购物车
  • 全部删除
  • TargetMol
    您的购物车当前为空

Anti-MEF2A Antibody (5F773)

一键复制产品信息
Rating icon 还可以
产品编号 TMAC-02517
别名 Serum response factor-like protein 1, Serum response factor like protein 1, RSRFC9, RSRFC4, Myocyte-specific enhancer factor 2A, Myocyte enhancer factor 2A, MEF2A_HUMAN, MEF2A, MEF2, MADS box transcription enhancer factor 2, polypeptide A (myocyte enhancer factor 2A), ADCAD1

Anti-MEF2A Antibody (5F773) 是一种 Rabbit 抗体,靶向 MEF2A。Anti-MEF2A Antibody (5F773) 可用于 IHC,WB。

Anti-MEF2A Antibody (5F773)

Anti-MEF2A Antibody (5F773)

一键复制产品信息
Rating icon 还可以
产品编号 TMAC-02517 别名 Serum response factor-like protein 1, Serum response factor like protein 1, RSRFC9, RSRFC4, Myocyte-specific enhancer factor 2A, Myocyte enhancer factor 2A, MEF2A_HUMAN, MEF2A, MEF2, MADS box transcription enhancer factor 2, polypeptide A (myocyte enhancer factor 2A), ADCAD1

Anti-MEF2A Antibody (5F773) 是一种 Rabbit 抗体,靶向 MEF2A。Anti-MEF2A Antibody (5F773) 可用于 IHC,WB。

规格价格库存数量
50 μL
¥ 1,485
5日内发货
100 μL
¥ 2,490
5日内发货
大包装 & 定制
加入购物车
TargetMol 的所有产品仅用作科学研究或药证申报,不能被用于人体,我们不向个人提供产品和服务。请您遵守承诺用途,不得违反法律法规规定用于任何其他用途。
实验操作小课堂
常见问题解答
查看更多
联系我们获取更多批次信息
资源下载

产品介绍

生物活性
产品描述
Anti-MEF2A Antibody (5F773) is a Rabbit antibody targeting MEF2A. Anti-MEF2A Antibody (5F773) can be used in IHC,WB.
别名Serum response factor-like protein 1, Serum response factor like protein 1, RSRFC9, RSRFC4, Myocyte-specific enhancer factor 2A, Myocyte enhancer factor 2A, MEF2A_HUMAN, MEF2A, MEF2, MADS box transcription enhancer factor 2, polypeptide A (myocyte enhancer factor 2A), ADCAD1
Ig Type
IgG
克隆号
5F773
交叉反应
Human,Mouse,Rat
验证活性
1. Western blot analysis of MEF2A on rat spleen tissue lysate using anti-MEF2A antibody at 1/1,000 dilution.
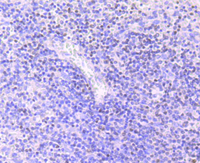
2. Immunohistochemical analysis of paraffin-embedded human tonsil tissue using anti-MEF2A antibody. Counter stained with hematoxylin.
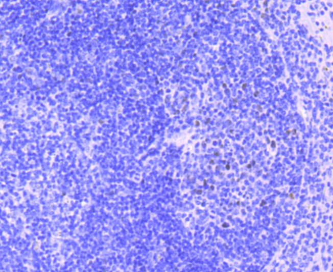
3. Immunohistochemical analysis of paraffin-embedded human spleen tissue using anti-MEF2A antibody. Counter stained with hematoxylin.
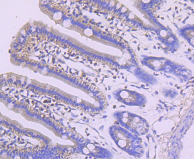
4. Immunohistochemical analysis of paraffin-embedded mouse colon tissue using anti-MEF2A antibody. Counter stained with hematoxylin.
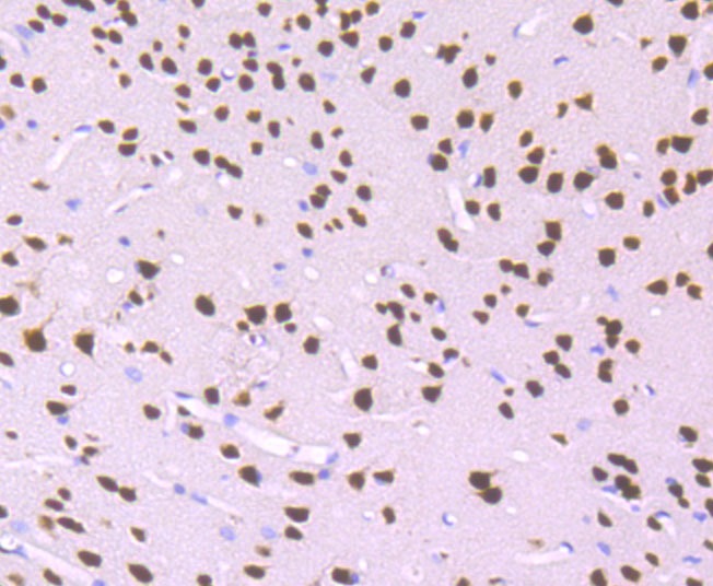
5. Immunohistochemical analysis of paraffin-embedded mouse cerebral cortex tissue using anti-MEF2A antibody. Counter stained with hematoxylin.
6. Immunohistochemical analysis of paraffin-embedded mouse spleen tissue using anti-MEF2A antibody. Counter stained with hematoxylin.
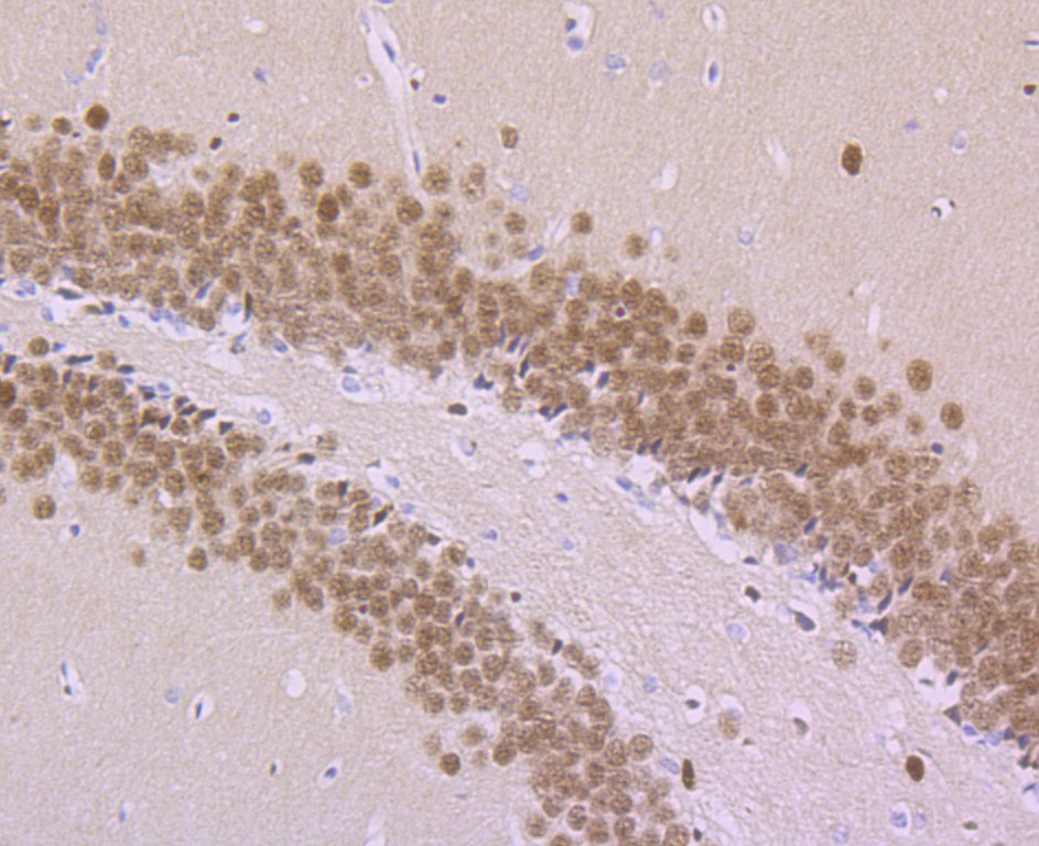
7. Immunohistochemical analysis of paraffin-embedded mouse hippocampus tissue using anti-MEF2A antibody. Counter stained with hematoxylin.
verifiedActivityverifiedActivityverifiedActivityverifiedActivityverifiedActivityverifiedActivityverifiedActivity
应用IHCWB
推荐剂量
WB: 1:500; IHC: 1:50-200; ICC: 1:50-200
抗体种类
Monoclonal
宿主来源Rabbit
构建方式Recombinant Antibody
纯化方式ProA affinity purified
性状Liquid
缓冲液1*TBS (pH7.4), 1%BSA, 40%Glycerol. Preservative: 0.05% Sodium Azide.
研究背景Transcriptional activator which binds specifically to the MEF2 element, 5'-YTA[AT]4TAR-3', found in numerous muscle-specific genes. Also involved in the activation of numerous growth factor- and stress-induced genes. Mediates cellular functions not only in skeletal and cardiac muscle development, but also in neuronal differentiation and survival. Plays diverse roles in the control of cell growth, survival and apoptosis via p38 MAPK signaling in muscle-specific and/or growth factor-related transcription. In cerebellar granule neurons, phosphorylated and sumoylated MEF2A represses transcription of NUR77 promoting synaptic differentiation. Associates with chromatin to the ZNF16 promoter.
偶联与修饰
偶联
Unconjugated
抗原信息
免疫原
Recombinant Protein
Uniprot ID
化学信息
分子量Theoretical: 54 kDa.
存储&运输
储存方式Store at -20°C or -80°C for 12 months. Avoid repeated freeze-thaw cycles.
运输方式Shipping with blue ice.

计算器

  • 稀释 计算器

评论列表

4个月前
5.0
Rating icon 很棒

评论内容

Related Tags: buy Anti-MEF2A Antibody (5F773) | purchase Anti-MEF2A Antibody (5F773) | Anti-MEF2A Antibody (5F773) cost | order Anti-MEF2A Antibody (5F773) | Anti-MEF2A Antibody (5F773) molecular weight