购物车
  • TargetMol
    您的购物车当前为空

Anti-Lamin B1 Antibody (8Q243)

Synonyms: MCPH26, LMNB 1, LMNB, LMN2, LMN, Lamin-B1, ADLD
货号 TMAC-02363 一键复制产品信息
Rating icon 还可以

Anti-Lamin B1 Antibody (8Q243) 是一种 Rabbit 抗体,靶向 Lamin B1。Anti-Lamin B1 Antibody (8Q243) 可用于 ICC/IF,IHC,IP,WB。

Anti-Lamin B1 Antibody (8Q243)

一键复制产品信息
Rating icon 还可以
货号 TMAC-02363

别名 MCPH26, LMNB 1, LMNB, LMN2, LMN, Lamin-B1, ADLD

Anti-Lamin B1 Antibody (8Q243) 是一种 Rabbit 抗体,靶向 Lamin B1。Anti-Lamin B1 Antibody (8Q243) 可用于 ICC/IF,IHC,IP,WB。

Anti-Lamin B1 Antibody (8Q243)
规格价格库存数量
50 μL
¥ 1,490
5日内发货
100 μL
¥ 2,480
5日内发货
库存状态实时更新,以官网显示为准,现货产品可直接加购物车下单
大包装 & 定制
加入购物车

TargetMol的所有产品仅用作科学研究或药证申报,不能被用于人体,我们不向个人提供产品和服务。请您遵守承诺用途,不得违反法律法规规定用于任何其他用途。

实验操作小课堂
常见问题解答
查看更多

资源下载:产品操作手册

产品介绍


生物活性
产品描述
Anti-Lamin B1 Antibody (8Q243) is a Rabbit antibody targeting Lamin B1. Anti-Lamin B1 Antibody (8Q243) can be used in ICC/IF,IHC,IP,WB.
别名
MCPH26, LMNB 1, LMNB, LMN2, LMN, Lamin-B1, ADLD
Ig Type
IgG
克隆号
8Q243
反应种属
Human,Mouse,Rat
验证活性
1. Western blot analysis of Lamin B1 on different lysates using anti-Lamin B1 antibody at 1/1,000 dilution. Positive control: Lane 1: Mouse liver, Lane 2: Mouse brain.
2. Immunohistochemical analysis of paraffin-embedded human liver tissue using anti-Lamin B1 antibody. Counter stained with hematoxylin.
3. Immunohistochemical analysis of paraffin-embedded human colon cancer tissue using anti-Lamin B1 antibody. Counter stained with hematoxylin.
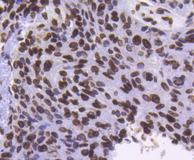
4. Immunohistochemical analysis of paraffin-embedded human breast carcinoma tissue using anti-Lamin B1 antibody. Counter stained with hematoxylin.
5. Immunohistochemical analysis of paraffin-embedded mouse colon tissue using anti-Lamin B1 antibody. Counter stained with hematoxylin.
6. Immunohistochemical analysis of paraffin-embedded mouse brain tissue using anti-Lamin B1 antibody. Counter stained with hematoxylin.
verifiedActivityverifiedActivityverifiedActivityverifiedActivityverifiedActivityverifiedActivity
应用ICC/IFIHCIPWB
推荐剂量
WB: 1:1000; IHC: 1:100-500; ICC/IF: 1:50-200
抗体种类
Monoclonal
宿主来源Rabbit
构建方式Recombinant Antibody
纯化方式ProA affinity purified
性状Liquid
缓冲液1*TBS (pH7.4), 1%BSA, 40%Glycerol. Preservative: 0.05% Sodium Azide.
研究背景A unique family of cysteine proteases has been described that differs in sequence, structure and substrate specificity from any previously described protease family. This family, termed Ced-3/ICE, functions as key components of the apoptotic machinery and act to destroy specific target proteins which are critical to cellular longevity. Nuclear lamins are critical to maintaining the integrity of the nuclear envelope and cellular morphology as components of the nuclear lamina, a fibrous layer on the nucleoplasmic side of the inner nuclear membrane, which is thought to provide a framework for the nuclear envelope and may also interact with chromatin. B-type lamins undergo a series of modifications, such as farnesylation and phosphorylation. Increased phosphorylation of the lamins occurs before envelope disintegration and probably plays a role in regulating lamin associations. Nuclear Lamin B is fragmented as a consequence of apoptosis by an unidentified member of the ICE family.
偶联与修饰
偶联
Unconjugated
抗原信息
免疫原
Recombinant Protein
Uniprot ID
化学信息
分子量Theoretical: 70 kDa.
储存&溶解度
储存方式Store at -20°C or -80°C for 12 months. Avoid repeated freeze-thaw cycles.
运输方式Shipping with blue ice.

计算器

  • 稀释 计算器
  • 配液 计算器
Related Tags: buy Anti-Lamin B1 Antibody (8Q243) | purchase Anti-Lamin B1 Antibody (8Q243) | Anti-Lamin B1 Antibody (8Q243) cost | order Anti-Lamin B1 Antibody (8Q243) | Anti-Lamin B1 Antibody (8Q243) molecular weight