购物车
  • 全部删除
  • TargetMol
    您的购物车当前为空

Anti-Osteoactivin/GPNMB Antibody (4G206)

一键复制产品信息
Rating icon 还可以
产品编号 TMAC-01701
别名 Osteoactivin, NMB, HGFIN, glycoprotein (transmembrane) nmb

Anti-Osteoactivin/GPNMB Antibody (4G206) 是一种 Mouse 抗体,靶向 Osteoactivin/GPNMB。Anti-Osteoactivin/GPNMB Antibody (4G206) 可用于 IHC,WB。

Anti-Osteoactivin/GPNMB Antibody (4G206)

Anti-Osteoactivin/GPNMB Antibody (4G206)

一键复制产品信息
Rating icon 还可以
产品编号 TMAC-01701 别名 Osteoactivin, NMB, HGFIN, glycoprotein (transmembrane) nmb

Anti-Osteoactivin/GPNMB Antibody (4G206) 是一种 Mouse 抗体,靶向 Osteoactivin/GPNMB。Anti-Osteoactivin/GPNMB Antibody (4G206) 可用于 IHC,WB。

规格价格库存数量
50 μL
¥ 1,995
5日内发货
100 μL
¥ 2,990
5日内发货
大包装 & 定制
加入购物车
TargetMol 的所有产品仅用作科学研究或药证申报,不能被用于人体,我们不向个人提供产品和服务。请您遵守承诺用途,不得违反法律法规规定用于任何其他用途。
实验操作小课堂
常见问题解答
查看更多
联系我们获取更多批次信息
资源下载

产品介绍

生物活性
产品描述
Anti-Osteoactivin/GPNMB Antibody (4G206) is a Mouse antibody targeting Osteoactivin/GPNMB. Anti-Osteoactivin/GPNMB Antibody (4G206) can be used in IHC,WB.
别名Osteoactivin, NMB, HGFIN, glycoprotein (transmembrane) nmb
克隆号
4G206
交叉反应
Human
验证活性
1. Western blot analysis of GPNMB on human GPNMB recombinant protein using anti-GPNMB antibody at 1/1,000 dilution.
2. Western blot analysis of GPNMB on HEK293 (1) and GPNMB-hIgGFc transfected HEK293 (2) cell lysate using anti-GPNMB antibody at 1/1,000 dilution.
3. Western blot analysis of GPNMB on PANC-1 and PC-3 cell lysate using anti-GPNMB antibody at 1/1,000 dilution.
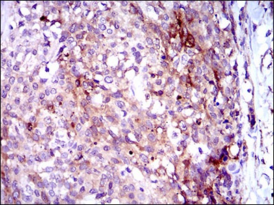
4. Immunohistochemical analysis of paraffin-embedded human breast cancer tissue using anti-GPNMB antibody. Counter stained with hematoxylin.
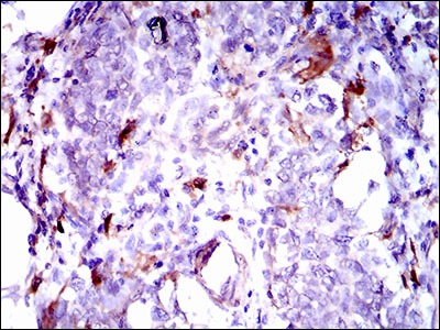
5. Immunohistochemical analysis of paraffin-embedded human esophagus cancer tissue using anti-GPNMB antibody. Counter stained with hematoxylin.
verifiedActivityverifiedActivityverifiedActivityverifiedActivityverifiedActivity
应用IHCWB
推荐剂量
WB: 1:500; IHC: 1:100-200
抗体种类
Monoclonal
宿主来源Mouse
构建方式Hybridoma Monoclonal Antibody
纯化方式ProA affinity purified
性状Liquid
缓冲液1*TBS (pH7.4), 1%BSA, 40%Glycerol. Preservative: 0.05% Sodium Azide.
研究背景Transmembrane glycoprotein NMB (GPNMB), also designated hematopoietic growth factor inducible neurokinin-1 (HGFIN), is a single-pass type I membrane protein. Belonging to the Pmel-17/NMB family of proteins, GPNMB acts as a melanogenic enzyme. GPNMB expression is not restricted to cells of melanocytic lineage and is highest in poorly metastatic melanoma cell lines. There is no expression of GPNMB in highly metastatic melanoma cell lines. GPNMB may play a important role in lymphohematopoietic stem cell maturation.
偶联与修饰
偶联
Unconjugated
抗原信息
免疫原
Recombinant Protein
Uniprot ID
化学信息
分子量Theoretical: 64 kDa.
存储&运输
储存方式Store at -20°C or -80°C for 12 months. Avoid repeated freeze-thaw cycles.
运输方式Shipping with blue ice.

计算器

  • 稀释 计算器

评论列表

4个月前
5.0
Rating icon 很棒

评论内容

Related Tags: buy Anti-Osteoactivin/GPNMB Antibody (4G206) | purchase Anti-Osteoactivin/GPNMB Antibody (4G206) | Anti-Osteoactivin/GPNMB Antibody (4G206) cost | order Anti-Osteoactivin/GPNMB Antibody (4G206) | Anti-Osteoactivin/GPNMB Antibody (4G206) molecular weight