购物车
  • 全部删除
  • TargetMol
    您的购物车当前为空

Anti-H2AFX Antibody (1G393)

一键复制产品信息
Rating icon 还可以
产品编号 TMAC-01850
别名 Histone H2AX, Histone H2A.X, H2AX, H2AFX, H2a/x

Anti-H2AFX Antibody (1G393) 是一种 Rabbit 抗体,靶向 H2AFX。Anti-H2AFX Antibody (1G393) 可用于 ICC/IF,IHC,IP,WB。

Anti-H2AFX Antibody (1G393)

Anti-H2AFX Antibody (1G393)

一键复制产品信息
Rating icon 还可以
产品编号 TMAC-01850 别名 Histone H2AX, Histone H2A.X, H2AX, H2AFX, H2a/x

Anti-H2AFX Antibody (1G393) 是一种 Rabbit 抗体,靶向 H2AFX。Anti-H2AFX Antibody (1G393) 可用于 ICC/IF,IHC,IP,WB。

规格价格库存数量
50 μL
¥ 1,485
5日内发货
100 μL
¥ 2,490
5日内发货
大包装 & 定制
加入购物车
TargetMol 的所有产品仅用作科学研究或药证申报,不能被用于人体,我们不向个人提供产品和服务。请您遵守承诺用途,不得违反法律法规规定用于任何其他用途。
实验操作小课堂
常见问题解答
查看更多
联系我们获取更多批次信息
资源下载

产品介绍

生物活性
产品描述
Anti-H2AFX Antibody (1G393) is a Rabbit antibody targeting H2AFX. Anti-H2AFX Antibody (1G393) can be used in ICC/IF,IHC,IP,WB.
别名Histone H2AX, Histone H2A.X, H2AX, H2AFX, H2a/x
Ig Type
IgG
克隆号
1G393
交叉反应
Human,Mouse,Rat
验证活性
1. Western blot analysis of Histone H2A.X on MCF-7 cell lysates using anti-Histone H2A.X antibody at 1/1,000 dilution.
2. Immunohistochemical analysis of paraffin-embedded rat brain tissue using anti-Histone H2A.X antibody. Counter stained with hematoxylin.
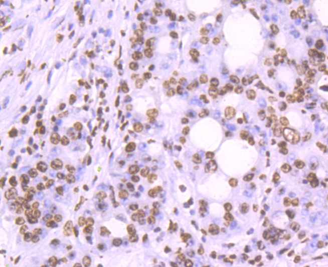
3. Immunohistochemical analysis of paraffin-embedded human stomach cancer tissue using anti-Histone H2A.X antibody. Counter stained with hematoxylin.
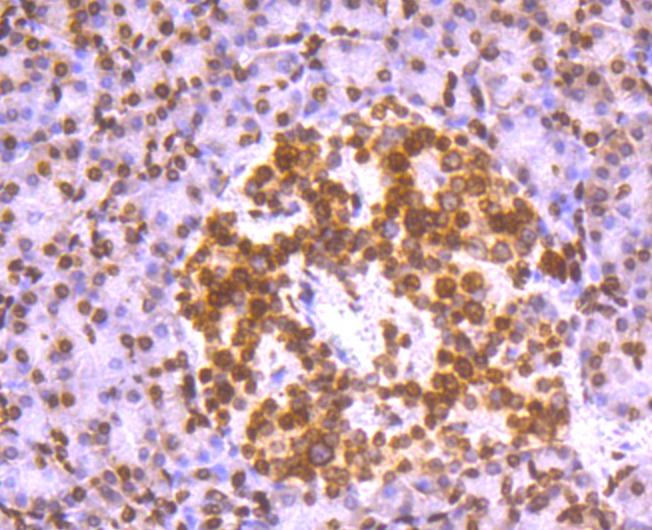
4. Immunohistochemical analysis of paraffin-embedded human pancreas tissue using anti-Histone H2A.X antibody. Counter stained with hematoxylin.
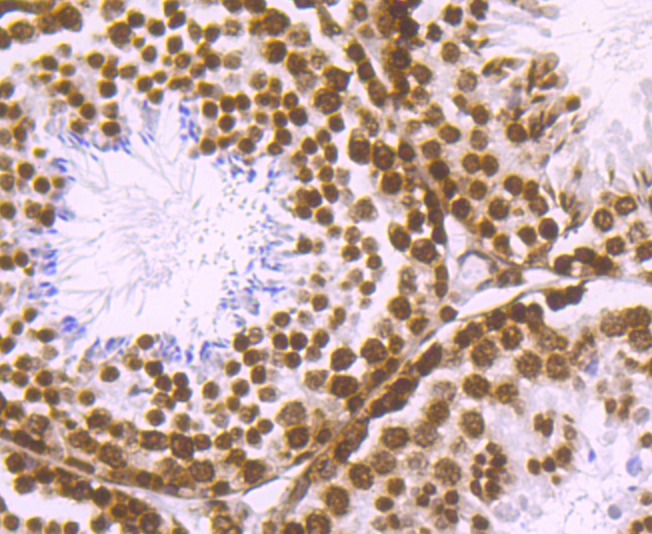
5. Immunohistochemical analysis of paraffin-embedded mouse testis tissue using anti-Histone H2A.X antibody. Counter stained with hematoxylin.
6. IF analysis of paraffin-embedded human pancreas tissue using anti-Histone H2A.X antibody (green). The nuclear counter stain is DAPI (blue).
7. IF analysis of paraffin-embedded mouse testis tissue using anti-Histone H2A.X antibody (green). The nuclear counter stain is DAPI (blue).
8. IF analysis of paraffin-embedded rat brain tissue using anti-Histone H2A.X antibody (green). The nuclear counter stain is DAPI (blue).
verifiedActivityverifiedActivityverifiedActivityverifiedActivityverifiedActivityverifiedActivityverifiedActivityverifiedActivity
应用ICC/IFIHCIPWB
推荐剂量
WB: 1:500-2000; IHC: 1:100-500; IP: 1:10-50
抗体种类
Monoclonal
宿主来源Rabbit
构建方式Recombinant Antibody
纯化方式ProA affinity purified
性状Liquid
缓冲液1*TBS (pH7.4), 1%BSA, 40%Glycerol. Preservative: 0.05% Sodium Azide.
研究背景Histone H2A.X is a member of the Histone H2A family, which is involved in nucleosomal organization of chromatin. The H2AFX gene is located in close proximity to the Porphobilinogen deaminase (PBG-D) gene in both mouse and human, and maps to chromosome 9 and 11q23, respectively. H2A.X meets from the other members of the H2A family by the presence of a highly conserved C-terminal motif. It is wide phosphorylated in response to ionizing radiation and plays an important role in the recognition and repair of DNA fragments are involved in the heavy chain constant region of cells involved in class switch recombination (CSR), a region-specific DNA reaction that replaces one immunoglobulin heavy chain constant region gene with another. The phosphorylated γ-H2A.X is also thought to firing new grades factors, including Rad50, Rad51 and BRCA1.
偶联与修饰
偶联
Unconjugated
抗原信息
免疫原
Recombinant Protein
Uniprot ID
存储&运输
储存方式Store at -20°C or -80°C for 12 months. Avoid repeated freeze-thaw cycles.
运输方式Shipping with blue ice.

计算器

  • 稀释 计算器

关键词

评论列表

4个月前
5.0
Rating icon 很棒

评论内容

Related Tags: buy Anti-H2AFX Antibody (1G393) | purchase Anti-H2AFX Antibody (1G393) | Anti-H2AFX Antibody (1G393) cost | order Anti-H2AFX Antibody (1G393)