购物车
  • 全部删除
  • TargetMol
    您的购物车当前为空

Anti-MSH6 Antibody (3L662)

一键复制产品信息
Rating icon 还可以
产品编号 TMAC-02651
别名 Sperm associated protein, p160, MutS-alpha 160 kDa subunit, mutS homolog 6, MutS alpha 160 kDa subunit, mutS (E. coli) homolog 6, MSH 6, HSAP, HNPCC5, HNPCC 5, hMSH6, GTMBP, GTBP, G/T mismatch binding protein, DNA mismatch repair protein Msh6

Anti-MSH6 Antibody (3L662) 是一种 Rabbit 抗体,靶向 MSH6。Anti-MSH6 Antibody (3L662) 可用于 IHC,IP,WB。

Anti-MSH6 Antibody (3L662)

Anti-MSH6 Antibody (3L662)

一键复制产品信息
Rating icon 还可以
产品编号 TMAC-02651 别名 Sperm associated protein, p160, MutS-alpha 160 kDa subunit, mutS homolog 6, MutS alpha 160 kDa subunit, mutS (E. coli) homolog 6, MSH 6, HSAP, HNPCC5, HNPCC 5, hMSH6, GTMBP, GTBP, G/T mismatch binding protein, DNA mismatch repair protein Msh6

Anti-MSH6 Antibody (3L662) 是一种 Rabbit 抗体,靶向 MSH6。Anti-MSH6 Antibody (3L662) 可用于 IHC,IP,WB。

规格价格库存数量
50 μL
¥ 1,495
5日内发货
100 μL
¥ 2,485
5日内发货
大包装 & 定制
加入购物车
TargetMol 的所有产品仅用作科学研究或药证申报,不能被用于人体,我们不向个人提供产品和服务。请您遵守承诺用途,不得违反法律法规规定用于任何其他用途。
实验操作小课堂
常见问题解答
查看更多
联系我们获取更多批次信息
资源下载

产品介绍

生物活性
产品描述
Anti-MSH6 Antibody (3L662) is a Rabbit antibody targeting MSH6. Anti-MSH6 Antibody (3L662) can be used in IHC,IP,WB.
别名Sperm associated protein, p160, MutS-alpha 160 kDa subunit, mutS homolog 6, MutS alpha 160 kDa subunit, mutS (E. coli) homolog 6, MSH 6, HSAP, HNPCC5, HNPCC 5, hMSH6, GTMBP, GTBP, G/T mismatch binding protein, DNA mismatch repair protein Msh6
Ig Type
IgG
克隆号
3L662
交叉反应
Human,Mouse
验证活性
1. Western blot analysis of MSH6 on Hela cell lysates using anti-MSH6 at 1/500 dilution.
2. Immunohistochemical analysis of paraffin-embedded human lung tissue using anti-MSH6 antibody. Counter stained with hematoxylin.
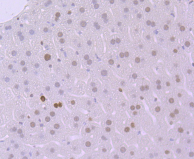
3. Immunohistochemical analysis of paraffin-embedded mouse liver tissue using anti-MSH6 antibody. Counter stained with hematoxylin.
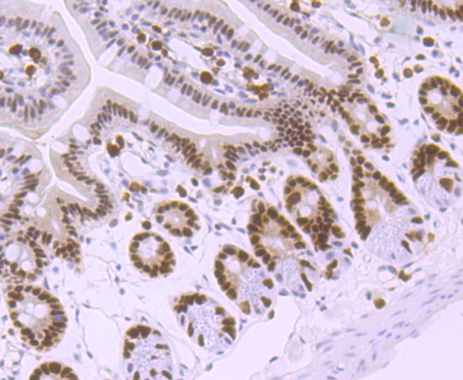
4. Immunohistochemical analysis of paraffin-embedded mouse colon tissue using anti-MSH6 antibody. Counter stained with hematoxylin.
verifiedActivityverifiedActivityverifiedActivityverifiedActivity
应用IHCIPWB
推荐剂量
WB: 1:500-2000; IHC: 1:50-200; IP: 1:10-50
抗体种类
Monoclonal
宿主来源Rabbit
构建方式Recombinant Antibody
纯化方式ProA affinity purified
性状Liquid
缓冲液1*TBS (pH7.4), 1%BSA, 40%Glycerol. Preservative: 0.05% Sodium Azide.
研究背景Component of the post-replicative DNA mismatch repair system (MMR). Heterodimerizes with MSH2 to form MutS alpha, which binds to DNA mismatches thereby initiating DNA repair. When bound, MutS alpha bends the DNA helix and shields approximately 20 base pairs, and recognizes single base mismatches and dinucleotide insertion-deletion loops (IDL) in the DNA. After mismatch binding, forms a ternary complex with the MutL alpha heterodimer, which is thought to be responsible for directing the downstream MMR events, including strand discrimination, excision, and resynthesis. ATP binding and hydrolysis play a pivotal role in mismatch repair functions. The ATPase activity associated with MutS alpha regulates binding similar to a molecular switch: mismatched DNA provokes ADP-->ATP exchange, resulting in a discernible conformational transition that converts MutS alpha into a sliding clamp capable of hydrolysis-independent diffusion along the DNA backbone. This transition is crucial for mismatch repair. MutS alpha may also play a role in DNA homologous recombination repair.
偶联与修饰
偶联
Unconjugated
抗原信息
免疫原
Recombinant Protein
Uniprot ID
化学信息
分子量Theoretical: 153 kDa.
存储&运输
储存方式Store at -20°C or -80°C for 12 months. Avoid repeated freeze-thaw cycles.
运输方式Shipping with blue ice.

计算器

  • 稀释 计算器

评论列表

4个月前
5.0
Rating icon 很棒

评论内容

Related Tags: buy Anti-MSH6 Antibody (3L662) | purchase Anti-MSH6 Antibody (3L662) | Anti-MSH6 Antibody (3L662) cost | order Anti-MSH6 Antibody (3L662) | Anti-MSH6 Antibody (3L662) molecular weight