购物车
  • TargetMol
    您的购物车当前为空

Anti-Olig-2/Oligo2 Antibody (2L225)

Synonyms: RACK17, PRKCBP2, OLIGO2, Olig2, bHLHe19, BHLHB1
货号 TMAC-02918 一键复制产品信息
Rating icon 还可以

Anti-Olig-2/Oligo2 Antibody (2L225) 是一种 Rabbit 抗体,靶向 Olig-2/Oligo2。Anti-Olig-2/Oligo2 Antibody (2L225) 可用于 ICC/IF,IHC,WB。

Anti-Olig-2/Oligo2 Antibody (2L225)

一键复制产品信息
Rating icon 还可以
货号 TMAC-02918

别名 RACK17, PRKCBP2, OLIGO2, Olig2, bHLHe19, BHLHB1

Anti-Olig-2/Oligo2 Antibody (2L225) 是一种 Rabbit 抗体,靶向 Olig-2/Oligo2。Anti-Olig-2/Oligo2 Antibody (2L225) 可用于 ICC/IF,IHC,WB。

Anti-Olig-2/Oligo2 Antibody (2L225)
规格价格库存数量
50 μL
¥ 1,490
5日内发货
100 μL
¥ 2,490
5日内发货
库存状态实时更新,以官网显示为准,现货产品可直接加购物车下单
大包装 & 定制
加入购物车

TargetMol的所有产品仅用作科学研究或药证申报,不能被用于人体,我们不向个人提供产品和服务。请您遵守承诺用途,不得违反法律法规规定用于任何其他用途。

实验操作小课堂
常见问题解答
查看更多

资源下载:产品操作手册

产品介绍


生物活性
产品描述
Anti-Olig-2/Oligo2 Antibody (2L225) is a Rabbit antibody targeting Olig-2/Oligo2. Anti-Olig-2/Oligo2 Antibody (2L225) can be used in ICC/IF,IHC,WB.
别名
RACK17, PRKCBP2, OLIGO2, Olig2, bHLHe19, BHLHB1
Ig Type
IgG
克隆号
2L225
反应种属
Human,Mouse,Rat
验证活性
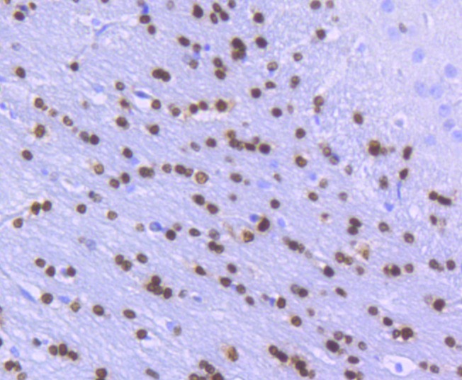
1. Immunohistochemical analysis of paraffin-embedded rat brain tissue using anti-Olig2 antibody. Counter stained with hematoxylin.
2. Immunohistochemical analysis of paraffin-embedded mouse brain tissue using anti-Olig2 antibody. Counter stained with hematoxylin.
verifiedActivityverifiedActivity
应用ICC/IFIHCWB
推荐剂量
WB: 1:500-1000; IHC: 1:50-200; ICC/IF: 1:50-200
抗体种类
Monoclonal
宿主来源Rabbit
构建方式Recombinant Antibody
纯化方式ProA affinity purified
性状Liquid
缓冲液1*TBS (pH7.4), 1%BSA, 40%Glycerol. Preservative: 0.05% Sodium Azide.
研究背景The oligodendrocyte lineage-specific basic helix-loop-helix (OLIG) family of transcription factors include OLIG1-OLIG3, which differ in tissue expression. OLIG1 and OLIG2 are specifically expressed in nervous tissue as gene regulators of oligodendrogenesis. OLIG2 is more widely expressed in embryonic brain than OLIG1, while OLIG3 is primarily expressed in non-neural tissues. OLIG1 and OLIG2 interact with the Nkx-2.2 homeodomain protein, which is responsible for directing ventral neuronal patterning in response to graded Sonic hedgehog signaling in the embryonic neural tube. These interactions between OLIG proteins and Nkx-2.2 appear to promote the formation of alternate cell types by inhibiting V3 interneuron development. OLIG1 and OLIG2 are abundantly expressed in oligodendroglioma and nearly absent in astrocytomas. Therefore, OLIG proteins are candidates for molecular markers of human glial brain tumors, which are the most common primary malignancies of the human brain.
偶联与修饰
偶联
Unconjugated
抗原信息
免疫原
Recombinant Protein
Uniprot ID
化学信息
分子量Theoretical: 32 kDa.
储存&溶解度
储存方式Store at -20°C or -80°C for 12 months. Avoid repeated freeze-thaw cycles.
运输方式Shipping with blue ice.

计算器

  • 稀释 计算器
  • 配液 计算器
Related Tags: buy Anti-Olig-2/Oligo2 Antibody (2L225) | purchase Anti-Olig-2/Oligo2 Antibody (2L225) | Anti-Olig-2/Oligo2 Antibody (2L225) cost | order Anti-Olig-2/Oligo2 Antibody (2L225) | Anti-Olig-2/Oligo2 Antibody (2L225) molecular weight