购物车
  • 全部删除
  • TargetMol
    您的购物车当前为空

Anti-FOSB Antibody (8O342)

一键复制产品信息
Rating icon 还可以
产品编号 TMAC-01530
别名 Transcription factor AP-1 subunit FosB, Protein FosB, G0S3, G0/G1 switch regulatory protein 3, FosB proto-oncogene, AP-1 transcription factor subunit, FOSB

Anti-FOSB Antibody (8O342) 是一种 Rabbit 抗体,靶向 FOSB。Anti-FOSB Antibody (8O342) 可用于 ICC/IF,IHC,IP,WB。

Anti-FOSB Antibody (8O342)

Anti-FOSB Antibody (8O342)

一键复制产品信息
Rating icon 还可以
产品编号 TMAC-01530 别名 Transcription factor AP-1 subunit FosB, Protein FosB, G0S3, G0/G1 switch regulatory protein 3, FosB proto-oncogene, AP-1 transcription factor subunit, FOSB

Anti-FOSB Antibody (8O342) 是一种 Rabbit 抗体,靶向 FOSB。Anti-FOSB Antibody (8O342) 可用于 ICC/IF,IHC,IP,WB。

规格价格库存数量
50 μL
¥ 1,495
5日内发货
100 μL
¥ 2,485
5日内发货
大包装 & 定制
加入购物车
TargetMol 的所有产品仅用作科学研究或药证申报,不能被用于人体,我们不向个人提供产品和服务。请您遵守承诺用途,不得违反法律法规规定用于任何其他用途。
实验操作小课堂
常见问题解答
查看更多
联系我们获取更多批次信息
资源下载

产品介绍

生物活性
产品描述
Anti-FOSB Antibody (8O342) is a Rabbit antibody targeting FOSB. Anti-FOSB Antibody (8O342) can be used in ICC/IF,IHC,IP,WB.
别名Transcription factor AP-1 subunit FosB, Protein FosB, G0S3, G0/G1 switch regulatory protein 3, FosB proto-oncogene, AP-1 transcription factor subunit, FOSB
Ig Type
IgG
克隆号
8O342
交叉反应
Human,Mouse,Rat
验证活性
1. Western blot analysis of FosB on human liver lysates using anti-FosB antibody at 1/1,000 dilution.
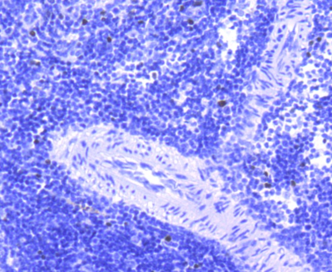
2. Immunohistochemical analysis of paraffin-embedded rat spleen tissue using anti-FosB antibody. Counter stained with hematoxylin.
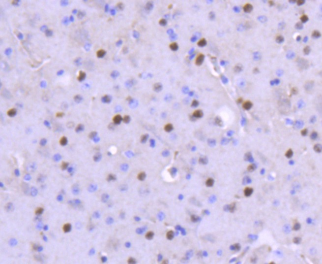
3. Immunohistochemical analysis of paraffin-embedded mouse brain tissue using anti-FosB antibody. Counter stained with hematoxylin.
verifiedActivityverifiedActivityverifiedActivity
应用ICC/IFIHCIPWB
推荐剂量
WB: 1:1000; IHC: 1:50-200; ICC/IF: 1:50-200
抗体种类
Monoclonal
宿主来源Rabbit
构建方式Recombinant Antibody
纯化方式ProA affinity purified
性状Liquid
缓冲液1*TBS (pH7.4), 1%BSA, 40%Glycerol. Preservative: 0.05% Sodium Azide.
研究背景The v-Fos oncogene was initially identified as the transforming gene of two independent murine osteosarcoma virus isolates and an avian nephroblastoma virus. The cellular homolog, c-Fos, encodes a nuclear phosphoprotein that is rapidly and transiently induced by a variety of agents and functions as a transcriptional regulator for several genes. In contrast to c-Jun proteins, which form homo- and heterodimers which bind to specific DNA TPA response elements (TREs), c-Fos proteins are only active as heterodimers with members of the Jun gene family. Murine Fos B encodes a nuclear protein of 338 amino acids which has 70% homology with c-Fos, exhibits similar kinetics of expression as c-Fos and forms heterodimers with both c-Jun and Jun B which bind to TRE DNA response elements. Functional homologs of c-Fos and Fos B include Fra-1 and Fra-2 genes.
偶联与修饰
偶联
Unconjugated
抗原信息
免疫原
Recombinant Protein
Uniprot ID
化学信息
分子量Theoretical: 48 kDa.
存储&运输
储存方式Store at -20°C or -80°C for 12 months. Avoid repeated freeze-thaw cycles.
运输方式Shipping with blue ice.

计算器

  • 稀释 计算器

评论列表

4个月前
5.0
Rating icon 很棒

评论内容

Related Tags: buy Anti-FOSB Antibody (8O342) | purchase Anti-FOSB Antibody (8O342) | Anti-FOSB Antibody (8O342) cost | order Anti-FOSB Antibody (8O342) | Anti-FOSB Antibody (8O342) molecular weight