购物车
  • 全部删除
  • TargetMol
    您的购物车当前为空

Anti-Emi1 Antibody (9H429)

一键复制产品信息
Rating icon 还可以
产品编号 TMAC-01288
别名 fbxo5, Fbxo31, FBX5_HUMAN, FBX5, F-box only protein 5, F box protein Fbx5, F box protein Fbx 5, F box protein 5, F box only protein 5, EMI1, Emi 1, Early mitotic inhibitor 1

Anti-Emi1 Antibody (9H429) 是一种 Rabbit 抗体,靶向 Emi1。Anti-Emi1 Antibody (9H429) 可用于 ICC,IHC,WB。

Anti-Emi1 Antibody (9H429)

Anti-Emi1 Antibody (9H429)

一键复制产品信息
Rating icon 还可以
产品编号 TMAC-01288 别名 fbxo5, Fbxo31, FBX5_HUMAN, FBX5, F-box only protein 5, F box protein Fbx5, F box protein Fbx 5, F box protein 5, F box only protein 5, EMI1, Emi 1, Early mitotic inhibitor 1

Anti-Emi1 Antibody (9H429) 是一种 Rabbit 抗体,靶向 Emi1。Anti-Emi1 Antibody (9H429) 可用于 ICC,IHC,WB。

规格价格库存数量
50 μL
¥ 1,490
5日内发货
100 μL
¥ 2,480
5日内发货
大包装 & 定制
加入购物车
TargetMol 的所有产品仅用作科学研究或药证申报,不能被用于人体,我们不向个人提供产品和服务。请您遵守承诺用途,不得违反法律法规规定用于任何其他用途。
实验操作小课堂
常见问题解答
查看更多
联系我们获取更多批次信息
资源下载

产品介绍

生物活性
产品描述
Anti-Emi1 Antibody (9H429) is a Rabbit antibody targeting Emi1. Anti-Emi1 Antibody (9H429) can be used in ICC,IHC,WB.
别名fbxo5, Fbxo31, FBX5_HUMAN, FBX5, F-box only protein 5, F box protein Fbx5, F box protein Fbx 5, F box protein 5, F box only protein 5, EMI1, Emi 1, Early mitotic inhibitor 1
Ig Type
IgG
克隆号
9H429
交叉反应
Human,Mouse,Rat
验证活性
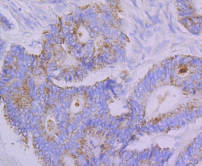
1. Immunohistochemical analysis of paraffin-embedded human colon cancer tissue using anti-Emi1 antibody. Counter stained with hematoxylin.
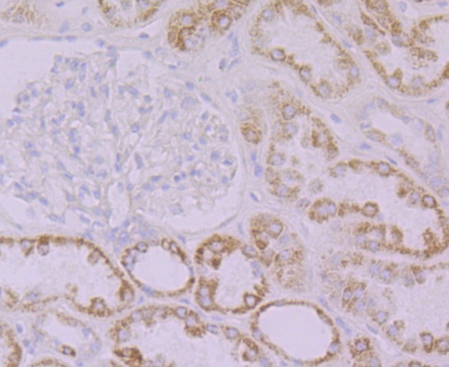
2. Immunohistochemical analysis of paraffin-embedded human kidney tissue using anti-Emi1 antibody. Counter stained with hematoxylin.
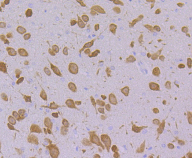
3. Immunohistochemical analysis of paraffin-embedded rat cerebellum tissue using anti-Emi1 antibody. Counter stained with hematoxylin.
4. Immunohistochemical analysis of paraffin-embedded mouse cerebellum tissue using anti-Emi1 antibody. Counter stained with hematoxylin.
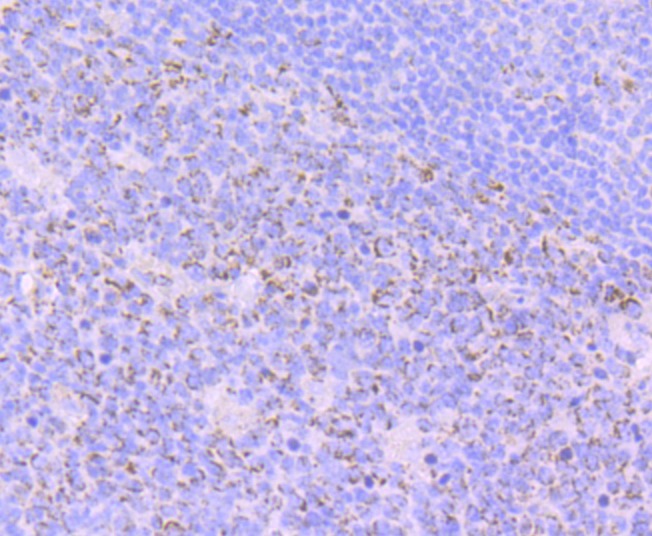
5. Immunohistochemical analysis of paraffin-embedded human tonsil tissue using anti-Emi1 antibody. Counter stained with hematoxylin.
6. ICC staining Emi1 in LOVO cells (green). The nuclear counter stain is DAPI (blue). Cells were fixed in paraformaldehyde, permeabilised with 0.25% Triton X100/PBS.
7. ICC staining Emi1 in Siha cells (green). The nuclear counter stain is DAPI (blue). Cells were fixed in paraformaldehyde, permeabilised with 0.25% Triton X100/PBS.
verifiedActivityverifiedActivityverifiedActivityverifiedActivityverifiedActivityverifiedActivityverifiedActivity
应用ICCIHCWB
推荐剂量
IHC: 1:50-200; ICC: 1:50-200
抗体种类
Monoclonal
宿主来源Rabbit
构建方式Recombinant Antibody
纯化方式ProA affinity purified
性状Liquid
缓冲液1*TBS (pH7.4), 1%BSA, 40%Glycerol. Preservative: 0.05% Sodium Azide.
研究背景Emi1 (for early mitotic inhibitor) regulates mitosis by inhibiting the anaphase promoting complex/cyclosome (APC). Emi1 is a conserved F box protein containing a zinc binding region essential for APC inhibition. The Emi1 protein functions to promote cyclin A accumulation and S phase entry in somatic cells by inhibiting the APC complex. At the G1-S transition, Emi1 is transcriptionally induced by the E2F transcription factor. Emi1 overexpression accelerates S phase entry and can override a G1 block caused by overexpression of Cdh1 or the E2F-inhibitor p105 retinoblastoma protein (pRb). Depleting cells of Emi1 through RNA interference prevents accumulation of cyclin A and inhibits S phase entry. Emi1 is required to arrest unfertilized eggs at metaphase of meiosis II and may be the long-sought mediator of CSF activity. Human Emi1 is similar to Xenopus laevis Emi1, which inhibits the APC (Cdc20) ubiquitination complex to allow accumulation of cyclin B.
偶联与修饰
偶联
Unconjugated
抗原信息
免疫原
Recombinant Protein: human Emi1 aa 50-250
抗原种属
human
Uniprot ID
化学信息
分子量Theoretical: 50 kDa.
存储&运输
储存方式Store at -20°C or -80°C for 12 months. Avoid repeated freeze-thaw cycles.
运输方式Shipping with blue ice.

计算器

  • 稀释 计算器

评论列表

4个月前
5.0
Rating icon 很棒

评论内容

Related Tags: buy Anti-Emi1 Antibody (9H429) | purchase Anti-Emi1 Antibody (9H429) | Anti-Emi1 Antibody (9H429) cost | order Anti-Emi1 Antibody (9H429) | Anti-Emi1 Antibody (9H429) molecular weight