购物车
  • TargetMol
    您的购物车当前为空

Anti-MAP1LC3B Antibody (7N270)

Synonyms: Microtubule-associated proteins 1A/1B light chain 3B, Microtubule-associated protein 1 lig, MAP1A/MAP1B light chain 3 B, MAP1A/MAP1B LC3 B, MAP1 light chain 3-like protein 2, Autophagy-related ubiquitin-like modifier LC3 B, Autophagy-related protein LC3 B
货号 TMAC-02380 一键复制产品信息
Rating icon 还可以

Anti-MAP1LC3B Antibody (7N270) 是一种 Rabbit 抗体,靶向 MAP1LC3B。Anti-MAP1LC3B Antibody (7N270) 可用于 ICC/IF,IHC,IHF,IP,WB。

Anti-MAP1LC3B Antibody (7N270)

一键复制产品信息
Rating icon 还可以
货号 TMAC-02380

别名 Microtubule-associated proteins 1A/1B light chain 3B, Microtubule-associated protein 1 lig, MAP1A/MAP1B light chain 3 B, MAP1A/MAP1B LC3 B, MAP1 light chain 3-like protein 2, Autophagy-related ubiquitin-like modifier LC3 B, Autophagy-related protein LC3 B

Anti-MAP1LC3B Antibody (7N270) 是一种 Rabbit 抗体,靶向 MAP1LC3B。Anti-MAP1LC3B Antibody (7N270) 可用于 ICC/IF,IHC,IHF,IP,WB。

Anti-MAP1LC3B Antibody (7N270)
规格价格库存数量
50 μL
¥ 1,495
5日内发货
100 μL
¥ 2,490
5日内发货
库存状态实时更新,以官网显示为准,现货产品可直接加购物车下单
大包装 & 定制
加入购物车

TargetMol的所有产品仅用作科学研究或药证申报,不能被用于人体,我们不向个人提供产品和服务。请您遵守承诺用途,不得违反法律法规规定用于任何其他用途。

实验操作小课堂
常见问题解答
查看更多

资源下载:产品操作手册

产品介绍


生物活性
产品描述
Anti-MAP1LC3B Antibody (7N270) is a Rabbit antibody targeting MAP1LC3B. Anti-MAP1LC3B Antibody (7N270) can be used in ICC/IF,IHC,IHF,IP,WB.
别名
Microtubule-associated proteins 1A/1B light chain 3B, Microtubule-associated protein 1 lig, MAP1A/MAP1B light chain 3 B, MAP1A/MAP1B LC3 B, MAP1 light chain 3-like protein 2, Autophagy-related ubiquitin-like modifier LC3 B, Autophagy-related protein LC3 B
Ig Type
IgG
克隆号
7N270
反应种属
Human,Mouse,Rat
验证活性
1. All lanes use the Antibody at 1:3000 dilution for 12 hour at 4℃.
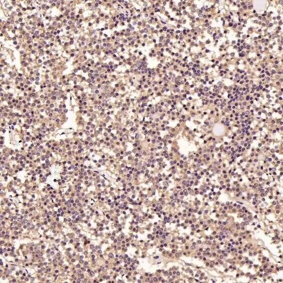
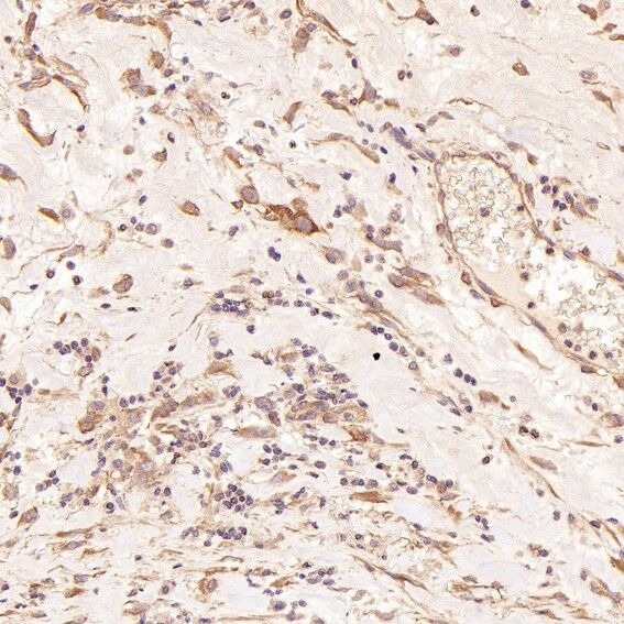
2. Immunohistochemical analysis of paraffin-embedded Human pituitary tumor, using the Antibody at 1:50 dilution.
3. Immunohistochemical analysis of paraffin-embedded Human esophageal carcinoma, using the Antibody at 1:50 dilution.
4. Immunofluorescent analysis using the Antibody at 1:150 dilution.
5. All lanes: LC3B Rabbit mAb at 1/2k dilution, Lane 1: Human brain lysate, Lane 2: RAW 264.7 cell lysate, Lane 3: C6 cell lysate, Lane 4: 293 cell lysate, Lane 5: THP-1 cell lysate, Lane 6: A431 cell lysate, Lane 7: SH-SY5Y cell lysate, Secondary All lanes: Goat Anti-Rabbit IgG H&L (HRP) at 1/10000 dilution, Predicted band size: 14,16 kDa, Observed band size: 14,16 kDa, Exposure time: 130 seconds.
verifiedActivityverifiedActivityverifiedActivityverifiedActivityverifiedActivity
应用ICC/IFIHCIHFIPWB
推荐剂量
WB: 1:1000-2000; IHC: 1:100-200; ICC/IF: 1:50-200; IHF: 1:50-200; IP: 1:20-50
抗体种类
Monoclonal
宿主来源Rabbit
构建方式Recombinant Antibody
纯化方式ProA affinity purified
性状Liquid
缓冲液1*TBS (pH7.4), 1%BSA, 40%Glycerol. Preservative: 0.05% Sodium Azide.
研究背景Microtubule-associated proteins (MAPs) regulate microtubule stability and play critical roles in neuronal development and in maintaining the balance between neuronal plasticity and rigidity. MAP-light chain 3 beta (MAP-LC3β) and MAP-light chain 3 alpha (MAP-LC3α) are subunits of both MAP1A and MAP1B. MAP-LC3β, a homolog of Apg8p, is essential for autophagy and associated to the autophagosome membranes after processing. Two forms of LC3β, the cytosolic LC3-I and the membrane-bound LC3-II, are produced post-translationally. LC3-I is formed by the removal of the C-terminal 22 amino acids from newly synthesized LC3β, followed by the conversion of a fraction of LC3-I into LC3-II. LC3 enhances fibronectin mRNA translation in ductus arteriosus cells through association with 60S ribosomes and binding to an AU-rich element in the 3?? untranslated region of fibronectin mRNA. This facilitates sorting of fibronectin mRNA onto rough endoplasmic reticulum and translation. MAP LC3β may also be involved in formation of autophagosomal vacuoles. It is expressed primarily in heart, testis, brain and skeletal muscle.
偶联与修饰
偶联
Unconjugated
抗原信息
免疫原
Recombinant Protein
Uniprot ID
化学信息
分子量Theoretical: 14, 16 kDa.
储存&溶解度
储存方式Store at -20°C or -80°C for 12 months. Avoid repeated freeze-thaw cycles.
运输方式Shipping with blue ice.

计算器

  • 稀释 计算器
  • 配液 计算器
Related Tags: buy Anti-MAP1LC3B Antibody (7N270) | purchase Anti-MAP1LC3B Antibody (7N270) | Anti-MAP1LC3B Antibody (7N270) cost | order Anti-MAP1LC3B Antibody (7N270) | Anti-MAP1LC3B Antibody (7N270) molecular weight