• TargetMol
    您的购物车当前为空

Anti-MGEA5 Antibody (9D447)

一键复制产品信息
Rating icon 还可以
产品编号 TMAC-02576

别名 Protein O-GlcNAcase, OGA, Nuclear cytoplasmic O-GlcNAcase and acetyltransferase, NCOAT, N-acetyl-beta-glucosaminidase, N-acetyl-beta-D-glucosaminidase, MGEA 5, Meningioma-expressed antigen 5, MEA5, KIAA0679, HEXC, EC 3.2.1.169, Beta-N-acetylhexosaminidase, Beta-N-acetylglucosaminidase, Beta-hexosaminidase

Anti-MGEA5 Antibody (9D447) 是一种 Rabbit 抗体,靶向 MGEA5。Anti-MGEA5 Antibody (9D447) 可用于 WB,IHC,IP。

Anti-MGEA5 Antibody (9D447)

Anti-MGEA5 Antibody (9D447)

一键复制产品信息
Rating icon 还可以
产品编号 TMAC-02576 别名 Protein O-GlcNAcase, OGA, Nuclear cytoplasmic O-GlcNAcase and acetyltransferase, NCOAT, N-acetyl-beta-glucosaminidase, N-acetyl-beta-D-glucosaminidase, MGEA 5, Meningioma-expressed antigen 5, MEA5, KIAA0679, HEXC, EC 3.2.1.169, Beta-N-acetylhexosaminidase, Beta-N-acetylglucosaminidase, Beta-hexosaminidase

Anti-MGEA5 Antibody (9D447) 是一种 Rabbit 抗体,靶向 MGEA5。Anti-MGEA5 Antibody (9D447) 可用于 WB,IHC,IP。

规格价格库存数量
50 μL
¥ 1,485
5日内发货
100 μL
¥ 2,490
5日内发货
大包装 & 定制
加入购物车
TargetMol 的所有产品仅用作科学研究或药证申报,不能被用于人体,我们不向个人提供产品和服务。请您遵守承诺用途,不得违反法律法规规定用于任何其他用途。
实验操作小课堂
常见问题解答
查看更多
联系我们获取更多批次信息
资源下载

产品介绍

生物活性
产品描述
Anti-MGEA5 Antibody (9D447) is a Rabbit antibody targeting MGEA5. Anti-MGEA5 Antibody (9D447) can be used in WB,IHC,IP.
别名Protein O-GlcNAcase, OGA, Nuclear cytoplasmic O-GlcNAcase and acetyltransferase, NCOAT, N-acetyl-beta-glucosaminidase, N-acetyl-beta-D-glucosaminidase, MGEA 5, Meningioma-expressed antigen 5, MEA5, KIAA0679, HEXC, EC 3.2.1.169, Beta-N-acetylhexosaminidase, Beta-N-acetylglucosaminidase, Beta-hexosaminidase
Ig Type
IgG
克隆号
9D447
交叉反应
Human
验证活性
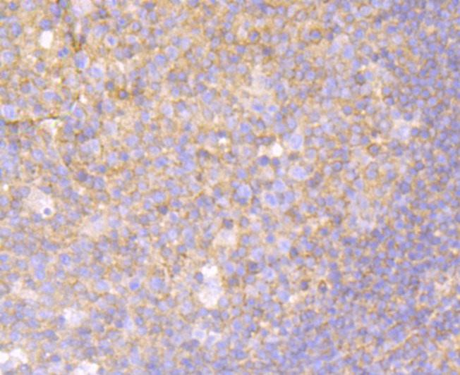
1. Immunohistochemical analysis of paraffin-embedded human tonsil tissue using anti-MGEA5 antibody. Counter stained with hematoxylin.
2. Immunohistochemical analysis of paraffin-embedded human pancreas tissue using anti-MGEA5 antibody. Counter stained with hematoxylin.
3. All lanes use the Antibody at 1:500 dilution for 1 hour at room temperature.
4. Western blot analysis of MGEA5 expression in JAR cell lysate.
verifiedActivityverifiedActivityverifiedActivityverifiedActivity
应用WBIHCIP
推荐剂量
WB: 1:500-2000; IHC: 1:100-200; IP: 1:20-50
抗体种类
Monoclonal
宿主来源Rabbit
构建方式Recombinant Antibody
纯化方式Affinity-chromatography
性状Liquid
缓冲液" Rabbit IgG in 10mM phosphate buffered saline , pH 7.4, 150mM sodium chloride, 0.05% BSA, 0.02% sodium azide and 50% glycerol."
研究背景Isoform 1: Cleaves GlcNAc but not GalNAc from O-glycosylated proteins. Isoform 3: Cleaves GlcNAc but not GalNAc from O-glycosylated proteins.Isoform 3 Cleaves GlcNAc but not GalNAc from O-glycosylated proteins.
偶联与修饰
偶联
Unconjugated
抗原信息
免疫原
A synthesized peptide: human MGEA5
抗原种属
human
Uniprot ID
化学信息
分子量Theoretical: 103 (Observed: 130) kDa.
存储&运输
储存方式Store at 2°C-8°C for 1 month. Store at -20°C or -80°C for 12 months. Avoid repeated freeze-thaw cycles.
运输方式Shipping with blue ice.

计算器

  • 稀释 计算器

评论列表

4个月前
5.0
Rating icon 很棒

评论内容

Related Tags: buy Anti-MGEA5 Antibody (9D447) | purchase Anti-MGEA5 Antibody (9D447) | Anti-MGEA5 Antibody (9D447) cost | order Anti-MGEA5 Antibody (9D447) | Anti-MGEA5 Antibody (9D447) molecular weight