购物车
  • TargetMol
    您的购物车当前为空

Anti-DAZL Antibody (5I552)

Synonyms: Tpx2, SPGY-like-autosomal, SPGYLA, SPGY like autosomal, Spermatogenesis gene on the Y like autosomal, MGC26406, Germline specific RNA binding protein, Deleted in azoospermia-like 1, Deleted in azoospermia-like, Deleted in azoospermia like autosomal, Deleted in azoospermia like 1, Deleted in azoospermia like, DAZ-like autosomal, DAZLA, DAZL1, DAZL_HUMAN, DAZL 1, DAZL, DAZH, DAZ like autosomal, DAZ homolog
货号 TMAC-01120 一键复制产品信息
Rating icon 还可以

Anti-DAZL Antibody (5I552) 是一种 Rabbit 抗体,靶向 DAZL。Anti-DAZL Antibody (5I552) 可用于 IHC,WB。

Anti-DAZL Antibody (5I552)

一键复制产品信息
Rating icon 还可以
货号 TMAC-01120

别名 Tpx2, SPGY-like-autosomal, SPGYLA, SPGY like autosomal, Spermatogenesis gene on the Y like autosomal, MGC26406, Germline specific RNA binding protein, Deleted in azoospermia-like 1, Deleted in azoospermia-like, Deleted in azoospermia like autosomal, Deleted in azoospermia like 1, Deleted in azoospermia like, DAZ-like autosomal, DAZLA, DAZL1, DAZL_HUMAN, DAZL 1, DAZL, DAZH, DAZ like autosomal, DAZ homolog

Anti-DAZL Antibody (5I552) 是一种 Rabbit 抗体,靶向 DAZL。Anti-DAZL Antibody (5I552) 可用于 IHC,WB。

Anti-DAZL Antibody (5I552)
规格价格库存数量
50 μL
¥ 1,495
5日内发货
100 μL
¥ 2,495
5日内发货
库存状态实时更新,以官网显示为准,现货产品可直接加购物车下单
大包装 & 定制
加入购物车

TargetMol的所有产品仅用作科学研究或药证申报,不能被用于人体,我们不向个人提供产品和服务。请您遵守承诺用途,不得违反法律法规规定用于任何其他用途。

实验操作小课堂
常见问题解答
查看更多

资源下载:产品操作手册

产品介绍


生物活性
产品描述
Anti-DAZL Antibody (5I552) is a Rabbit antibody targeting DAZL. Anti-DAZL Antibody (5I552) can be used in IHC,WB.
别名
Tpx2, SPGY-like-autosomal, SPGYLA, SPGY like autosomal, Spermatogenesis gene on the Y like autosomal, MGC26406, Germline specific RNA binding protein, Deleted in azoospermia-like 1, Deleted in azoospermia-like, Deleted in azoospermia like autosomal, Deleted in azoospermia like 1, Deleted in azoospermia like, DAZ-like autosomal, DAZLA, DAZL1, DAZL_HUMAN, DAZL 1, DAZL, DAZH, DAZ like autosomal, DAZ homolog
Ig Type
IgG
克隆号
5I552
反应种属
Human,Mouse,Rat
验证活性
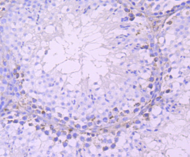
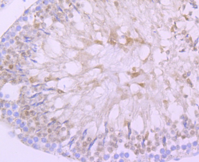
1. Immunohistochemical analysis of paraffin-embedded rat testes tissue using anti-DAZL antibody. Counter stained with hematoxylin.
2. Immunohistochemical analysis of paraffin-embedded mouse testes tissue using anti-DAZL antibody. Counter stained with hematoxylin.
verifiedActivityverifiedActivity
应用IHCWB
推荐剂量
WB: 1:500; IHC: 1:50
抗体种类
Monoclonal
宿主来源Rabbit
构建方式Recombinant Antibody
纯化方式ProA affinity purified
性状Liquid
缓冲液1*TBS (pH7.4), 1%BSA, 40%Glycerol. Preservative: 0.05% Sodium Azide.
研究背景DAZL (deleted in azoospermia-like), an RNA-binding protein that effects spermatogenesis, is an autosomal homolog of the Y chromosome DAZ (deleted in azoospermia). The gene encoding human DAZL maps to chromosome locus 3p24. DAZL, like other members of The DAZ family members are included in germ cells in both male and female gonads. A Thr 54-to-Ala mutation within the RNA-recognition domain of DAZL proteins contributes to spermatogenic failure. Infertility in DAZL knockout catisatalities are unable to complete the first meiotic prophase in the first wave of spermatogenesis.
偶联与修饰
偶联
Unconjugated
抗原信息
免疫原
Recombinant Protein
Uniprot ID
化学信息
分子量Theoretical: 33 kDa.
储存&溶解度
储存方式Store at -20°C or -80°C for 12 months. Avoid repeated freeze-thaw cycles.
运输方式Shipping with blue ice.

计算器

  • 稀释 计算器
  • 配液 计算器
Related Tags: buy Anti-DAZL Antibody (5I552) | purchase Anti-DAZL Antibody (5I552) | Anti-DAZL Antibody (5I552) cost | order Anti-DAZL Antibody (5I552) | Anti-DAZL Antibody (5I552) molecular weight