购物车
  • 全部删除
  • TargetMol
    您的购物车当前为空

Anti-FOXO1 Antibody (6M554)

一键复制产品信息
Rating icon 还可以
产品编号 TMAC-01543
别名 FOXO1A, Foxo1a, Forkhead, Drosophila, homolog of, in rhabdomyosarcoma, Forkhead(Drosophila) homolog 1(rhabdomyosarcoma), Forkhead in rhabdomyosarcoma, Forkhead box protein O1A, Forkhead box protein O1, Forkhead box O1, Forkhead, Fkhr1, FKHR, FKH1, FKH 1, AI876417, Afxh

Anti-FOXO1 Antibody (6M554) 是一种 Rabbit 抗体,靶向 FOXO1。Anti-FOXO1 Antibody (6M554) 可用于 ICC,IHC,WB。

Anti-FOXO1 Antibody (6M554)

Anti-FOXO1 Antibody (6M554)

一键复制产品信息
Rating icon 还可以
产品编号 TMAC-01543 别名 FOXO1A, Foxo1a, Forkhead, Drosophila, homolog of, in rhabdomyosarcoma, Forkhead(Drosophila) homolog 1(rhabdomyosarcoma), Forkhead in rhabdomyosarcoma, Forkhead box protein O1A, Forkhead box protein O1, Forkhead box O1, Forkhead, Fkhr1, FKHR, FKH1, FKH 1, AI876417, Afxh

Anti-FOXO1 Antibody (6M554) 是一种 Rabbit 抗体,靶向 FOXO1。Anti-FOXO1 Antibody (6M554) 可用于 ICC,IHC,WB。

规格价格库存数量
50 μL
¥ 1,485
5日内发货
100 μL
¥ 2,490
5日内发货
大包装 & 定制
加入购物车
TargetMol 的所有产品仅用作科学研究或药证申报,不能被用于人体,我们不向个人提供产品和服务。请您遵守承诺用途,不得违反法律法规规定用于任何其他用途。
实验操作小课堂
常见问题解答
查看更多
联系我们获取更多批次信息
资源下载

产品介绍

生物活性
产品描述
Anti-FOXO1 Antibody (6M554) is a Rabbit antibody targeting FOXO1. Anti-FOXO1 Antibody (6M554) can be used in ICC,IHC,WB.
别名FOXO1A, Foxo1a, Forkhead, Drosophila, homolog of, in rhabdomyosarcoma, Forkhead(Drosophila) homolog 1(rhabdomyosarcoma), Forkhead in rhabdomyosarcoma, Forkhead box protein O1A, Forkhead box protein O1, Forkhead box O1, Forkhead, Fkhr1, FKHR, FKH1, FKH 1, AI876417, Afxh
Ig Type
IgG
克隆号
6M554
交叉反应
Human,Mouse,Rat,zebrafish
验证活性
1. Western blot analysis of FOXO1A on different lysates using anti-FOXO1A antibody at 1/1,000 dilution. Positive control: Lane 1: Hela, Lane 2: NIH/3T3.
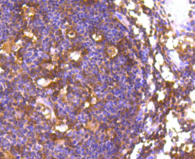
2. Immunohistochemical analysis of paraffin-embedded human tonsil tissue using anti-FOXO1A antibody. Counter stained with hematoxylin.
3. Immunohistochemical analysis of paraffin-embedded human breast carcinoma tissue using anti-FOXO1A antibody. Counter stained with hematoxylin.
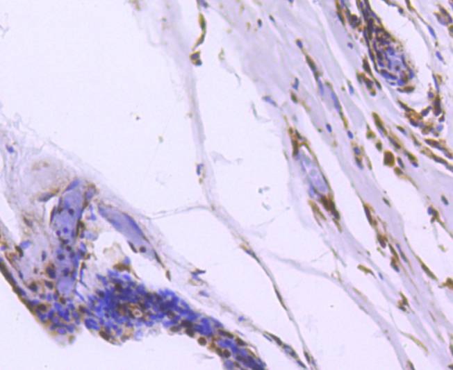
4. Immunohistochemical analysis of paraffin-embedded mouse brain tissue using anti-FOXO1A antibody. Counter stained with hematoxylin.
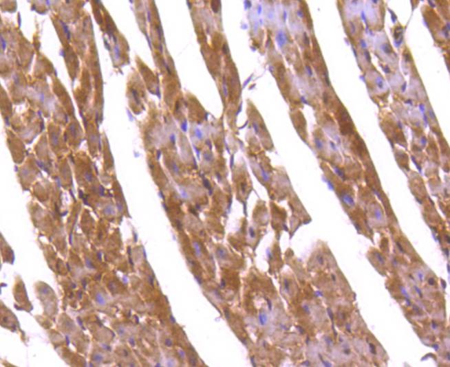
5. Immunohistochemical analysis of paraffin-embedded mouse heart tissue using anti-FOXO1A antibody. Counter stained with hematoxylin.
6. ICC staining FOXO1A in Hela cells (green). The nuclear counter stain is DAPI (blue). Cells were fixed in paraformaldehyde, permeabilised with 0.25% Triton X100/PBS.
7. ICC staining FOXO1A in MCF-7 cells (green). The nuclear counter stain is DAPI (blue). Cells were fixed in paraformaldehyde, permeabilised with 0.25% Triton X100/PBS.
8. ICC staining FOXO1A in NIH/3T3 cells (green). The nuclear counter stain is DAPI (blue). Cells were fixed in paraformaldehyde, permeabilised with 0.25% Triton X100/PBS.
verifiedActivityverifiedActivityverifiedActivityverifiedActivityverifiedActivityverifiedActivityverifiedActivityverifiedActivity
应用ICCIHCWB
推荐剂量
WB: 1:1000-2000; IHC: 1:50-200; ICC: 1:50-200
抗体种类
Monoclonal
宿主来源Rabbit
构建方式Recombinant Antibody
纯化方式ProA affinity purified
性状Liquid
缓冲液1*TBS (pH7.4), 1%BSA, 40%Glycerol. Preservative: 0.05% Sodium Azide.
研究背景FKHR (for forkhead in rhabdomyosarcoma) and FKHRL1 are members of the forkhead family of transcription factors. Transcriptional activation of FKHR proteins is regulated by the serine/threonine kinase Akt1, which phosphorylates FKHRL1 and results in FKHRL1 associating with 14-3-3 proteins and being retained in the cytoplasm. Induction of apoptosis or withdrawal of growth factors stimulates dephosphorylation and nuclear translocation of FKHR proteins, leading to FKHR-induced gene-specific transcriptional activation. FKHR, also designated forkhead box protein O1A (FOXO1), is a ubiquitously expressed protein that shuttles between the cytoplasm and nucleus. Genetic mutations in FKHR genes, including the t(2;13) and t(1;3) translocations, are commonly found in alveolar rhabdomyosarcomas. These translocations result in the fusion of the amino terminus of Pax-3 or Pax-7, including the paired box and homeodomain DNA-binding domains, with the carboxy-terminus of FKHR, which contains a transcriptional activation domain. The Pax-3/FKHR fusion protein appears to function as an oncogenic transcription factor that enhances the activation of normal Pax-3 target genes.
偶联与修饰
偶联
Unconjugated
抗原信息
免疫原
Recombinant Protein
Uniprot ID
化学信息
分子量Theoretical: 80 kDa.
存储&运输
储存方式Store at -20°C or -80°C for 12 months. Avoid repeated freeze-thaw cycles.
运输方式Shipping with blue ice.

计算器

  • 稀释 计算器

评论列表

4个月前
5.0
Rating icon 很棒

评论内容

Related Tags: buy Anti-FOXO1 Antibody (6M554) | purchase Anti-FOXO1 Antibody (6M554) | Anti-FOXO1 Antibody (6M554) cost | order Anti-FOXO1 Antibody (6M554) | Anti-FOXO1 Antibody (6M554) molecular weight