购物车
  • 全部删除
  • TargetMol
    您的购物车当前为空

Anti-Gephyrin Antibody (6M904)

一键复制产品信息
Rating icon 还可以
产品编号 TMAC-01644
别名 MPT Mo-transferase, MPT adenylyltransferase, Molybdopterin molybdenumtransferase, KIAA1385, GPHRYN, GPHN, GPH, GEPH_HUMAN, GEPH, Domain G, Domain E

Anti-Gephyrin Antibody (6M904) 是一种 Rabbit 抗体,靶向 Gephyrin。Anti-Gephyrin Antibody (6M904) 可用于 IHC,WB。

Anti-Gephyrin Antibody (6M904)

Anti-Gephyrin Antibody (6M904)

一键复制产品信息
Rating icon 还可以
产品编号 TMAC-01644 别名 MPT Mo-transferase, MPT adenylyltransferase, Molybdopterin molybdenumtransferase, KIAA1385, GPHRYN, GPHN, GPH, GEPH_HUMAN, GEPH, Domain G, Domain E

Anti-Gephyrin Antibody (6M904) 是一种 Rabbit 抗体,靶向 Gephyrin。Anti-Gephyrin Antibody (6M904) 可用于 IHC,WB。

规格价格库存数量
50 μL
¥ 1,490
5日内发货
100 μL
¥ 2,495
5日内发货
大包装 & 定制
加入购物车
TargetMol 的所有产品仅用作科学研究或药证申报,不能被用于人体,我们不向个人提供产品和服务。请您遵守承诺用途,不得违反法律法规规定用于任何其他用途。
实验操作小课堂
常见问题解答
查看更多
联系我们获取更多批次信息
资源下载

产品介绍

生物活性
产品描述
Anti-Gephyrin Antibody (6M904) is a Rabbit antibody targeting Gephyrin. Anti-Gephyrin Antibody (6M904) can be used in IHC,WB.
别名MPT Mo-transferase, MPT adenylyltransferase, Molybdopterin molybdenumtransferase, KIAA1385, GPHRYN, GPHN, GPH, GEPH_HUMAN, GEPH, Domain G, Domain E
Ig Type
IgG
克隆号
6M904
交叉反应
Human,Mouse,Rat
验证活性
1. Western blot analysis of Gephyrin on SK-Br-3 cell (1) and rat kidney tissue (2) lysate using anti-Gephyrin antibody at 1/500 dilution.
2. Immunohistochemical analysis of paraffin-embedded human kidney tissue using anti-Gephyrin antibody. Counter stained with hematoxylin. The section was pre-treated using heat mediated antigen retrieval with sodium citrate buffer (pH6) for 20 mins.
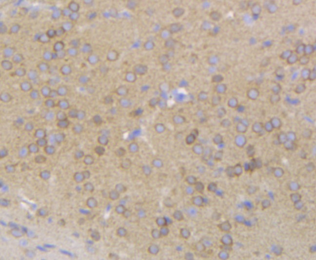
3. Immunohistochemical analysis of paraffin-embedded mouse brain tissue using anti-Gephyrin antibody. Counter stained with hematoxylin. The section was pre-treated using heat mediated antigen retrieval with sodium citrate buffer (pH6) for 20 mins.
verifiedActivityverifiedActivityverifiedActivity
应用IHCWB
推荐剂量
WB: 1:500-2000; IHC: 1:50-200
抗体种类
Monoclonal
宿主来源Rabbit
构建方式Recombinant Antibody
纯化方式ProA affinity purified
性状Liquid
缓冲液1*TBS (pH7.4), 1%BSA, 40%Glycerol. Preservative: 0.05% Sodium Azide.
研究背景The sub-membraneous region at the postsynaptic membrane contains a number of proteins critical for receptor targeting. Gephyrin is a microtubule-associated protein highly expressed in brain and localized to neuronal postsynaptic membranes. Gephyrin is essential for the postsynaptic localization of the inhibitory glycine receptor and is thought to anchor the receptor to subsynaptic microtubules. The protein is expressed in most mammalian tissues with predominant expression in brain. At least five additional splice variants of Gephyrin ranging in molecular weight have been identified in rat and human brain tissue.
偶联与修饰
偶联
Unconjugated
抗原信息
Uniprot ID
化学信息
分子量Theoretical: 80 kDa.
存储&运输
储存方式Store at -20°C or -80°C for 12 months. Avoid repeated freeze-thaw cycles.
运输方式Shipping with blue ice.

计算器

  • 稀释 计算器

评论列表

4个月前
5.0
Rating icon 很棒

评论内容

Related Tags: buy Anti-Gephyrin Antibody (6M904) | purchase Anti-Gephyrin Antibody (6M904) | Anti-Gephyrin Antibody (6M904) cost | order Anti-Gephyrin Antibody (6M904) | Anti-Gephyrin Antibody (6M904) molecular weight