购物车
  • TargetMol
    您的购物车当前为空

Anti-KLHDC3 Antibody (6T418)

Synonyms: Testis intracellular mediator protein, PEAS, KLHDC3, Kelch domain-containing protein 3
货号 TMAC-02328 一键复制产品信息
Rating icon 还可以

Anti-KLHDC3 Antibody (6T418) 是一种 Mouse 抗体,靶向 KLHDC3。Anti-KLHDC3 Antibody (6T418) 可用于 IHC,WB。

Anti-KLHDC3 Antibody (6T418)

一键复制产品信息
Rating icon 还可以
货号 TMAC-02328

别名 Testis intracellular mediator protein, PEAS, KLHDC3, Kelch domain-containing protein 3

Anti-KLHDC3 Antibody (6T418) 是一种 Mouse 抗体,靶向 KLHDC3。Anti-KLHDC3 Antibody (6T418) 可用于 IHC,WB。

Anti-KLHDC3 Antibody (6T418)
规格价格库存数量
50 μL
¥ 1,990
5日内发货
100 μL
¥ 2,995
5日内发货
库存状态实时更新,以官网显示为准,现货产品可直接加购物车下单
大包装 & 定制
加入购物车

TargetMol的所有产品仅用作科学研究或药证申报,不能被用于人体,我们不向个人提供产品和服务。请您遵守承诺用途,不得违反法律法规规定用于任何其他用途。

实验操作小课堂
常见问题解答
查看更多

资源下载:产品操作手册

产品介绍


生物活性
产品描述
Anti-KLHDC3 Antibody (6T418) is a Mouse antibody targeting KLHDC3. Anti-KLHDC3 Antibody (6T418) can be used in IHC,WB.
别名
Testis intracellular mediator protein, PEAS, KLHDC3, Kelch domain-containing protein 3
克隆号
6T418
反应种属
Mouse
验证活性
1. Western blot analysis on mouse testis tissue lysates using anti-KLHDC3 mouse mAb.
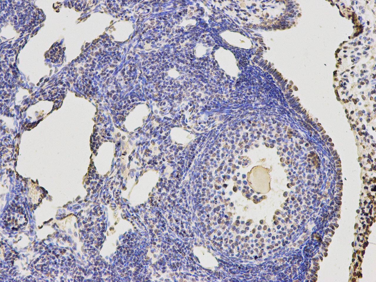
2. Immunohistochemical analysis of paraffin-embedded mouse ovary tissue using anti- KLHDC3 mouse mAb.
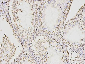
3. Immunohistochemical analysis of paraffin-embedded mouse testis tissue using anti- KLHDC3 mouse mAb.
verifiedActivityverifiedActivityverifiedActivity
应用IHCWB
推荐剂量
WB: 1:2000-5000; IHC: 1:200-500
抗体种类
Monoclonal
宿主来源Mouse
构建方式Hybridoma Monoclonal Antibody
纯化方式ProA affinity purified
性状Liquid
缓冲液1*TBS (pH7.4),0.5%BSA, 40%Glycerol. Preservative: 0.05% Sodium Azide.
研究背景Peas is specifically expressed in testis, localized in pachytene spermatocyte cytoplasm and chromatin, and homologous to RAG2 raise a possibility that Peas might be involved in the meiotic recombination in testis.
偶联与修饰
偶联
Unconjugated
抗原信息
免疫原
Recombinant Protein
Uniprot ID
化学信息
分子量Theoretical: 43 kDa.
储存&溶解度
储存方式Store at -20°C or -80°C for 12 months. Avoid repeated freeze-thaw cycles.
运输方式Shipping with blue ice.

计算器

  • 稀释 计算器
  • 配液 计算器

关键词

Related Tags: buy Anti-KLHDC3 Antibody (6T418) | purchase Anti-KLHDC3 Antibody (6T418) | Anti-KLHDC3 Antibody (6T418) cost | order Anti-KLHDC3 Antibody (6T418) | Anti-KLHDC3 Antibody (6T418) molecular weight