购物车
  • TargetMol
    您的购物车当前为空

Anti-FTH Antibody (9C880)

Synonyms: FTHL6, FTH1, FTH, Ferritin heavy chain, Ferritin H subunit, Cell proliferation-inducing gene 15 protein
货号 TMAB-00718 一键复制产品信息
Rating icon 还可以

Anti-FTH Antibody (9C880) 是一种 Rabbit 抗体,靶向 FTH。Anti-FTH Antibody (9C880) 可用于 IF,IHC-Fr,IHC-P,WB。

Anti-FTH Antibody (9C880)

一键复制产品信息
Rating icon 还可以
货号 TMAB-00718

别名 FTHL6, FTH1, FTH, Ferritin heavy chain, Ferritin H subunit, Cell proliferation-inducing gene 15 protein

Anti-FTH Antibody (9C880) 是一种 Rabbit 抗体,靶向 FTH。Anti-FTH Antibody (9C880) 可用于 IF,IHC-Fr,IHC-P,WB。

Anti-FTH Antibody (9C880)
规格价格库存数量
25 μL
¥ 795
5日内发货
50 μL
¥ 1,395
5日内发货
100 μL
¥ 2,490
5日内发货
库存状态实时更新,以官网显示为准,现货产品可直接加购物车下单
大包装 & 定制
加入购物车

TargetMol的所有产品仅用作科学研究或药证申报,不能被用于人体,我们不向个人提供产品和服务。请您遵守承诺用途,不得违反法律法规规定用于任何其他用途。

实验操作小课堂
常见问题解答
查看更多

资源下载:产品操作手册

产品介绍


生物活性
产品描述
Anti-FTH Antibody (9C880) is a Rabbit antibody targeting FTH. Anti-FTH Antibody (9C880) can be used in IF,IHC-Fr,IHC-P,WB.
别名
FTHL6, FTH1, FTH, Ferritin heavy chain, Ferritin H subunit, Cell proliferation-inducing gene 15 protein
Ig Type
IgG
克隆号
9C880
反应种属
Human
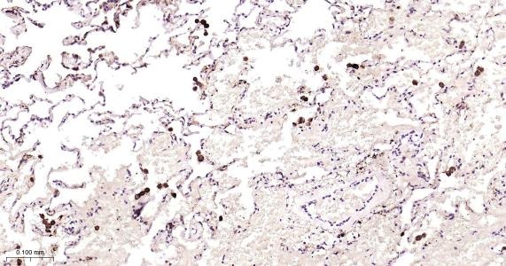
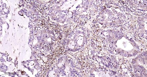
验证活性
1. Paraformaldehyde-fixed, paraffin embedded Human Lung Cancer; Antigen retrieval by boiling in sodium citrate buffer (pH6.0) for 15 min; Antibody incubation Ferritin Heavy Chain Monoclonal Antibody, Unconjugated (TMAB-00718) at 1:200 overnight at 4°C, followed by conjugation to the secondary antibody and DAB staining.
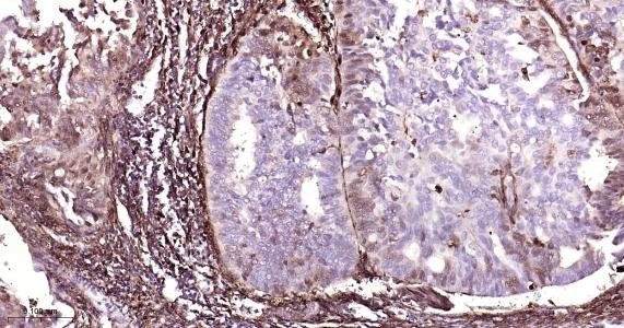
2. Paraformaldehyde-fixed, paraffin embedded Human Liver Cancer; Antigen retrieval by boiling in sodium citrate buffer (pH6.0) for 15 min; Antibody incubation Ferritin Heavy Chain Monoclonal Antibody, Unconjugated (TMAB-00718) at 1:200 overnight at 4°C, followed by conjugation to the secondary antibody and DAB staining.
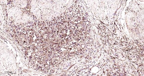
3. Paraformaldehyde-fixed, paraffin embedded Human Prostate Cancer; Antigen retrieval by boiling in sodium citrate buffer (pH6.0) for 15 min; Antibody incubation Ferritin Heavy Chain Monoclonal Antibody, Unconjugated (TMAB-00718) at 1:200 overnight at 4°C, followed by conjugation to the secondary antibody and DAB staining.
4. Paraformaldehyde-fixed, paraffin embedded Human Breast Cancer; Antigen retrieval by boiling in sodium citrate buffer (pH6.0) for 15 min; Antibody incubation Ferritin Heavy Chain Monoclonal Antibody, Unconjugated (TMAB-00718) at 1:200 overnight at 4°C, followed by conjugation to the secondary antibody and DAB staining.
5. Paraformaldehyde-fixed, paraffin embedded Human Lung; Antigen retrieval by boiling in sodium citrate buffer (pH6.0) for 15 min; Antibody incubation Ferritin Heavy Chain Monoclonal Antibody, Unconjugated (TMAB-00718) at 1:200 overnight at 4°C, followed by conjugation to the secondary antibody and DAB staining.
6. Paraformaldehyde-fixed, paraffin embedded Human Liver; Antigen retrieval by boiling in sodium citrate buffer (pH6.0) for 15 min; Antibody incubation Ferritin Heavy Chain Monoclonal Antibody, Unconjugated (TMAB-00718) at 1:200 overnight at 4°C, followed by conjugation to the secondary antibody and DAB staining.
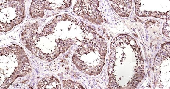
7. Paraformaldehyde-fixed, paraffin embedded Human Testicles; Antigen retrieval by boiling in sodium citrate buffer (pH6.0) for 15 min; Antibody incubation Ferritin Heavy Chain Monoclonal Antibody, Unconjugated (TMAB-00718) at 1:200 overnight at 4°C, followed by conjugation to the secondary antibody and DAB staining.
8. Paraformaldehyde-fixed, paraffin embedded Human Colon; Antigen retrieval by boiling in sodium citrate buffer (pH6.0) for 15 min; Antibody incubation Ferritin Heavy Chain Monoclonal Antibody, Unconjugated (TMAB-00718) at 1:200 overnight at 4°C, followed by conjugation to the secondary antibody and DAB staining.
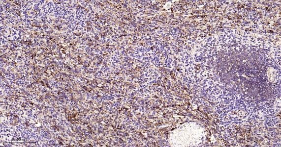
9. Paraformaldehyde-fixed, paraffin embedded Human Spleen; Antigen retrieval by boiling in sodium citrate buffer (pH6.0) for 15 min; Antibody incubation Ferritin Heavy Chain Monoclonal Antibody, Unconjugated (TMAB-00718) at 1:200 overnight at 4°C, followed by conjugation to the secondary antibody and DAB staining.
10. 25 μg total protein per Lane of various lysates probed with Ferritin Heavy Chain monoclonal antibody, unconjugated (TMAB-00718) at 1:1000 dilution and 4°C overnight incubation. Followed by conjugated secondary antibody incubation at RT for 60 min.
verifiedActivityverifiedActivityverifiedActivityverifiedActivityverifiedActivityverifiedActivityverifiedActivityverifiedActivityverifiedActivityverifiedActivity
应用IFIHC-FrIHC-PWB
推荐剂量
WB: 1:500-2000; IHC-P: 1:100-500; IHC-Fr: 1:100-500; IF: 1:100-500
抗体种类
Monoclonal
宿主来源Rabbit
亚细胞定位Cytoplasmic.
组织特异性In human liver the heavy chain is the major chain.
构建方式Recombinant Antibody
纯化方式Protein A purified
性状Liquid
缓冲液0.01M TBS (pH7.4) with 1% BSA, 0.02% Proclin300 and 50% Glycerol.
浓度1 mg/mL
研究背景Mammalian ferritins consist of 24 subunits made up of two types of poly-peptide chains, ferritin heavy chain and ferritin light chain, which each have unique functions. Ferritin heavy chains catalyze the first step in iron storage, the oxidation of FeII, whereas ferritin light chains promote the nucleation of ferrihydrite, enabling storage of FeIII. The most prominent role of mamma-lian ferritins is to provide iron-buffering capacity to cells. In addition to iron buffering, heavy chain ferritin is also involved in the regulation of thymidine biosynthesis via increased expression of cytoplasmic serine hydroxymethyltransferase, which is a limiting factor in thymidylate synthesis in MCF-7 cells. Light chain ferritin is involved in cataracts by at least two mechanisms: hereditary hyperferritinemia cataract syndrome, in which light chain ferritin is overexpressed; and oxidative stress, an important factor in the development of aging-related cataracts.
抗原信息
免疫原
A synthesized peptide: human Ferritin heavy chain
抗原种属
Human
基因名称
FTH1
基因ID
蛋白名称
Ferritin heavy chain
Uniprot ID
研究领域
Serum Proteins,Vitamins / minerals,Neurodegenerative disease,Alzheimer's disease,Vitamins / Minerals
功能
Stores iron in a soluble, non-toxic, readily available form. Important for iron homeostasis. Has ferroxidase activity. Iron is taken up in the ferrous form and deposited as ferric hydroxides after oxidation. Also plays a role in delivery of iron to cells. Mediates iron uptake in capsule cells of the developing kidney.
化学信息
分子量Theoretical: 20 kDa. Actual: 21 kDa.
储存&溶解度
储存方式Store at -20°C or -80°C for 12 months. Avoid repeated freeze-thaw cycles.
运输方式Shipping with blue ice.

计算器

  • 稀释 计算器
  • 配液 计算器
Related Tags: buy Anti-FTH Antibody (9C880) | purchase Anti-FTH Antibody (9C880) | Anti-FTH Antibody (9C880) cost | order Anti-FTH Antibody (9C880) | Anti-FTH Antibody (9C880) molecular weight