购物车
  • 全部删除
  • TargetMol
    您的购物车当前为空

Anti-Oct1 Antibody (5G338)

一键复制产品信息
Rating icon 还可以
产品编号 TMAC-02913
别名 Octamer-binding transcription factor 1, Octamer-binding protein 1, Oct-1, OCT1, NF-A1

Anti-Oct1 Antibody (5G338) 是一种 Mouse 抗体,靶向 45931。Anti-Oct1 Antibody (5G338) 可用于 WB。

Anti-Oct1 Antibody (5G338)

Anti-Oct1 Antibody (5G338)

一键复制产品信息
Rating icon 还可以
产品编号 TMAC-02913 别名 Octamer-binding transcription factor 1, Octamer-binding protein 1, Oct-1, OCT1, NF-A1

Anti-Oct1 Antibody (5G338) 是一种 Mouse 抗体,靶向 45931。Anti-Oct1 Antibody (5G338) 可用于 WB。

规格价格库存数量
50 μL
¥ 1,335
5日内发货
100 μL
¥ 2,195
5日内发货
大包装 & 定制
加入购物车
TargetMol 的所有产品仅用作科学研究或药证申报,不能被用于人体,我们不向个人提供产品和服务。请您遵守承诺用途,不得违反法律法规规定用于任何其他用途。
实验操作小课堂
常见问题解答
查看更多
联系我们获取更多批次信息
资源下载

产品介绍

生物活性
产品描述
Anti-Oct1 Antibody (5G338) is a Mouse antibody targeting 45931. Anti-Oct1 Antibody (5G338) can be used in WB.
别名Octamer-binding transcription factor 1, Octamer-binding protein 1, Oct-1, OCT1, NF-A1
克隆号
5G338
交叉反应
Human
验证活性
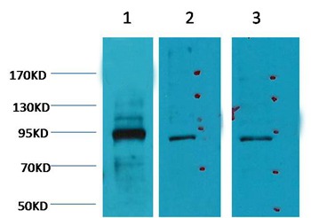
1. Western blot analysis of 1) Hela, 2) Jurkat, 3) HepG2, using TMAC-02913.
verifiedActivity
应用WB
推荐剂量
WB: 1:500-2000
抗体种类
Monoclonal
宿主来源Mouse
构建方式Hybridoma Monoclonal Antibody
纯化方式Affinity purification using immunogen.
性状Liquid
缓冲液Mouse IgG1 in phosphate buffered saline (without Mg2+ and Ca2+), pH 7.4, 150mM NaCl, 0.02% sodium azide and 50% glycerol.
研究背景POU domain, class 2, transcription factor 1 is a protein that in humans is encoded by the POU2F1 gene.Transcription factor that binds to the octamer motif (5'-ATTTGCAT-3') and activates the promoters of the genes for some small nuclear RNAs (snRNA) and of genes such as those for histone H2B and immunoglobulins.
偶联与修饰
偶联
Unconjugated
抗原信息
Uniprot ID
化学信息
分子量Actual: 90 kDa.
存储&运输
储存方式Store at -20°C or -80°C for 12 months. Avoid repeated freeze-thaw cycles.
运输方式Shipping with blue ice.

计算器

  • 稀释 计算器

评论列表

4个月前
5.0
Rating icon 很棒

评论内容

Related Tags: buy Anti-Oct1 Antibody (5G338) | purchase Anti-Oct1 Antibody (5G338) | Anti-Oct1 Antibody (5G338) cost | order Anti-Oct1 Antibody (5G338) | Anti-Oct1 Antibody (5G338) molecular weight