购物车
  • TargetMol
    您的购物车当前为空

Anti-NONO Antibody (8D270)

Synonyms: p54nrb, NRB54, Non-POU domain-containing octamer-binding protein, NonO protein, NMT55, DNA-binding p52/p100 complex, 55 kDa nuclear protein, 54 kDa nuclear RNA- and DNA-binding protein, 52 kDa subunit
货号 TMAC-03002 一键复制产品信息
Rating icon 还可以

Anti-NONO Antibody (8D270) 是一种 Rabbit 抗体,靶向 NONO。Anti-NONO Antibody (8D270) 可用于 ICC,IF,IHC,WB。

Anti-NONO Antibody (8D270)

一键复制产品信息
Rating icon 还可以
货号 TMAC-03002

别名 p54nrb, NRB54, Non-POU domain-containing octamer-binding protein, NonO protein, NMT55, DNA-binding p52/p100 complex, 55 kDa nuclear protein, 54 kDa nuclear RNA- and DNA-binding protein, 52 kDa subunit

Anti-NONO Antibody (8D270) 是一种 Rabbit 抗体,靶向 NONO。Anti-NONO Antibody (8D270) 可用于 ICC,IF,IHC,WB。

Anti-NONO Antibody (8D270)
规格价格库存数量
50 μL
¥ 1,495
5日内发货
100 μL
¥ 2,480
5日内发货
库存状态实时更新,以官网显示为准,现货产品可直接加购物车下单
大包装 & 定制
加入购物车

TargetMol的所有产品仅用作科学研究或药证申报,不能被用于人体,我们不向个人提供产品和服务。请您遵守承诺用途,不得违反法律法规规定用于任何其他用途。

实验操作小课堂
常见问题解答
查看更多

资源下载:产品操作手册

产品介绍


生物活性
产品描述
Anti-NONO Antibody (8D270) is a Rabbit antibody targeting NONO. Anti-NONO Antibody (8D270) can be used in ICC,IF,IHC,WB.
别名
p54nrb, NRB54, Non-POU domain-containing octamer-binding protein, NonO protein, NMT55, DNA-binding p52/p100 complex, 55 kDa nuclear protein, 54 kDa nuclear RNA- and DNA-binding protein, 52 kDa subunit
Ig Type
IgG
克隆号
8D270
反应种属
Human,Mouse,Rat
验证活性
1. Western blot analysis of p54nrb on 293 (1) and SH-SY-5Y (2) cell lysate using anti-p54nrb antibody at 1/500 dilution.
2. Immunohistochemical analysis of paraffin-embedded rat kidney tissue using anti- p54nrb antibody. Counter stained with hematoxylin.
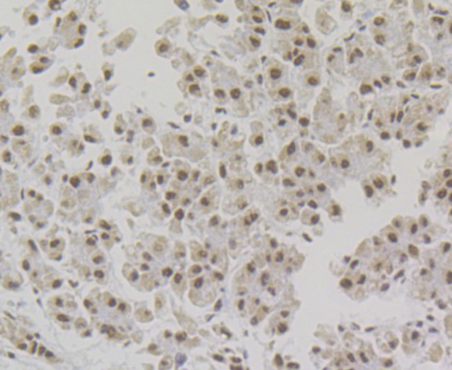
3. Immunohistochemical analysis of paraffin-embedded human liver tissue using anti- p54nrb antibody. Counter stained with hematoxylin.
4. Immunohistochemical analysis of paraffin-embedded human colon tissue using anti- p54nrb antibody. Counter stained with hematoxylin.
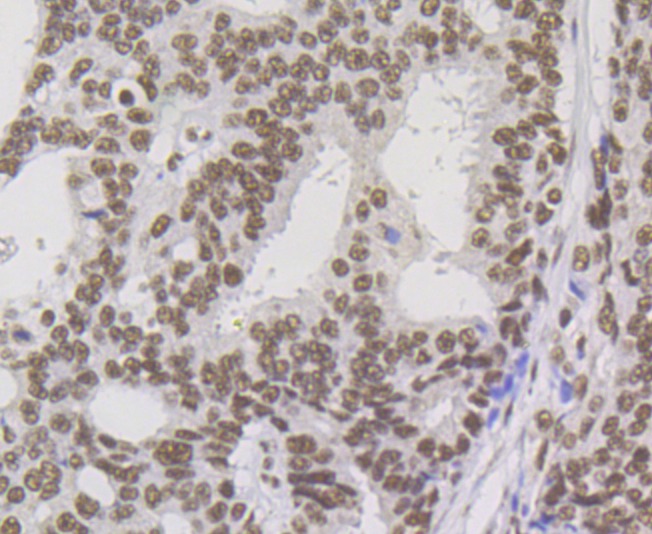
5. Immunohistochemical analysis of paraffin-embedded human prostate cancer tissue using anti-p54nrb antibody. Counter stained with hematoxylin.
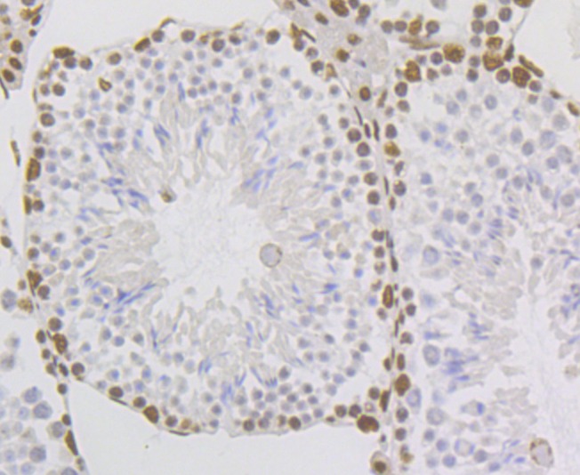
6. Immunohistochemical analysis of paraffin-embedded mouse testis tissue using anti- p54nrb antibody. Counter stained with hematoxylin.
7. ICC staining p54nrb in SiHa cells (green). The nuclear counter stain is DAPI (blue). Cells were fixed in paraformaldehyde, permeabilised with 0.25% Triton X100/PBS.
verifiedActivityverifiedActivityverifiedActivityverifiedActivityverifiedActivityverifiedActivityverifiedActivity
应用ICCIFIHCWB
推荐剂量
WB: 1:500-2000; IHC: 1:50-200; ICC: 1:50
抗体种类
Monoclonal
宿主来源Rabbit
构建方式Recombinant Antibody
纯化方式ProA affinity purified
性状Liquid
缓冲液1*TBS (pH7.4), 1%BSA, 40%Glycerol. Preservative: 0.05% Sodium Azide.
研究背景Found in both primary and transformed human cells, paraspeckles are discrete bodies in the interchromatin nucleoplasmic space which contain p54/nrb (nuclear RNA-binding protein) and at least two other RNA-binding proteins, paraspeckle protein 1 (PSP1) and paraspeckle protein 2 (PSP2). Paraspeckles often co-localize with splicing speckles, which are the site of splicing factor accumulation. Paraspeckle proteins, including p54/nrb, move dynamically between the nucleolus and paraspeckles and translocate to distinct caps in the nucleolar periphery when transcription is inhibited. Originally purified from HeLa cells, the nuclear p54/nrb has two RNA recognition motifs and shares extensive homology with both the human splicing factor PSF and Drosophila NONA/BJ6, which is required for normal vision and courtship. The shared domain between these proteins is termed a DBHS (Drosophila behavior, human splicing) domain and may play a role in regulating various pathways at the level of pre-mRNA splicing.
偶联与修饰
偶联
Unconjugated
抗原信息
免疫原
Recombinant Protein: C-terminal human p54nrb
抗原种属
human
Uniprot ID
化学信息
分子量Theoretical: 54 kDa.
储存&溶解度
储存方式Store at -20°C or -80°C for 12 months. Avoid repeated freeze-thaw cycles.
运输方式Shipping with blue ice.

计算器

  • 稀释 计算器
  • 配液 计算器
Related Tags: buy Anti-NONO Antibody (8D270) | purchase Anti-NONO Antibody (8D270) | Anti-NONO Antibody (8D270) cost | order Anti-NONO Antibody (8D270) | Anti-NONO Antibody (8D270) molecular weight