购物车
  • TargetMol
    您的购物车当前为空

Anti-Di-methyl-HIST1H3A (Lys27) Polyclonal Antibody

Synonyms: Histone H3K27-dimethylated, H3K27me2, Di-methyl-HIST1H3A (K27), Di-Me-HIST1H3A (Lys27), Di-Me-HIST1H3A (K27), DiMe-H3K27
货号 TMAC-01882 一键复制产品信息
Rating icon 还可以

Anti-Di-methyl-HIST1H3A (Lys27) Polyclonal Antibody 是一种 Rabbit 抗体,靶向 Di-methyl-HIST1H3A (Lys27)。Anti-Di-methyl-HIST1H3A (Lys27) Polyclonal Antibody 可用于 IHC,WB。

Anti-Di-methyl-HIST1H3A (Lys27) Polyclonal Antibody

一键复制产品信息
Rating icon 还可以
货号 TMAC-01882

别名 Histone H3K27-dimethylated, H3K27me2, Di-methyl-HIST1H3A (K27), Di-Me-HIST1H3A (Lys27), Di-Me-HIST1H3A (K27), DiMe-H3K27

Anti-Di-methyl-HIST1H3A (Lys27) Polyclonal Antibody 是一种 Rabbit 抗体,靶向 Di-methyl-HIST1H3A (Lys27)。Anti-Di-methyl-HIST1H3A (Lys27) Polyclonal Antibody 可用于 IHC,WB。

Anti-Di-methyl-HIST1H3A (Lys27) Polyclonal Antibody
规格价格库存数量
50 μL
¥ 1,485
5日内发货
100 μL
¥ 2,235
5日内发货
库存状态实时更新,以官网显示为准,现货产品可直接加购物车下单
大包装 & 定制
加入购物车

TargetMol的所有产品仅用作科学研究或药证申报,不能被用于人体,我们不向个人提供产品和服务。请您遵守承诺用途,不得违反法律法规规定用于任何其他用途。

实验操作小课堂
常见问题解答
查看更多

资源下载:产品操作手册

产品介绍


生物活性
产品描述
Anti-Di-methyl-HIST1H3A (Lys27) Polyclonal Antibody is a Rabbit antibody targeting Di-methyl-HIST1H3A (Lys27). Anti-Di-methyl-HIST1H3A (Lys27) Polyclonal Antibody can be used in IHC,WB.
别名
Histone H3K27-dimethylated, H3K27me2, Di-methyl-HIST1H3A (K27), Di-Me-HIST1H3A (Lys27), Di-Me-HIST1H3A (K27), DiMe-H3K27
Ig Type
IgG
反应种属
Human,Mouse,Rat
验证活性
1. Western blot analysis of extracts from C6 and Hela cells using Histone H3 (Di-Methyl-Lys27) Antibody TMAC-01882.
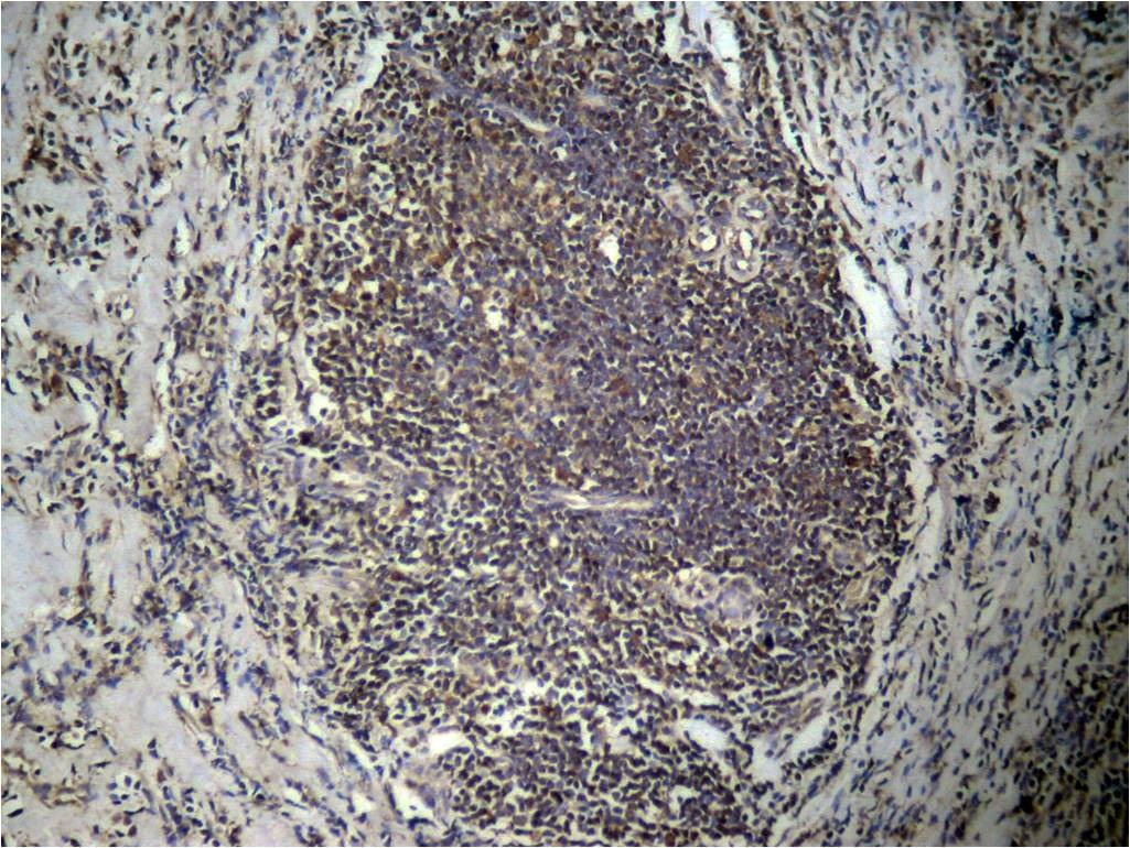
2. Immunohistochemical analysis of paraffin-embedded human breast carcinoma tissue using Histone H3 (Di-Methyl-Lys27) Antibody TMAC-01882.
verifiedActivityverifiedActivity
应用IHCWB
抗体种类
Polyclonal
宿主来源Rabbit
构建方式Polyclonal Antibody
纯化方式Antibodies were produced by immunizing rabbits with synthetic phosphopeptide and KLH conjugates. Antibodies were purified by affinity-chromatography using epitope-specific phosphopeptide. Non-phospho specific antibodies were removed by chromatogramphy using non-phosphopeptide.
性状Liquid
缓冲液Supplied at 1.0mg/mL in phosphate buffered saline (without Mg2+ and Ca2+), pH 7.4, 150mM NaCl, 0.02% sodium azide and 50% glycerol.
研究背景Core component of nucleosome. Nucleosomes wrap and compact DNA into chromatin, limiting DNA accessibility to the cellular machineries which require DNA as a template. Histones thereby play a central role in transcription regulation, DNA repair, DNA replication and chromosomal stability. DNA accessibility is regulated via a complex set of post-translational modifications of histones, also called histone code, and nucleosome remodeling.
偶联与修饰
偶联
Unconjugated
其他可选修饰符
Methylated/Acetylated
抗原信息
免疫原
Peptide sequence around Di-Methylation site of lysine 27(A-R-K(di-methyl)-S-A) derived from Human Histone H3
抗原种属
human
Uniprot ID
化学信息
分子量Actual: 17 kDa.
储存&溶解度
储存方式Store at -20°C or -80°C for 12 months. Avoid repeated freeze-thaw cycles.
运输方式Shipping with blue ice.

计算器

  • 稀释 计算器
  • 配液 计算器
Related Tags: buy Anti-Di-methyl-HIST1H3A (Lys27) Polyclonal Antibody | purchase Anti-Di-methyl-HIST1H3A (Lys27) Polyclonal Antibody | Anti-Di-methyl-HIST1H3A (Lys27) Polyclonal Antibody cost | order Anti-Di-methyl-HIST1H3A (Lys27) Polyclonal Antibody | Anti-Di-methyl-HIST1H3A (Lys27) Polyclonal Antibody molecular weight