购物车
  • TargetMol
    您的购物车当前为空

Anti-KCNA1 Antibody (7W682)

Synonyms: Voltage-gated potassium channel subunit Kv1.1, Voltage-gated potassium channel HBK1, Voltage-gated K(+) channel HuKI, Potassium voltage-gated channel subfamily A member 1, KCNA1
货号 TMAC-02348 一键复制产品信息
Rating icon 还可以

Anti-KCNA1 Antibody (7W682) 是一种 Rabbit 抗体,靶向 KCNA1。Anti-KCNA1 Antibody (7W682) 可用于 IHC,IP,WB。

Anti-KCNA1 Antibody (7W682)

一键复制产品信息
Rating icon 还可以
货号 TMAC-02348

别名 Voltage-gated potassium channel subunit Kv1.1, Voltage-gated potassium channel HBK1, Voltage-gated K(+) channel HuKI, Potassium voltage-gated channel subfamily A member 1, KCNA1

Anti-KCNA1 Antibody (7W682) 是一种 Rabbit 抗体,靶向 KCNA1。Anti-KCNA1 Antibody (7W682) 可用于 IHC,IP,WB。

Anti-KCNA1 Antibody (7W682)
规格价格库存数量
50 μL
¥ 1,485
5日内发货
100 μL
¥ 2,495
5日内发货
库存状态实时更新,以官网显示为准,现货产品可直接加购物车下单
大包装 & 定制
加入购物车

TargetMol的所有产品仅用作科学研究或药证申报,不能被用于人体,我们不向个人提供产品和服务。请您遵守承诺用途,不得违反法律法规规定用于任何其他用途。

实验操作小课堂
常见问题解答
查看更多

资源下载:产品操作手册

产品介绍


生物活性
产品描述
Anti-KCNA1 Antibody (7W682) is a Rabbit antibody targeting KCNA1. Anti-KCNA1 Antibody (7W682) can be used in IHC,IP,WB.
别名
Voltage-gated potassium channel subunit Kv1.1, Voltage-gated potassium channel HBK1, Voltage-gated K(+) channel HuKI, Potassium voltage-gated channel subfamily A member 1, KCNA1
Ig Type
IgG
克隆号
7W682
反应种属
Human,Mouse,Rat
验证活性
1. Western blot analysis of Kv1.1 potassium channel on human brain lysates using anti-Kv1.1 potassium channel antibody at 1/1,000 dilution.
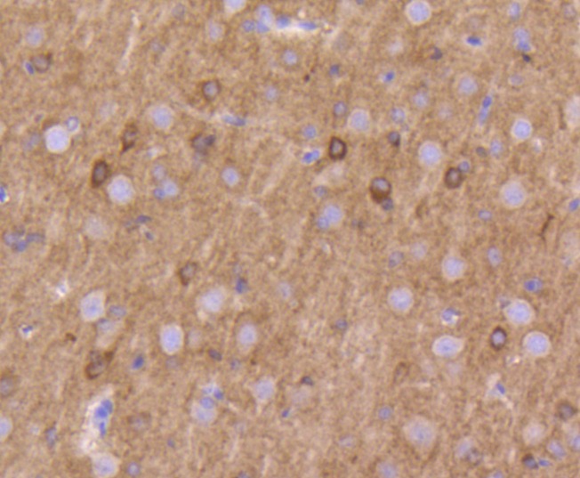
2. Immunohistochemical analysis of paraffin-embedded rat brain tissue using anti-Kv1.1 potassium channel antibody. Counter stained with hematoxylin.
verifiedActivityverifiedActivity
应用IHCIPWB
推荐剂量
WB: 1:5000-10000; IHC: 1:50-200
抗体种类
Monoclonal
宿主来源Rabbit
构建方式Recombinant Antibody
纯化方式ProA affinity purified
性状Liquid
缓冲液1*TBS (pH7.4), 1%BSA, 40%Glycerol. Preservative: 0.05% Sodium Azide.
研究背景Voltage-gated K+ channels in the plasma membrane control the repolarization and the frequency of action potentials in neurons, muscles, and other excitable cells. The KV gene family encodes more than 30 genes that comprise the subunits of the K+ channels, and they vary in their gating and permeation properties, subcellular distribution, and expression patterns. Functional KV channels assemble as tetramers consisting of pore-forming -subunits (KVα), which include the KV1, KV2, KV3, and KV4 proteins, and accessory or KVβ subunits that modify the gating properties of the coexpressed KVα subunits. Differences exist in the patterns of trafficking, biosynthetic processing and surface expression of the major KV1 subunits (KV1.1, KV1.2, KV1.4, KV1.5 and KV1.6) expressed in rat and human brain, suggesting that the individual protein subunits are highly regulated to control for the assembly and formation of functional neuronal channels.
偶联与修饰
偶联
Unconjugated
抗原信息
免疫原
Recombinant Protein
Uniprot ID
化学信息
分子量Theoretical: 56 kDa.
储存&溶解度
储存方式Store at -20°C or -80°C for 12 months. Avoid repeated freeze-thaw cycles.
运输方式Shipping with blue ice.

计算器

  • 稀释 计算器
  • 配液 计算器

关键词

Related Tags: buy Anti-KCNA1 Antibody (7W682) | purchase Anti-KCNA1 Antibody (7W682) | Anti-KCNA1 Antibody (7W682) cost | order Anti-KCNA1 Antibody (7W682) | Anti-KCNA1 Antibody (7W682) molecular weight