购物车
  • TargetMol
    您的购物车当前为空

Anti-HSD11B1 Antibody (6B221)

Synonyms: Short chain dehydrogenase/reductase family 26C member 1, SDR26C1, HSD11L, HSD11B1, HSD11, Corticosteroid 11-beta-dehydrogenase isozyme 1, 7-oxosteroid reductase, 11-DH, 11-beta-hydroxysteroid dehydrogenase 1, 11-beta-HSD1
货号 TMAC-02021 一键复制产品信息
Rating icon 还可以

Anti-HSD11B1 Antibody (6B221) 是一种 Rabbit 抗体,靶向 HSD11B1。Anti-HSD11B1 Antibody (6B221) 可用于 IHC,WB。

Anti-HSD11B1 Antibody (6B221)

一键复制产品信息
Rating icon 还可以
货号 TMAC-02021

别名 Short chain dehydrogenase/reductase family 26C member 1, SDR26C1, HSD11L, HSD11B1, HSD11, Corticosteroid 11-beta-dehydrogenase isozyme 1, 7-oxosteroid reductase, 11-DH, 11-beta-hydroxysteroid dehydrogenase 1, 11-beta-HSD1

Anti-HSD11B1 Antibody (6B221) 是一种 Rabbit 抗体,靶向 HSD11B1。Anti-HSD11B1 Antibody (6B221) 可用于 IHC,WB。

Anti-HSD11B1 Antibody (6B221)
规格价格库存数量
50 μL
¥ 1,490
5日内发货
100 μL
¥ 2,490
5日内发货
库存状态实时更新,以官网显示为准,现货产品可直接加购物车下单
大包装 & 定制
加入购物车

TargetMol的所有产品仅用作科学研究或药证申报,不能被用于人体,我们不向个人提供产品和服务。请您遵守承诺用途,不得违反法律法规规定用于任何其他用途。

实验操作小课堂
常见问题解答
查看更多

资源下载:产品操作手册

产品介绍


生物活性
产品描述
Anti-HSD11B1 Antibody (6B221) is a Rabbit antibody targeting HSD11B1. Anti-HSD11B1 Antibody (6B221) can be used in IHC,WB.
别名
Short chain dehydrogenase/reductase family 26C member 1, SDR26C1, HSD11L, HSD11B1, HSD11, Corticosteroid 11-beta-dehydrogenase isozyme 1, 7-oxosteroid reductase, 11-DH, 11-beta-hydroxysteroid dehydrogenase 1, 11-beta-HSD1
Ig Type
IgG
克隆号
6B221
反应种属
Human,Mouse,Rat
验证活性
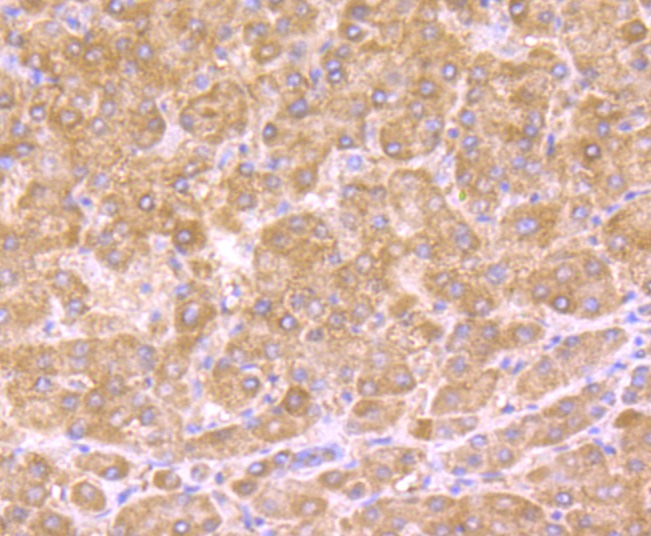
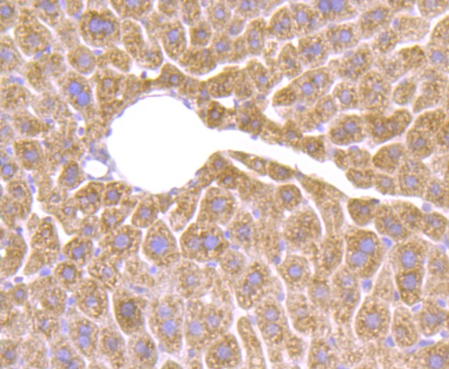
1. Immunohistochemical analysis of paraffin-embedded human liver tissue using anti-HSD11B1 antibody. Counter stained with hematoxylin.
2. Immunohistochemical analysis of paraffin-embedded mouse liver tissue using anti-HSD11B1 antibody. Counter stained with hematoxylin.
3. Western blot analysis of HSD11B1 expression in human fetal liver lysate.
4. All lanes use the Antibody at 1:1K dilution for 1 hour at room temperature.
5. All lanes use the Antibody at 1:1K dilution for 1 hour at room temperature.
verifiedActivityverifiedActivityverifiedActivityverifiedActivityverifiedActivity
应用IHCWB
推荐剂量
WB: 1:1000-2000; IHC: 1:100-200
抗体种类
Monoclonal
宿主来源Rabbit
构建方式Recombinant Antibody
纯化方式Affinity-chromatography
性状Liquid
缓冲液Rabbit IgG in 10mM phosphate buffered saline , pH 7.4, 150mM sodium chloride, 0.05% BSA, 0.02% sodium azide and 50% glycerol.
研究背景Catalyzes reversibly the conversion of cortisol to the inactive metabolite cortisone. Catalyzes reversibly the conversion of 7-ketocholesterol to 7-beta-hydroxycholesterol. In intact cells, the reaction runs only in one direction, from 7-ketocholesterol to 7-beta-hydroxycholesterol.
偶联与修饰
偶联
Unconjugated
抗原信息
免疫原
A synthesized peptide: human HSD11B1
抗原种属
human
Uniprot ID
化学信息
分子量Theoretical: 32 kDa.
储存&溶解度
储存方式Store at 2°C-8°C for 1 month. Store at -20°C or -80°C for 12 months. Avoid repeated freeze-thaw cycles.
运输方式Shipping with blue ice.

计算器

  • 稀释 计算器
  • 配液 计算器
Related Tags: buy Anti-HSD11B1 Antibody (6B221) | purchase Anti-HSD11B1 Antibody (6B221) | Anti-HSD11B1 Antibody (6B221) cost | order Anti-HSD11B1 Antibody (6B221) | Anti-HSD11B1 Antibody (6B221) molecular weight