购物车
  • TargetMol
    您的购物车当前为空

Anti-Neprilysin/CD10 Antibody (5M454)

Synonyms: SFE, SCA43, NEP, EPN, CMT2T, CD10, CALLA
货号 TMAC-00646 一键复制产品信息
Rating icon 还可以

Anti-Neprilysin/CD10 Antibody (5M454) 是一种 Rabbit 抗体,靶向 Neprilysin/CD10。Anti-Neprilysin/CD10 Antibody (5M454) 可用于 FCM,ICC,IHC,WB。

Anti-Neprilysin/CD10 Antibody (5M454)

一键复制产品信息
Rating icon 还可以
货号 TMAC-00646

别名 SFE, SCA43, NEP, EPN, CMT2T, CD10, CALLA

Anti-Neprilysin/CD10 Antibody (5M454) 是一种 Rabbit 抗体,靶向 Neprilysin/CD10。Anti-Neprilysin/CD10 Antibody (5M454) 可用于 FCM,ICC,IHC,WB。

Anti-Neprilysin/CD10 Antibody (5M454)
规格价格库存数量
50 μL
¥ 1,495
5日内发货
100 μL
¥ 2,485
5日内发货
库存状态实时更新,以官网显示为准,现货产品可直接加购物车下单
大包装 & 定制
加入购物车

TargetMol的所有产品仅用作科学研究或药证申报,不能被用于人体,我们不向个人提供产品和服务。请您遵守承诺用途,不得违反法律法规规定用于任何其他用途。

实验操作小课堂
常见问题解答
查看更多

资源下载:产品操作手册

产品介绍


生物活性
产品描述
Anti-Neprilysin/CD10 Antibody (5M454) is a Rabbit antibody targeting Neprilysin/CD10. Anti-Neprilysin/CD10 Antibody (5M454) can be used in FCM,ICC,IHC,WB.
别名
SFE, SCA43, NEP, EPN, CMT2T, CD10, CALLA
Ig Type
IgG
克隆号
5M454
反应种属
Human,Mouse,Rat
验证活性
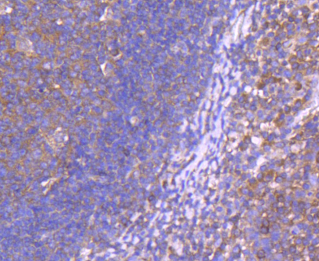
1. Immunohistochemical analysis of paraffin-embedded human tonsil tissue using anti-CD10 antibody. Counter stained with hematoxylin.
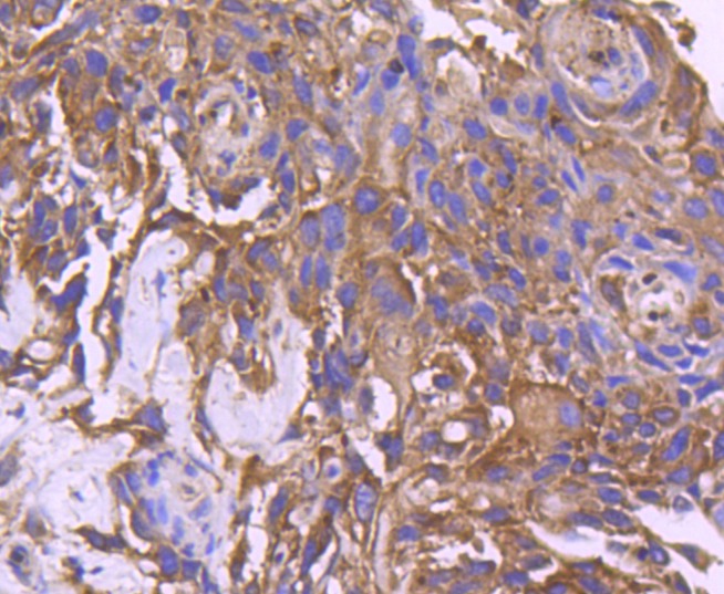
2. Immunohistochemical analysis of paraffin-embedded human breast carcinoma tissue using anti-CD10 antibody. Counter stained with hematoxylin.
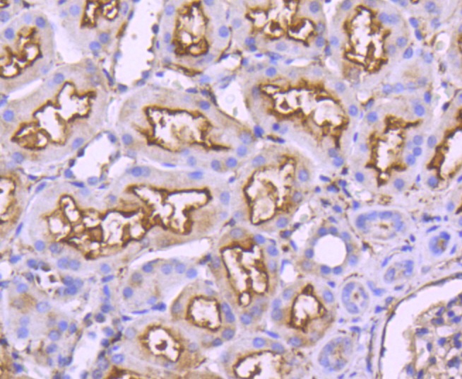
3. Immunohistochemical analysis of paraffin-embedded mouse kidney tissue using anti-CD10 antibody. Counter stained with hematoxylin.
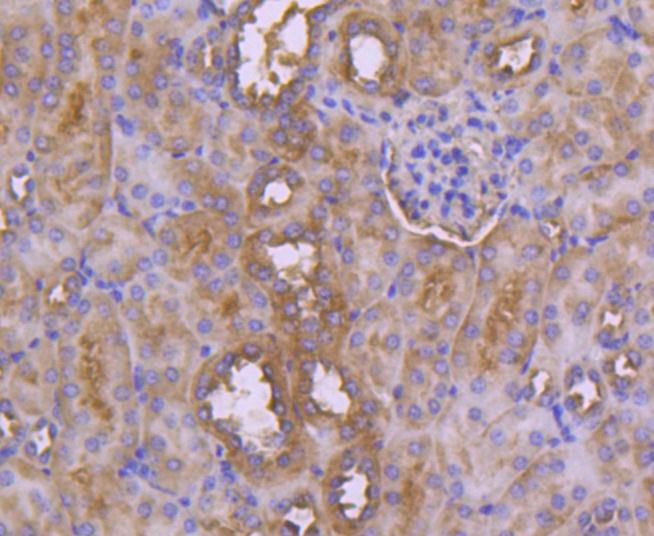
4. Immunohistochemical analysis of paraffin-embedded human kidney tissue using anti-CD10 antibody. Counter stained with hematoxylin.
5. ICC staining CD10 in 293 cells (green). The nuclear counter stain is DAPI (blue). Cells were fixed in paraformaldehyde, permeabilised with 0.25% Triton X100/PBS.
6. ICC staining CD10 in MCF-7 cells (green). The nuclear counter stain is DAPI (blue). Cells were fixed in paraformaldehyde, permeabilised with 0.25% Triton X100/PBS.
7. Flow cytometric analysis of Jurkat cells with CD10 antibody at 1/50 dilution (red) compared with an unlabelled control (cells without incubation with primary antibody; black). Alexa Fluor 488-conjugated goat anti rabbit IgG was used as the secondary antibody.
verifiedActivityverifiedActivityverifiedActivityverifiedActivityverifiedActivityverifiedActivityverifiedActivity
应用FCMICCIHCWB
推荐剂量
WB: 1:500-1000; IHC: 1:50-200; ICC: 1:50-200; FCM: 1:50-100
抗体种类
Monoclonal
宿主来源Rabbit
构建方式Recombinant Antibody
纯化方式ProA affinity purified
性状Liquid
缓冲液1*TBS (pH7.4), 1%BSA, 40%Glycerol. Preservative: 0.05% Sodium Azide.
研究背景CD10, also called the common acute lymphoblastic leukemia antigen (CALLA) and neutral endopeptidase (NEP), is a type II integral membrane glycoprotein. CD10 acts as a zinc metalloprotease that cleaves a variety of biologically active peptides including Angiotensins I and II. It is expressed on early B and T lymphoid precursors, B blasts, some granulocytes, bone marrow stromal cells and certain epithelial cells including some tumor cell lines. CD10 is used as a marker of common acute lymphocytic leukemias and some lymphomas.
偶联与修饰
偶联
Unconjugated
抗原信息
免疫原
Recombinant Protein
Uniprot ID
化学信息
分子量Theoretical: 100 kDa.
储存&溶解度
储存方式Store at -20°C or -80°C for 12 months. Avoid repeated freeze-thaw cycles.
运输方式Shipping with blue ice.

计算器

  • 稀释 计算器
  • 配液 计算器
Related Tags: buy Anti-Neprilysin/CD10 Antibody (5M454) | purchase Anti-Neprilysin/CD10 Antibody (5M454) | Anti-Neprilysin/CD10 Antibody (5M454) cost | order Anti-Neprilysin/CD10 Antibody (5M454) | Anti-Neprilysin/CD10 Antibody (5M454) molecular weight