购物车
  • TargetMol
    您的购物车当前为空

Anti-gp130/IL6ST Antibody (2B824)

Synonyms: interleukin 6 signal transducer, IL-6RB, GP130, CDW130, CD130
货号 TMAC-00654 一键复制产品信息
Rating icon 还可以

Anti-gp130/IL6ST Antibody (2B824) 是一种 Mouse 抗体,靶向 gp130/IL6ST。Anti-gp130/IL6ST Antibody (2B824) 可用于 ICC,IHC,WB。

Anti-gp130/IL6ST Antibody (2B824)

一键复制产品信息
Rating icon 还可以
货号 TMAC-00654

别名 interleukin 6 signal transducer, IL-6RB, GP130, CDW130, CD130

Anti-gp130/IL6ST Antibody (2B824) 是一种 Mouse 抗体,靶向 gp130/IL6ST。Anti-gp130/IL6ST Antibody (2B824) 可用于 ICC,IHC,WB。

Anti-gp130/IL6ST Antibody (2B824)
规格价格库存数量
50 μL
¥ 1,995
5日内发货
100 μL
¥ 2,995
5日内发货
库存状态实时更新,以官网显示为准,现货产品可直接加购物车下单
大包装 & 定制
加入购物车

TargetMol的所有产品仅用作科学研究或药证申报,不能被用于人体,我们不向个人提供产品和服务。请您遵守承诺用途,不得违反法律法规规定用于任何其他用途。

实验操作小课堂
常见问题解答
查看更多

资源下载:产品操作手册

产品介绍


生物活性
产品描述
Anti-gp130/IL6ST Antibody (2B824) is a Mouse antibody targeting gp130/IL6ST. Anti-gp130/IL6ST Antibody (2B824) can be used in ICC,IHC,WB.
别名
interleukin 6 signal transducer, IL-6RB, GP130, CDW130, CD130
克隆号
2B824
反应种属
Human
验证活性
1. Western blot analysis of CD130 on CD130 recombinant protein using anti-CD130 antibody at 1/5,000 dilution.
2. Western blot analysis of CD130 on Raji cell (1) and mouse lung tissue (2) lysates using anti-CD130 antibody at 1/500 dilution.
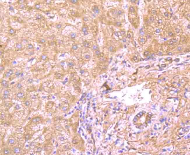
3. Immunohistochemical analysis of paraffin-embedded human liver tissue using anti-CD130 antibody. Counter stained with hematoxylin.
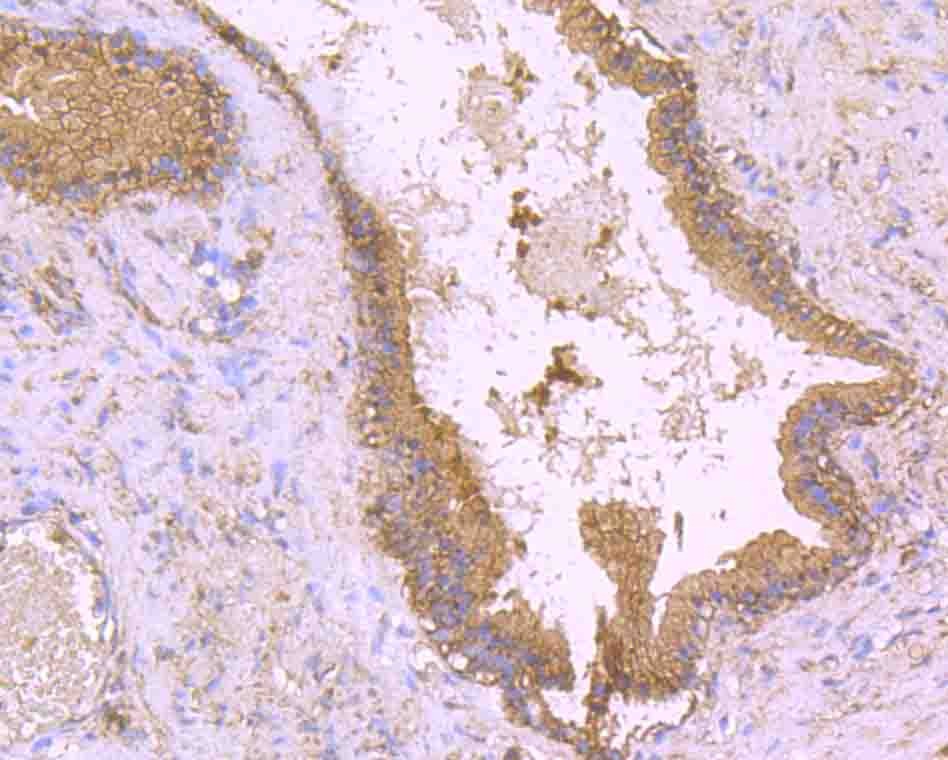
4. Immunohistochemical analysis of paraffin-embedded human prostate tissue using anti-CD130 antibody. Counter stained with hematoxylin.
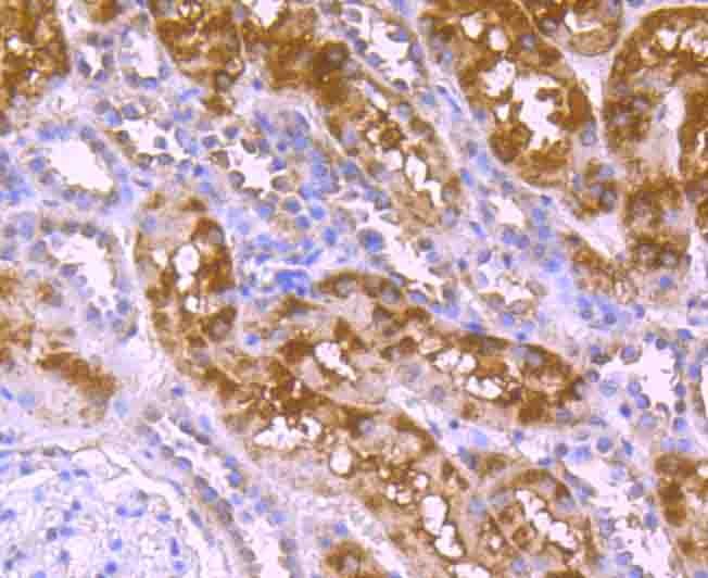
5. Immunohistochemical analysis of paraffin-embedded human kidney tissue using anti-CD130 antibody. Counter stained with hematoxylin.
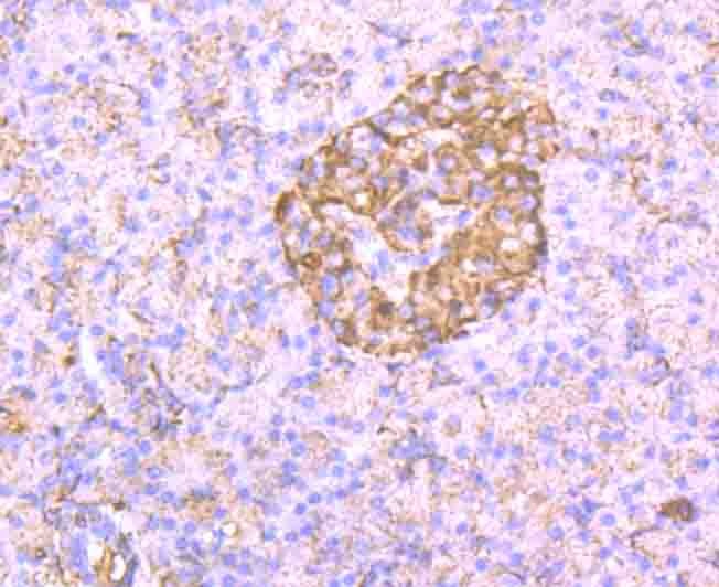
6. Immunohistochemical analysis of paraffin-embedded human pancreas tissue using anti-CD130 antibody. Counter stained with hematoxylin.
7. ICC staining CD130 (green) in HUVEC cells. The nuclear counter stain is DAPI (blue). Cells were fixed in paraformaldehyde, permeabilised with 0.25% Triton X100/PBS.
8. ICC staining CD130 (green) in LOVO cells. The nuclear counter stain is DAPI (blue). Cells were fixed in paraformaldehyde, permeabilised with 0.25% Triton X100/PBS.
verifiedActivityverifiedActivityverifiedActivityverifiedActivityverifiedActivityverifiedActivityverifiedActivityverifiedActivity
应用ICCIHCWB
推荐剂量
WB: 1:500-2000; IHC: 1:50-200; ICC: 1:50-200
抗体种类
Monoclonal
宿主来源Mouse
构建方式Hybridoma Monoclonal Antibody
纯化方式ProG affinity purified
性状Liquid
缓冲液1*TBS (pH7.4), 0.5%BSA, 50%Glycerol. Preservative: 0.05% Sodium Azide.
研究背景Signal-transducing molecule. The receptor systems for IL6, LIF, OSM, CNTF, IL11, CTF1 and BSF3 can utilize IL6ST for initiating signal transmission. Binding of IL6 to IL6R induces IL6ST homodimerization and formation of a high-affinity receptor complex, which activates Janus kinases. That causes phosphorylation of IL6ST tyrosine residues which in turn activates STAT3. Mediates signals which regulate immune response, hematopoiesis, pain control and bone metabolism. Has a role in embryonic development. Does not bind IL6. Essential for survival of motor and sensory neurons and for differentiation of astrocytes. Required for expression of TRPA1 in nociceptive neurons. Required for the maintenance of PTH1R expression in the osteoblast lineage and for the stimulation of PTH-induced osteoblast differentiation. Required for normal trabecular bone mass and cortical bone composition.
偶联与修饰
偶联
Unconjugated
抗原信息
免疫原
Recombinant Protein
Uniprot ID
化学信息
分子量Theoretical: 103 kDa.
储存&溶解度
储存方式Store at -20°C or -80°C for 12 months. Avoid repeated freeze-thaw cycles.
运输方式Shipping with blue ice.

计算器

  • 稀释 计算器
  • 配液 计算器
Related Tags: buy Anti-gp130/IL6ST Antibody (2B824) | purchase Anti-gp130/IL6ST Antibody (2B824) | Anti-gp130/IL6ST Antibody (2B824) cost | order Anti-gp130/IL6ST Antibody (2B824) | Anti-gp130/IL6ST Antibody (2B824) molecular weight