购物车
  • 全部删除
  • TargetMol
    您的购物车当前为空

Anti-HNRNPU Antibody (9L701)

一键复制产品信息
Rating icon 还可以
产品编号 TMAC-01999
别名 U21.1, Scaffold attachment factor A, SAF-A, SAFA, SAF A, pp120, p120 nuclear protein, p120, HNRPU_HUMAN, HNRPU, hnRNPU protein, HNRNPU, hnRNP U protein, hnRNP U, Heterogeneous nuclear ribonucleoprotein U

Anti-HNRNPU Antibody (9L701) 是一种 Rabbit 抗体,靶向 HNRNPU。Anti-HNRNPU Antibody (9L701) 可用于 ICC,IF,IHC,WB。

Anti-HNRNPU Antibody (9L701)

Anti-HNRNPU Antibody (9L701)

一键复制产品信息
Rating icon 还可以
产品编号 TMAC-01999 别名 U21.1, Scaffold attachment factor A, SAF-A, SAFA, SAF A, pp120, p120 nuclear protein, p120, HNRPU_HUMAN, HNRPU, hnRNPU protein, HNRNPU, hnRNP U protein, hnRNP U, Heterogeneous nuclear ribonucleoprotein U

Anti-HNRNPU Antibody (9L701) 是一种 Rabbit 抗体,靶向 HNRNPU。Anti-HNRNPU Antibody (9L701) 可用于 ICC,IF,IHC,WB。

规格价格库存数量
50 μL
¥ 1,495
5日内发货
100 μL
¥ 2,490
5日内发货
大包装 & 定制
加入购物车
TargetMol 的所有产品仅用作科学研究或药证申报,不能被用于人体,我们不向个人提供产品和服务。请您遵守承诺用途,不得违反法律法规规定用于任何其他用途。
实验操作小课堂
常见问题解答
查看更多
联系我们获取更多批次信息
资源下载

产品介绍

生物活性
产品描述
Anti-HNRNPU Antibody (9L701) is a Rabbit antibody targeting HNRNPU. Anti-HNRNPU Antibody (9L701) can be used in ICC,IF,IHC,WB.
别名U21.1, Scaffold attachment factor A, SAF-A, SAFA, SAF A, pp120, p120 nuclear protein, p120, HNRPU_HUMAN, HNRPU, hnRNPU protein, HNRNPU, hnRNP U protein, hnRNP U, Heterogeneous nuclear ribonucleoprotein U
Ig Type
IgG
克隆号
9L701
交叉反应
Human,Mouse,Rat
验证活性
1. Western blot analysis of HnRNP U on different cell lysates using anti-HnRNP U at 1/500 dilution. Positive control: Lane 1: NIH-3T3, Lane 2: SH-SY-5Y, Lane 3: K562.
2. Immunohistochemical analysis of paraffin-embedded rat brain tissue using anti-HnRNP U antibody. Counter stained with hematoxylin.
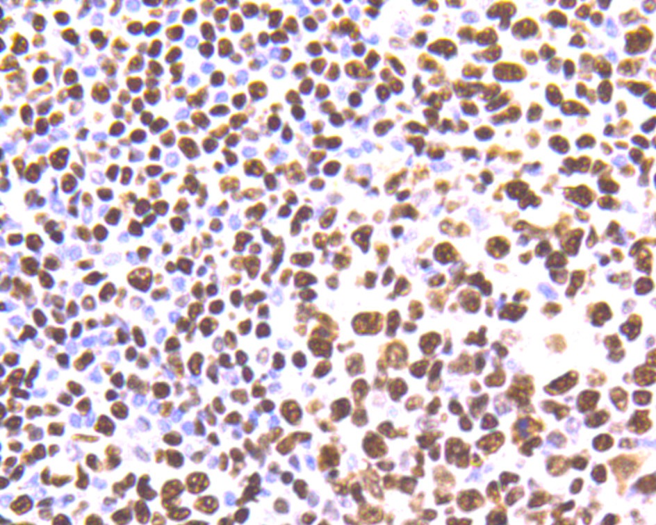
3. Immunohistochemical analysis of paraffin-embedded human tonsil tissue using anti-HnRNP U antibody. Counter stained with hematoxylin.
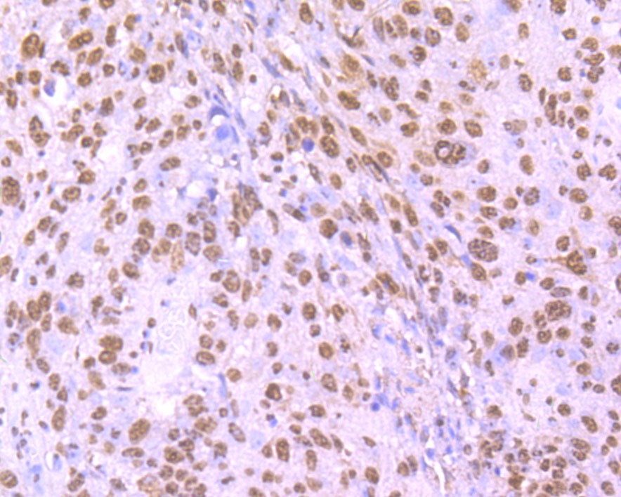
4. Immunohistochemical analysis of paraffin-embedded human lung cancer tissue using anti-HnRNP U antibody. Counter stained with hematoxylin.
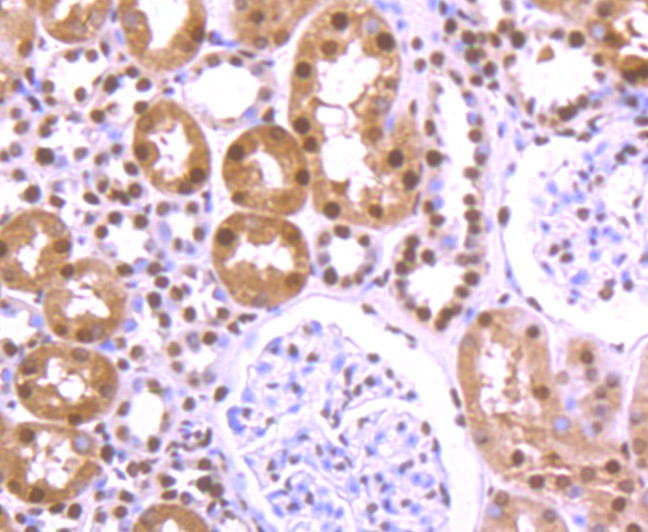
5. Immunohistochemical analysis of paraffin-embedded human kidney tissue using anti-HnRNP U antibody. Counter stained with hematoxylin.
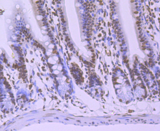
6. Immunohistochemical analysis of paraffin-embedded mouse colon tissue using anti-HnRNP U antibody. Counter stained with hematoxylin.
7. ICC staining HnRNP U in A431 cells (green). The nuclear counter stain is DAPI (blue). Cells were fixed in paraformaldehyde, permeabilised with 0.25% Triton X100/PBS.
8. ICC staining HnRNP U in HepG2 cells (green). The nuclear counter stain is DAPI (blue). Cells were fixed in paraformaldehyde, permeabilised with 0.25% Triton X100/PBS.
9. ICC staining HnRNP U in SHSY-5Y cells (green). The nuclear counter stain is DAPI (blue). Cells were fixed in paraformaldehyde, permeabilised with 0.25% Triton X100/PBS.
verifiedActivityverifiedActivityverifiedActivityverifiedActivityverifiedActivityverifiedActivityverifiedActivityverifiedActivityverifiedActivity
应用ICCIFIHCWB
推荐剂量
WB: 1:500-1000; IHC: 1:50-200; ICC: 1:100-500
抗体种类
Monoclonal
宿主来源Rabbit
构建方式Recombinant Antibody
纯化方式ProA affinity purified
性状Liquid
缓冲液1*TBS (pH7.4), 1%BSA, 40%Glycerol. Preservative: 0.05% Sodium Azide.
研究背景DNA- and RNA-binding protein involved in several cellular processes such as nuclear chromatin organization, telomere-length regulation, transcription, mRNA alternative splicing and stability, Xist-mediated transcriptional silencing and mitotic cell progression. Plays a role in the regulation of interphase large-scale gene-rich chromatin organization through chromatin-associated RNAs (caRNAs) in a transcription-dependent manner, and thereby maintains genomic stability. Plays a role as a RNA polymerase II (Pol II) holoenzyme transcription regulator. Promotes transcription initiation by direct association with the core-TFIIH basal transcription factor complex for the assembly of a functional pre-initiation complex with Pol II in a actin-dependent manner. Blocks Pol II transcription elongation activity by inhibiting the C-terminal domain (CTD) phosphorylation of Pol II and dissociates from Pol II pre-initiation complex prior to productive transcription elongation. Positively regulates CBX5-induced transcriptional gene silencing and retention of CBX5 in the nucleus.
偶联与修饰
偶联
Unconjugated
抗原信息
免疫原
Recombinant Protein
Uniprot ID
化学信息
分子量Theoretical: 120 kDa.
存储&运输
储存方式Store at -20°C or -80°C for 12 months. Avoid repeated freeze-thaw cycles.
运输方式Shipping with blue ice.

计算器

  • 稀释 计算器

评论列表

4个月前
5.0
Rating icon 很棒

评论内容

Related Tags: buy Anti-HNRNPU Antibody (9L701) | purchase Anti-HNRNPU Antibody (9L701) | Anti-HNRNPU Antibody (9L701) cost | order Anti-HNRNPU Antibody (9L701) | Anti-HNRNPU Antibody (9L701) molecular weight