购物车
  • TargetMol
    您的购物车当前为空

Anti-Lipocalin-2/LCN2 Antibody (7K2)

Synonyms: Siderocalin LCN2, p25, Oncogene 24p3, NGAL, MSFI, Lipocalin-2
货号 TMAC-02405 一键复制产品信息
Rating icon 还可以

Anti-Lipocalin-2/LCN2 Antibody (7K2) 是一种 Rabbit 抗体,靶向 Lipocalin-2/LCN2。Anti-Lipocalin-2/LCN2 Antibody (7K2) 可用于 ICC/IF,IHC,WB。

Anti-Lipocalin-2/LCN2 Antibody (7K2)

一键复制产品信息
Rating icon 还可以
货号 TMAC-02405

别名 Siderocalin LCN2, p25, Oncogene 24p3, NGAL, MSFI, Lipocalin-2

Anti-Lipocalin-2/LCN2 Antibody (7K2) 是一种 Rabbit 抗体,靶向 Lipocalin-2/LCN2。Anti-Lipocalin-2/LCN2 Antibody (7K2) 可用于 ICC/IF,IHC,WB。

Anti-Lipocalin-2/LCN2 Antibody (7K2)
规格价格库存数量
50 μL
¥ 1,485
5日内发货
100 μL
¥ 2,495
5日内发货
库存状态实时更新,以官网显示为准,现货产品可直接加购物车下单
大包装 & 定制
加入购物车

TargetMol的所有产品仅用作科学研究或药证申报,不能被用于人体,我们不向个人提供产品和服务。请您遵守承诺用途,不得违反法律法规规定用于任何其他用途。

实验操作小课堂
常见问题解答
查看更多

资源下载:产品操作手册

产品介绍


生物活性
产品描述
Anti-Lipocalin-2/LCN2 Antibody (7K2) is a Rabbit antibody targeting Lipocalin-2/LCN2. Anti-Lipocalin-2/LCN2 Antibody (7K2) can be used in ICC/IF,IHC,WB.
别名
Siderocalin LCN2, p25, Oncogene 24p3, NGAL, MSFI, Lipocalin-2
Ig Type
IgG
克隆号
7K2
反应种属
Human
验证活性
1. Western blot analysis of Lipocalin-2 on A431 cells lysates using anti-Lipocalin-2 antibody at 1/500 dilution.
2. Immunohistochemical analysis of paraffin-embedded human stomach cancer tissue using anti-Lipocalin-2 antibody. Counter stained with hematoxylin.
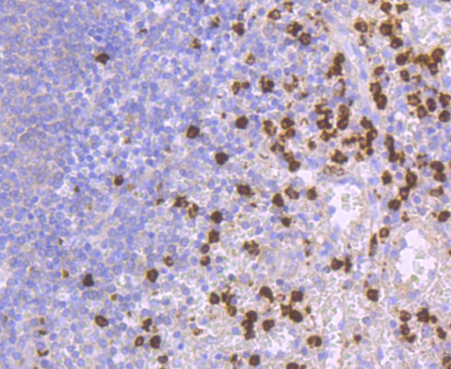
3. Immunohistochemical analysis of paraffin-embedded human spleen tissue using anti-Lipocalin-2 antibody. Counter stained with hematoxylin.
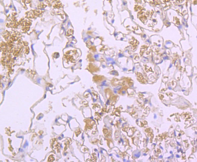
4. Immunohistochemical analysis of paraffin-embedded human lung tissue using anti-Lipocalin-2 antibody. Counter stained with hematoxylin.
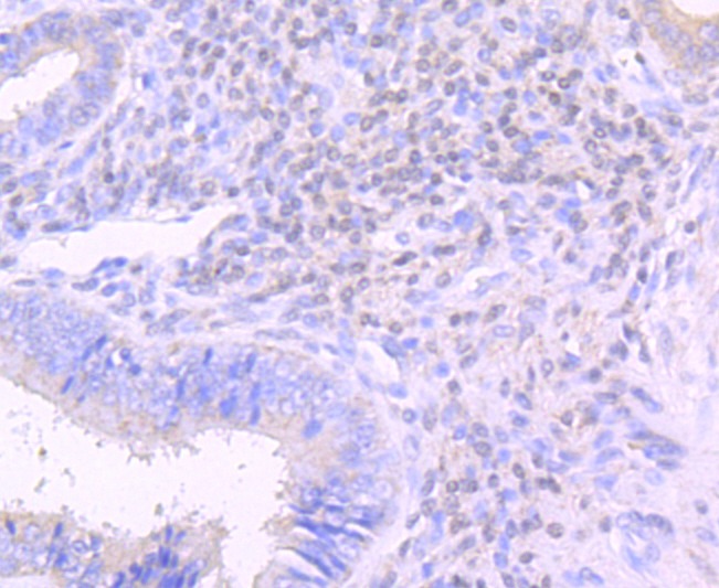
5. Immunohistochemical analysis of paraffin-embedded human uterus tissue using anti-Lipocalin-2 antibody. Counter stained with hematoxylin.
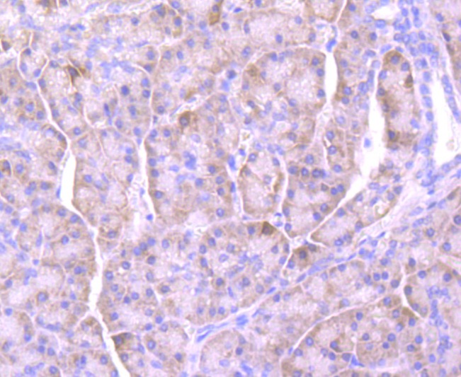
6. Immunohistochemical analysis of paraffin-embedded human pancreas tissue using anti-Lipocalin-2 antibody. Counter stained with hematoxylin.
7. ICC staining Lipocalin-2 in 293T cells (red). The nuclear counter stain is DAPI (blue). Cells were fixed in paraformaldehyde, permeabilised with 0.25% Triton X100/PBS.
8. ICC staining Lipocalin-2 in Hela cells (red). The nuclear counter stain is DAPI (blue). Cells were fixed in paraformaldehyde, permeabilised with 0.25% Triton X100/PBS.
9. ICC staining Lipocalin-2 in SW480 cells (red). The nuclear counter stain is DAPI (blue). Cells were fixed in paraformaldehyde, permeabilised with 0.25% Triton X100/PBS.
verifiedActivityverifiedActivityverifiedActivityverifiedActivityverifiedActivityverifiedActivityverifiedActivityverifiedActivityverifiedActivity
应用ICC/IFIHCWB
推荐剂量
WB: 1:1000-5000; IHC: 1:50-200; ICC/IF: 1:100-500; FCM: 1:50-100
抗体种类
Monoclonal
宿主来源Rabbit
构建方式Recombinant Antibody
纯化方式ProA affinity purified
性状Liquid
缓冲液1*TBS (pH7.4), 1%BSA, 40%Glycerol. Preservative: 0.05% Sodium Azide.
研究背景In addition to the monomeric mammalian progelatinase, two additional forms of progelatinase have been identified. The shorter of these additional forms is a covalently linked, disulfide-bridged protein that heterodimerizes with a short protein; an α2-Microglobulin-related protein known as neutrophil gelatinase-associated lipocalin (NGAL), which is moderately expressed in breast and lung tissues. NGAL belongs to the lipocalin family and has a high degree of similarity with rat α2-Microglobulin-related protein and mouse protein 24p3. NGAL is able to bind a derivative of the bacterial chemotactic peptide, suggesting that it has important immuno-modulatory functions. NGAL has been described as an inflammatory protein; it is released into the circulation as a result of the inflammatory activation of leukocytes initiated by the extra-corporeal circulation. In addition, NGAL synthesis is induced in epithelial cells in inflammatory and neoplastic colorectal diseases. In conclusion, NGAL may serve as a scavenger of bacterial products to function in the inflammatory process.
偶联与修饰
偶联
Unconjugated
抗原信息
免疫原
Recombinant Protein
Uniprot ID
化学信息
分子量Theoretical: 23 kDa.
储存&溶解度
储存方式Store at -20°C or -80°C for 12 months. Avoid repeated freeze-thaw cycles.
运输方式Shipping with blue ice.

计算器

  • 稀释 计算器
  • 配液 计算器
Related Tags: buy Anti-Lipocalin-2/LCN2 Antibody (7K2) | purchase Anti-Lipocalin-2/LCN2 Antibody (7K2) | Anti-Lipocalin-2/LCN2 Antibody (7K2) cost | order Anti-Lipocalin-2/LCN2 Antibody (7K2) | Anti-Lipocalin-2/LCN2 Antibody (7K2) molecular weight