购物车
  • TargetMol
    您的购物车当前为空

Anti-NHERF1 Antibody (1A168)

Synonyms: Solute carrier family 9 isoform A3 regulatory factor 1, Sodium-hydrogen exchanger regulatory factor 1, SLC9A3R1, Regulatory cofactor of Na(+)/H(+) exchanger, NHERF-1, NHERF1, NHERF, Na(+)/H(+) exchange regulatory cofactor NHE-RF1, Ezrin-radixin-moesin-binding phosphoprotein 50 (EBP50)
货号 TMAC-01219 一键复制产品信息
Rating icon 还可以

Anti-NHERF1 Antibody (1A168) 是一种 Rabbit 抗体,靶向 NHERF1。Anti-NHERF1 Antibody (1A168) 可用于 IHC,WB。

Anti-NHERF1 Antibody (1A168)

一键复制产品信息
Rating icon 还可以
货号 TMAC-01219

别名 Solute carrier family 9 isoform A3 regulatory factor 1, Sodium-hydrogen exchanger regulatory factor 1, SLC9A3R1, Regulatory cofactor of Na(+)/H(+) exchanger, NHERF-1, NHERF1, NHERF, Na(+)/H(+) exchange regulatory cofactor NHE-RF1, Ezrin-radixin-moesin-binding phosphoprotein 50 (EBP50)

Anti-NHERF1 Antibody (1A168) 是一种 Rabbit 抗体,靶向 NHERF1。Anti-NHERF1 Antibody (1A168) 可用于 IHC,WB。

Anti-NHERF1 Antibody (1A168)
规格价格库存数量
50 μL
¥ 1,495
5日内发货
100 μL
¥ 2,480
5日内发货
库存状态实时更新,以官网显示为准,现货产品可直接加购物车下单
大包装 & 定制
加入购物车

TargetMol的所有产品仅用作科学研究或药证申报,不能被用于人体,我们不向个人提供产品和服务。请您遵守承诺用途,不得违反法律法规规定用于任何其他用途。

实验操作小课堂
常见问题解答
查看更多

资源下载:产品操作手册

产品介绍


生物活性
产品描述
Anti-NHERF1 Antibody (1A168) is a Rabbit antibody targeting NHERF1. Anti-NHERF1 Antibody (1A168) can be used in IHC,WB.
别名
Solute carrier family 9 isoform A3 regulatory factor 1, Sodium-hydrogen exchanger regulatory factor 1, SLC9A3R1, Regulatory cofactor of Na(+)/H(+) exchanger, NHERF-1, NHERF1, NHERF, Na(+)/H(+) exchange regulatory cofactor NHE-RF1, Ezrin-radixin-moesin-binding phosphoprotein 50 (EBP50)
Ig Type
IgG
克隆号
1A168
反应种属
Human,Rat
验证活性
1. Western blot analysis of EBP50 on MCF-7 cells lysates using anti-EBP50 antibody at 1/1,000 dilution.
2. Immunohistochemical analysis of paraffin-embedded rat kidney tissue using anti-EBP50 antibody. Counter stained with hematoxylin.
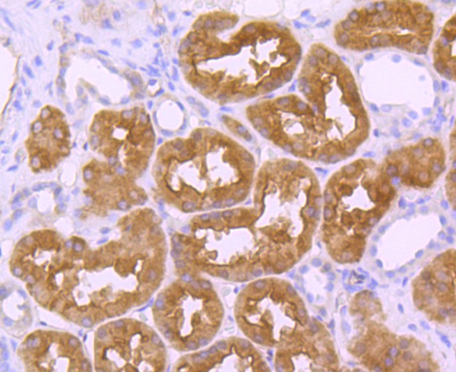
3. Immunohistochemical analysis of paraffin-embedded human kidney tissue using anti-EBP50 antibody. Counter stained with hematoxylin.
verifiedActivityverifiedActivityverifiedActivity
应用IHCWB
推荐剂量
WB: 1:1000-2000; IHC: 1:50-200
抗体种类
Monoclonal
宿主来源Rabbit
构建方式Recombinant Antibody
纯化方式ProA affinity purified
性状Liquid
缓冲液1*TBS (pH7.4), 1%BSA, 40%Glycerol. Preservative: 0.05% Sodium Azide.
研究背景The Na+/H+ exchange protein (NHE3) functions in transepithelial Na+ absorption and is primarily expressed in the intestinal and renal brush border membrane. NHE3 regulatory factor 1 (NHERF-1) interacts with NHE3 through two PDZ (for PSD-95, Discs-large and ZO-1 homology) domains, which are protein-protein interaction modules that associate with specific carboxy-terminal motifs on target proteins. Also known as EBP50, NHERF-1 facilitates cAMP inhibition of NHE3 to decrease Na+ adsorption. NHERF-1 functions as a scaffold for an essential multiprotein complex of Ezrin and NHE3 for cAMP-mediated phosphorylation and consequent inhibition of NHE3. The amino-terminal PDZ domain regulates the dimerization of NHERF-1 in vivo. G protein-coupled receptor kinase 6A phosphorylates NHERF-1 at Ser 289 via a PDZ domain-mediated interaction. NHERF-2, also known as E3KARP, is a ubiquitously expressed protein which also functions in NHE2 regulation.
偶联与修饰
偶联
Unconjugated
抗原信息
免疫原
Recombinant Protein
Uniprot ID
化学信息
分子量Theoretical: 50 kDa.
储存&溶解度
储存方式Store at -20°C or -80°C for 12 months. Avoid repeated freeze-thaw cycles.
运输方式Shipping with blue ice.

计算器

  • 稀释 计算器
  • 配液 计算器
Related Tags: buy Anti-NHERF1 Antibody (1A168) | purchase Anti-NHERF1 Antibody (1A168) | Anti-NHERF1 Antibody (1A168) cost | order Anti-NHERF1 Antibody (1A168) | Anti-NHERF1 Antibody (1A168) molecular weight