购物车
  • 全部删除
  • TargetMol
    您的购物车当前为空

Anti-p67phox Antibody (9W409)

一键复制产品信息
Rating icon 还可以
产品编号 TMAC-02880
别名 P67-PHOX, P67PHOX, NOXA2, neutrophil cytosolic factor 2, NCF-2

Anti-p67phox Antibody (9W409) 是一种 Rabbit 抗体,靶向 p67phox。Anti-p67phox Antibody (9W409) 可用于 IHC,IP,WB。

Anti-p67phox Antibody (9W409)

Anti-p67phox Antibody (9W409)

一键复制产品信息
Rating icon 还可以
产品编号 TMAC-02880 别名 P67-PHOX, P67PHOX, NOXA2, neutrophil cytosolic factor 2, NCF-2

Anti-p67phox Antibody (9W409) 是一种 Rabbit 抗体,靶向 p67phox。Anti-p67phox Antibody (9W409) 可用于 IHC,IP,WB。

规格价格库存数量
50 μL
¥ 1,490
5日内发货
100 μL
¥ 2,480
5日内发货
大包装 & 定制
加入购物车
TargetMol 的所有产品仅用作科学研究或药证申报,不能被用于人体,我们不向个人提供产品和服务。请您遵守承诺用途,不得违反法律法规规定用于任何其他用途。
实验操作小课堂
常见问题解答
查看更多
联系我们获取更多批次信息
资源下载

产品介绍

生物活性
产品描述
Anti-p67phox Antibody (9W409) is a Rabbit antibody targeting p67phox. Anti-p67phox Antibody (9W409) can be used in IHC,IP,WB.
别名P67-PHOX, P67PHOX, NOXA2, neutrophil cytosolic factor 2, NCF-2
Ig Type
IgG
克隆号
9W409
交叉反应
Human,Mouse,Rat
验证活性
1. Western blot analysis of NOXA2 on rat spleen tissue lysate using anti-NOXA2 antibody at 1/500 dilution.
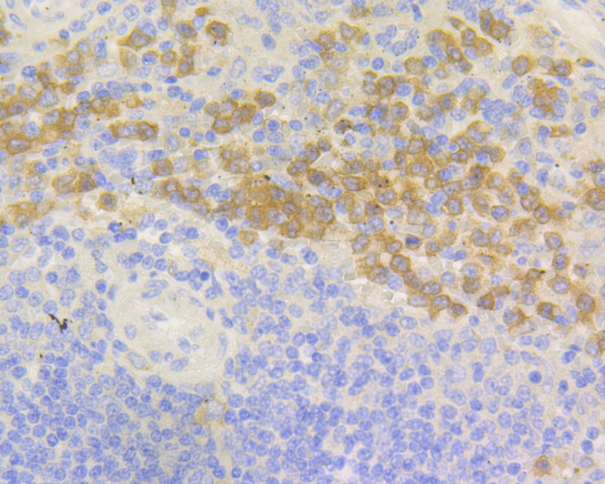
2. Immunohistochemical analysis of paraffin-embedded rat spleen tissue using anti-NOXA2 antibody. Counter stained with hematoxylin.
3. Immunohistochemical analysis of paraffin-embedded human spleen tissue using anti-NOXA2 antibody. Counter stained with hematoxylin.
4. Immunohistochemical analysis of paraffin-embedded mouse spleen tissue using anti-NOXA2 antibody. Counter stained with hematoxylin.
verifiedActivityverifiedActivityverifiedActivityverifiedActivity
应用IHCIPWB
推荐剂量
WB: 1:500; IHC: 1:50-200; IP: 1:10-50
抗体种类
Monoclonal
宿主来源Rabbit
构建方式Recombinant Antibody
纯化方式ProA affinity purified
性状Liquid
缓冲液1*TBS (pH7.4), 1%BSA, 40%Glycerol. Preservative: 0.05% Sodium Azide.
研究背景The heredity disease chronic granulomatous disease (CGF) has been linked to mutations in p47phox and p67phox. The cytosolic proteins p47phox and p67phox, also designated neutrophil cytosol factor 1(NCF1) and NCF2, respectively, are required for activation of the superoxide-producing NADPH oxidase in neutrophils and other phagocytic cells. During activation of the NADPH oxidase, p47phox and p67phox migrate to the plasma membrane where they associate with cytochrome b558 and the small G protein Rac to form the functional enzyme complex. Both p47phox and p67phox contain two Src homology 3 (SH3) domains. The C-terminal SH3 domain of p67phox has been shown to interact with the proline rich domain of p47phox, suggesting that p47phox may faciliate the transport of p67phox to the membrane.
偶联与修饰
偶联
Unconjugated
抗原信息
免疫原
Recombinant Protein: Human NOXA2 aa 150-300
抗原种属
human
Uniprot ID
化学信息
分子量Theoretical: 60/47 kDa.
存储&运输
储存方式Store at -20°C or -80°C for 12 months. Avoid repeated freeze-thaw cycles.
运输方式Shipping with blue ice.

计算器

  • 稀释 计算器

关键词

评论列表

4个月前
5.0
Rating icon 很棒

评论内容

Related Tags: buy Anti-p67phox Antibody (9W409) | purchase Anti-p67phox Antibody (9W409) | Anti-p67phox Antibody (9W409) cost | order Anti-p67phox Antibody (9W409) | Anti-p67phox Antibody (9W409) molecular weight