购物车
  • TargetMol
    您的购物车当前为空

Anti-DDB1 Antibody (1Y859)

Synonyms: XPE-binding factor, XPE-BF, XPE binding factor, XPE BF, XPE, XPCe, Xeroderma pigmentosum group E-complementing protein, Xeroderma pigmentosum group E complementing protein, XAP-1, XAP1, XAP 1, X associated protein 1, UV-DDB 1, UV-damaged DNA-binding protein 1, UV-damaged DNA-binding factor, UV DDB1, UV DDB 1, UV damaged DNA binding protein 1, UV damaged DNA binding factor, HBV X-associated protein 1, DNA damage-binding protein a, DNA damage-binding protein 1, DNA damage binding protein 1, DDBa, DDB1_HUMAN, Ddb1, DDB p127 subunit, DDB 1, Damage-specific DNA-binding protein 1, Damage specific DNA binding protein 1
货号 TMAC-01125 一键复制产品信息
Rating icon 还可以

Anti-DDB1 Antibody (1Y859) 是一种 Rabbit 抗体,靶向 DDB1。Anti-DDB1 Antibody (1Y859) 可用于 ICC/IF,IHC,IP,WB。

Anti-DDB1 Antibody (1Y859)

一键复制产品信息
Rating icon 还可以
货号 TMAC-01125

别名 XPE-binding factor, XPE-BF, XPE binding factor, XPE BF, XPE, XPCe, Xeroderma pigmentosum group E-complementing protein, Xeroderma pigmentosum group E complementing protein, XAP-1, XAP1, XAP 1, X associated protein 1, UV-DDB 1, UV-damaged DNA-binding protein 1, UV-damaged DNA-binding factor, UV DDB1, UV DDB 1, UV damaged DNA binding protein 1, UV damaged DNA binding factor, HBV X-associated protein 1, DNA damage-binding protein a, DNA damage-binding protein 1, DNA damage binding protein 1, DDBa, DDB1_HUMAN, Ddb1, DDB p127 subunit, DDB 1, Damage-specific DNA-binding protein 1, Damage specific DNA binding protein 1

Anti-DDB1 Antibody (1Y859) 是一种 Rabbit 抗体,靶向 DDB1。Anti-DDB1 Antibody (1Y859) 可用于 ICC/IF,IHC,IP,WB。

Anti-DDB1 Antibody (1Y859)
规格价格库存数量
50 μL
¥ 1,495
5日内发货
100 μL
¥ 2,495
5日内发货
库存状态实时更新,以官网显示为准,现货产品可直接加购物车下单
大包装 & 定制
加入购物车

TargetMol的所有产品仅用作科学研究或药证申报,不能被用于人体,我们不向个人提供产品和服务。请您遵守承诺用途,不得违反法律法规规定用于任何其他用途。

实验操作小课堂
常见问题解答
查看更多

资源下载:产品操作手册

产品介绍


生物活性
产品描述
Anti-DDB1 Antibody (1Y859) is a Rabbit antibody targeting DDB1. Anti-DDB1 Antibody (1Y859) can be used in ICC/IF,IHC,IP,WB.
别名
XPE-binding factor, XPE-BF, XPE binding factor, XPE BF, XPE, XPCe, Xeroderma pigmentosum group E-complementing protein, Xeroderma pigmentosum group E complementing protein, XAP-1, XAP1, XAP 1, X associated protein 1, UV-DDB 1, UV-damaged DNA-binding protein 1, UV-damaged DNA-binding factor, UV DDB1, UV DDB 1, UV damaged DNA binding protein 1, UV damaged DNA binding factor, HBV X-associated protein 1, DNA damage-binding protein a, DNA damage-binding protein 1, DNA damage binding protein 1, DDBa, DDB1_HUMAN, Ddb1, DDB p127 subunit, DDB 1, Damage-specific DNA-binding protein 1, Damage specific DNA binding protein 1
Ig Type
IgG
克隆号
1Y859
反应种属
Human,Mouse,Rat
验证活性
1. Western blot analysis of DDB1 on different lysates using anti-DDB1 antibody at 1/500 dilution. Positive control: Lane 1: HepG2, Lane 2: NIH-3T3, Lane 3: MCF-7, Lane 4: Rat kidney tissue.
2. Immunohistochemical analysis of paraffin-embedded rat esophagus tissue using anti-DDB1 antibody. Counter stained with hematoxylin.
3. Immunohistochemical analysis of paraffin-embedded human liver cancer tissue using anti-DDB1 antibody. Counter stained with hematoxylin.
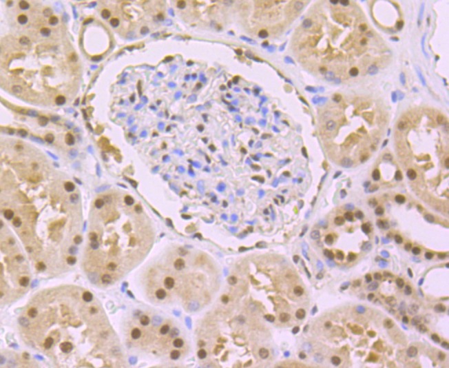
4. Immunohistochemical analysis of paraffin-embedded human kidney tissue using anti-DDB1 antibody. Counter stained with hematoxylin.
5. Immunohistochemical analysis of paraffin-embedded mouse brain tissue using anti-DDB1 antibody. Counter stained with hematoxylin.
6. ICC staining DDB1 in Hela cells (green). The nuclear counter stain is DAPI (blue). Cells were fixed in paraformaldehyde, permeabilised with 0.25% Triton X100/PBS.
7. ICC staining DDB1 in HUVEC cells (green). The nuclear counter stain is DAPI (blue). Cells were fixed in paraformaldehyde, permeabilised with 0.25% Triton X100/PBS.
8. ICC staining DDB1 in SH-SY5Y cells (green). The nuclear counter stain is DAPI (blue). Cells were fixed in paraformaldehyde, permeabilised with 0.25% Triton X100/PBS.
verifiedActivityverifiedActivityverifiedActivityverifiedActivityverifiedActivityverifiedActivityverifiedActivityverifiedActivity
应用ICC/IFIHCIPWB
推荐剂量
WB: 1:500-2000; IHC: 1:50-200; ICC/IF: 1:50-200; IP: 1:10-50
抗体种类
Monoclonal
宿主来源Rabbit
构建方式Recombinant Antibody
纯化方式ProA affinity purified
性状Liquid
缓冲液1*TBS (pH7.4), 1%BSA, 40%Glycerol. Preservative: 0.05% Sodium Azide.
研究背景Damaged DNA binding protein (DDB) is a heterodimer composed of two subunits, p127 and p48, which are designated DDB1 and DDB2, respectively. The DDB heterodimer is involved in repairing DNA damaged by ultraviolet light. Specifically, DDB, also designated UV-damaged DNA binding protein (UV-DDB), xeroderma pigmentosum group E binding factor (XPE-BF) and hepatitis B virus X-associated protein 1 (XAP-1), binds to damaged cyclobutane pyrimidine dimers (CPDs). Mutations in the DDB2 gene are implicated as causes of xeroderma pigmentosum group E, an autosomal recessive disease in which patients are defective in nucleotide excision DNA repair. XPE is characterized by hypersensitivity of the skin to sunlight with a high frequency of skin cancer as well as neurologic abnormalities. The hepatitis B virus (HBV) X protein interacts with DDB1, which may mediate HBx transactivation.
偶联与修饰
偶联
Unconjugated
抗原信息
免疫原
Recombinant Protein
Uniprot ID
化学信息
分子量Theoretical: 127 kDa.
储存&溶解度
储存方式Store at -20°C or -80°C for 12 months. Avoid repeated freeze-thaw cycles.
运输方式Shipping with blue ice.

计算器

  • 稀释 计算器
  • 配液 计算器
Related Tags: buy Anti-DDB1 Antibody (1Y859) | purchase Anti-DDB1 Antibody (1Y859) | Anti-DDB1 Antibody (1Y859) cost | order Anti-DDB1 Antibody (1Y859) | Anti-DDB1 Antibody (1Y859) molecular weight