• TargetMol
    您的购物车当前为空

Anti-MAPK14 Antibody (8W839)

一键复制产品信息
Rating icon 还可以
产品编号 TMAC-02956

别名 Stress-activated protein kinase 2a, SAPK2A, SAPK2a, P38 MAPK, MXI2, Mitogen-activated protein kinase p38 alpha, Mitogen-activated protein kinase 14, MAX-interacting protein 2, MAPK 14, MAP kinase p38 alpha, MAP kinase MXI2, MAP kinase 14, EC 2.7.11.24, Cytokine suppressive anti-inflammatory drug-binding protein, CSBP2, CSBP1, CSBP, CSAID-binding protein

Anti-MAPK14 Antibody (8W839) 是一种 Rabbit 抗体,靶向 MAPK14。Anti-MAPK14 Antibody (8W839) 可用于 ICC/IF,IHC,WB。

Anti-MAPK14 Antibody (8W839)

Anti-MAPK14 Antibody (8W839)

一键复制产品信息
Rating icon 还可以
产品编号 TMAC-02956 别名 Stress-activated protein kinase 2a, SAPK2A, SAPK2a, P38 MAPK, MXI2, Mitogen-activated protein kinase p38 alpha, Mitogen-activated protein kinase 14, MAX-interacting protein 2, MAPK 14, MAP kinase p38 alpha, MAP kinase MXI2, MAP kinase 14, EC 2.7.11.24, Cytokine suppressive anti-inflammatory drug-binding protein, CSBP2, CSBP1, CSBP, CSAID-binding protein

Anti-MAPK14 Antibody (8W839) 是一种 Rabbit 抗体,靶向 MAPK14。Anti-MAPK14 Antibody (8W839) 可用于 ICC/IF,IHC,WB。

规格价格库存数量
50 μL
¥ 1,495
5日内发货
100 μL
¥ 2,485
5日内发货
大包装 & 定制
加入购物车
TargetMol 的所有产品仅用作科学研究或药证申报,不能被用于人体,我们不向个人提供产品和服务。请您遵守承诺用途,不得违反法律法规规定用于任何其他用途。
实验操作小课堂
常见问题解答
查看更多
联系我们获取更多批次信息
资源下载

产品介绍

生物活性
产品描述
Anti-MAPK14 Antibody (8W839) is a Rabbit antibody targeting MAPK14. Anti-MAPK14 Antibody (8W839) can be used in ICC/IF,IHC,WB.
别名Stress-activated protein kinase 2a, SAPK2A, SAPK2a, P38 MAPK, MXI2, Mitogen-activated protein kinase p38 alpha, Mitogen-activated protein kinase 14, MAX-interacting protein 2, MAPK 14, MAP kinase p38 alpha, MAP kinase MXI2, MAP kinase 14, EC 2.7.11.24, Cytokine suppressive anti-inflammatory drug-binding protein, CSBP2, CSBP1, CSBP, CSAID-binding protein
Ig Type
IgG
克隆号
8W839
交叉反应
Human,Mouse,Rat
验证活性
1. Western blot analysis of p38 MAPK on different lysates using anti-p38 MAPK antibody at 1/1,000 dilution. Positive control: Lane 1: NIH/3T3, Lane 2: Human brain, Lane 3: 293.
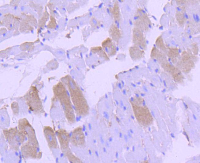
2. Immunohistochemical analysis of paraffin-embedded mouse heart tissue using anti-p38 MAPK antibody. Counter stained with hematoxylin.
3. ICC staining p38 MAPK in Hela cells (red). The nuclear counter stain is DAPI (blue). Cells were fixed in paraformaldehyde, permeabilised with 0.25% Triton X100/PBS.
4. ICC staining p38 MAPK in NIH/3T3 cells (red). The nuclear counter stain is DAPI (blue). Cells were fixed in paraformaldehyde, permeabilised with 0.25% Triton X100/PBS.
5. ICC staining p38 MAPK in 293T cells (red). The nuclear counter stain is DAPI (blue). Cells were fixed in paraformaldehyde, permeabilised with 0.25% Triton X100/PBS.
verifiedActivityverifiedActivityverifiedActivityverifiedActivityverifiedActivity
应用ICC/IFIHCWB
推荐剂量
WB: 1:1000-2000; IHC: 1:50-200; ICC/IF: 1:50-200
抗体种类
Monoclonal
宿主来源Rabbit
构建方式Recombinant Antibody
纯化方式ProA affinity purified
性状Liquid
缓冲液1*TBS (pH7.4), 1%BSA, 40%Glycerol. Preservative: 0.05% Sodium Azide.
研究背景MAP (mitogen-activated protein) kinases play a significant role in many biological processes, including cell adhesion and spreading, cell differentiation and apoptosis. p38α, p38β and p38γ, also known as MAPK14, MAPK11 and MAPK12, respectively, each contain one protein kinase domain and belong to the MAP kinase family. Expressed in different areas throughout the body with common expression patterns in heart, p38 proteins use magnesium as a cofactor to catalyze the ATP-dependent phosphorylation of target proteins. Via their catalytic activity, p38α, p38β and p38γ are involved in a variety of events throughout the cell, including signal transduction pathways, cytokine production and cell proliferation and differentiation. The p38 proteins are subject to phosphoryation on Thr and Tyr residues, an event which is thought to activate the phosphorylated protein.
偶联与修饰
偶联
Unconjugated
抗原信息
免疫原
Recombinant Protein
Uniprot ID
化学信息
分子量Theoretical: 41 kDa.
存储&运输
储存方式Store at -20°C or -80°C for 12 months. Avoid repeated freeze-thaw cycles.
运输方式Shipping with blue ice.

计算器

  • 稀释 计算器

评论列表

4个月前
5.0
Rating icon 很棒

评论内容

Related Tags: buy Anti-MAPK14 Antibody (8W839) | purchase Anti-MAPK14 Antibody (8W839) | Anti-MAPK14 Antibody (8W839) cost | order Anti-MAPK14 Antibody (8W839) | Anti-MAPK14 Antibody (8W839) molecular weight