Theoretical: 36 kDa.
储存&溶解度
储存方式Store at -20°C or -80°C for 12 months. Avoid repeated freeze-thaw cycles.
运输方式Shipping with blue ice.

计算器

  • 稀释 计算器
  • 配液 计算器
Related Tags: buy Anti-PBK/TOPK Antibody (6C84) | purchase Anti-PBK/TOPK Antibody (6C84) | Anti-PBK/TOPK Antibody (6C84) cost | order Anti-PBK/TOPK Antibody (6C84) | Anti-PBK/TOPK Antibody (6C84) molecular weight