购物车
  • 全部删除
  • TargetMol
    您的购物车当前为空

Anti-NACC1 Antibody (6F944)

一键复制产品信息
Rating icon 还可以
产品编号 TMAC-02744
别名 Nucleus accumbens-associated protein 1, NACC1_HUMAN, Nacc 1, NAC-1, NAC1, FLJ37383, btbd14b, BTB/POZ domain-containing protein 14B, BTB Domain Containing 14B, BEND8

Anti-NACC1 Antibody (6F944) 是一种 Mouse 抗体,靶向 NACC1。Anti-NACC1 Antibody (6F944) 可用于 IHC,WB。

Anti-NACC1 Antibody (6F944)

Anti-NACC1 Antibody (6F944)

一键复制产品信息
Rating icon 还可以
产品编号 TMAC-02744 别名 Nucleus accumbens-associated protein 1, NACC1_HUMAN, Nacc 1, NAC-1, NAC1, FLJ37383, btbd14b, BTB/POZ domain-containing protein 14B, BTB Domain Containing 14B, BEND8

Anti-NACC1 Antibody (6F944) 是一种 Mouse 抗体,靶向 NACC1。Anti-NACC1 Antibody (6F944) 可用于 IHC,WB。

规格价格库存数量
50 μL
¥ 1,995
5日内发货
100 μL
¥ 2,985
5日内发货
大包装 & 定制
加入购物车
TargetMol 的所有产品仅用作科学研究或药证申报,不能被用于人体,我们不向个人提供产品和服务。请您遵守承诺用途,不得违反法律法规规定用于任何其他用途。
实验操作小课堂
常见问题解答
查看更多
联系我们获取更多批次信息
资源下载

产品介绍

生物活性
产品描述
Anti-NACC1 Antibody (6F944) is a Mouse antibody targeting NACC1. Anti-NACC1 Antibody (6F944) can be used in IHC,WB.
别名Nucleus accumbens-associated protein 1, NACC1_HUMAN, Nacc 1, NAC-1, NAC1, FLJ37383, btbd14b, BTB/POZ domain-containing protein 14B, BTB Domain Containing 14B, BEND8
克隆号
6F944
交叉反应
Human
验证活性
1. Western blot analysis of NACC1 on HEK293 (1) and NACC1-hIgGFc transfected HEK293 (2) cell lysate using anti-NACC1 antibody at 1/1,000 dilution.
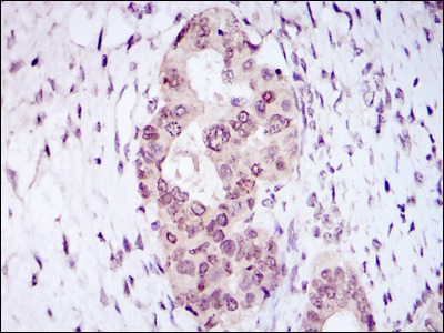
2. Immunohistochemical analysis of paraffin-embedded human mammary cancer tissue using anti-NACC1 antibody. Counter stained with hematoxylin.
3. Immunohistochemical analysis of paraffin-embedded human ovarian cancer tissue using anti-NACC1 antibody. Counter stained with hematoxylin.
verifiedActivityverifiedActivityverifiedActivity
应用IHCWB
推荐剂量
WB: 1:500-1000; IHC: 1:100-500
抗体种类
Monoclonal
宿主来源Mouse
构建方式Hybridoma Monoclonal Antibody
纯化方式ProA affinity purified
性状Liquid
缓冲液1*TBS (pH7.4), 1%BSA, Preservative: 0.05% Sodium Azide.
研究背景The BTB (broad-complex, Tramtrack and Bric a brac) domain, also known as the POZ (Poxvirus and zinc finger) domain, is an N-terminal homodimerization domain that contains multiple copies of kelch repeats and/or C2H2-type zinc fingers. Proteins that contain BTB domains are thought to be involved in transcriptional regulation via control of chromatin structure and function. BTBD14B (BTB/POZ domain-containing protein 14B), also known as NACC1 (nucleus accumbens associated 1), BEND8 or NAC1, is a 527 amino acid protein that localizes to both the nucleus and the cytoplasm and contains one BTB (POZ) domain. Existing as a homooligomer that interacts with HDAC3 and HDAC4, BTBD14B functions as a transcriptional repressor that influences the transcriptional activity of CRIF1 and is required for proteasome recruitment to the nucleus and cytoplasm in dendritic spines. BTBD14B is overexpressed in multiple carcinomas, suggesting a role in tumor development and metastasis.
偶联与修饰
偶联
Unconjugated
抗原信息
免疫原
Recombinant Protein
Uniprot ID
化学信息
分子量Theoretical: 58 kDa.
存储&运输
储存方式Store at -20°C or -80°C for 12 months. Avoid repeated freeze-thaw cycles.
运输方式Shipping with blue ice.

计算器

  • 稀释 计算器

评论列表

4个月前
5.0
Rating icon 很棒

评论内容

Related Tags: buy Anti-NACC1 Antibody (6F944) | purchase Anti-NACC1 Antibody (6F944) | Anti-NACC1 Antibody (6F944) cost | order Anti-NACC1 Antibody (6F944) | Anti-NACC1 Antibody (6F944) molecular weight